电话:
+86 (0512) 65829739
传真:
+86 (010) 6788 5057
电子邮件:
orders@antibodies-online.cn

FGFR1 抗体

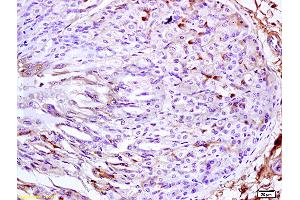
The 兔 多克隆 anti-FGFR1 antibody is suitable to detect FGFR1 in samples from 人, 小鼠, 大鼠, Cow, 小鸡 和 犬. It has been validated for WB, IF (p) 和 IHC (p).
产品编号 ABIN726605
发货至: 中国
Contact our Customer Service for availability and price in your country. Contact Info

Our Local Distributor

中国
北京 101111
No. 88 KeChuang 6th Street
Beijing Economic Technological Development Area
Room 801-803
4A Biotech Co.,Ltd.
Tel +86 (0512) 65829739 传真 +86 (010) 6788 5057

Quick Overview for FGFR1 抗体 (ABIN726605)

抗原

See all FGFR1 抗体
FGFR1 (Fibroblast Growth Factor Receptor 1 (FGFR1))

适用

  • 246
  • 97
  • 93
  • 22
  • 20
  • 14
  • 7
  • 6
  • 5
  • 2
  • 2
  • 1
人, 小鼠, 大鼠, Cow, 小鸡, 犬

宿主

  • 231
  • 47
  • 1
  • 1

克隆类型

  • 210
  • 70
多克隆

标记

  • 129
  • 23
  • 19
  • 15
  • 12
  • 11
  • 5
  • 5
  • 5
  • 5
  • 5
  • 5
  • 5
  • 5
  • 5
  • 4
  • 4
  • 2
  • 2
  • 2
  • 2
  • 2
  • 2
  • 1
  • 1
  • 1
  • 1
  • 1
  • 1
This FGFR1 antibody is un-conjugated

应用范围

  • 235
  • 112
  • 62
  • 62
  • 52
  • 37
  • 34
  • 26
  • 25
  • 23
  • 14
  • 9
  • 7
  • 5
  • 2
  • 1
Western Blotting (WB), Immunofluorescence (Paraffin-embedded Sections) (IF (p)), Immunohistochemistry (Paraffin-embedded Sections) (IHC (p))
  • 交叉反应

    小鸡, Cow, 犬, 人, 小鼠, 大鼠

    纯化方法

    Purified by Protein A.

    免疫原

    KLH conjugated synthetic peptide derived from human BFGFR

    亚型

    IgG
  • 应用备注

    WB(1:100-500)
    Optimal working dilution should be determined by the investigator.

    限制

    仅限研究用
  • 状态

    Liquid

    浓度

    1 μg/μL

    缓冲液

    Aqueous buffered solution containing 1 % BSA, 50 % glycerol and 0.09 % sodium azide.

    储存液

    Sodium azide

    注意事项

    This product contains sodium azide: a POISONOUS AND HAZARDOUS SUBSTANCE which should be handled by trained staff only.

    储存条件

    -20 °C

    储存方法

    Store at -20°C for 12 months.

    有效期

    12 months
  • 抗原

    FGFR1 (Fibroblast Growth Factor Receptor 1 (FGFR1))

    别名

    FGFR1

    背景

    Synonyms: bFGF R, BFGFR, C FGR, CD 331, CD331, CD331 antigen, CEK, FGFBR, FGFR 1, FGF Receptor 1, Fibroblast growth factor receptor 1, FLG, FLG protein, FLJ14326, FLT 2, FLT2, Fms like tyrosine kinase 2, Fms related tyrosine kinase 2, Fms related tyrosine kinase 2 Pfefer syndrome, H2, H3, H4, H5, HBGFR, Heparin binding growth factor receptor, Hydroxyaryl protein kinase, KAL 2, KAL2, MFR, N SAM, N sam tyrosine kinase, Protein tyrosine kinase, Tyrosylprotein kinase, Basic fibroblast growth factor receptor 1.

    Background: Fibroblast growth factors (FGFs) produce mitogenic and angiogenic effects in target cells by signaling through the cellular surface tyrosine kinase receptors. There are four members of the FGF receptor family: FGFR-1 (flg), FGFR-2 (bek, KGFR), FGFR-3 and FGFR-4. Each receptor contains an extracellular ligand binding domain, a transmembrane region and a cytoplasmic kinase domain (1). Following ligand binding and dimerization, the receptors are phosphorylated at specific tyrosine residues (2). Seven tyrosine residues in the cytoplasmic tail of FGFR-1 can be phosphorylated: Tyr463, Tyr583, Tyr585, Tyr653, Tyr654, Tyr730 and Tyr766. Tyrosine 653 and 654 are important for catalytic activity of the activated FGFR and are essential for signaling (3). The other phosphorylated tyrosine residues may provide docking sites for downstream signaling components such as Crk and PLCgamma.

    分子量

    90kDa

    基因ID

    2260

    途径

    RTK signaling, Fc-epsilon Receptor Signaling Pathway, EGFR Signaling Pathway, Neurotrophin Signaling Pathway, Sensory Perception of Sound, Stem Cell Maintenance, S100 Proteins
You are here: