电话:
+86 (0512) 65829739
传真:
+86 (010) 6788 5057
电子邮件:
orders@antibodies-online.cn

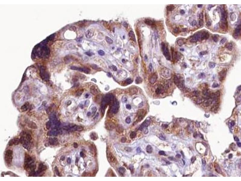
FGFR1 抗体 (pTyr766)

The 兔 多克隆 anti-FGFR1 antibody (ABIN6256027) specifically detects FGFR1 in WB, ELISA, IHC, IF 和 ICC. The antibody is reactive with 人, 小鼠 和 大鼠 samples.
产品编号 ABIN6256027
发货至: 中国
Contact our Customer Service for availability and price in your country. Contact Info

Our Local Distributor

中国
北京 101111
No. 88 KeChuang 6th Street
Beijing Economic Technological Development Area
Room 801-803
4A Biotech Co.,Ltd.
Tel +86 (0512) 65829739 传真 +86 (010) 6788 5057

Quick Overview for FGFR1 抗体 (pTyr766) (ABIN6256027)

抗原

See all FGFR1 抗体
FGFR1 (Fibroblast Growth Factor Receptor 1 (FGFR1))

适用

  • 246
  • 97
  • 93
  • 23
  • 21
  • 15
  • 7
  • 6
  • 5
  • 2
  • 2
  • 1
人, 小鼠, 大鼠

宿主

  • 231
  • 47
  • 1
  • 1

克隆类型

  • 210
  • 70
多克隆

标记

  • 129
  • 23
  • 19
  • 15
  • 12
  • 11
  • 5
  • 5
  • 5
  • 5
  • 5
  • 5
  • 5
  • 5
  • 5
  • 4
  • 4
  • 2
  • 2
  • 2
  • 2
  • 2
  • 2
  • 1
  • 1
  • 1
  • 1
  • 1
  • 1
This FGFR1 antibody is un-conjugated

应用范围

  • 235
  • 111
  • 63
  • 61
  • 52
  • 36
  • 34
  • 25
  • 25
  • 24
  • 14
  • 9
  • 7
  • 5
  • 2
  • 1
Western Blotting (WB), ELISA, Immunohistochemistry (IHC), Immunofluorescence (IF), Immunocytochemistry (ICC)
  • 抗原表位

    • 29
    • 25
    • 19
    • 17
    • 17
    • 16
    • 12
    • 9
    • 8
    • 8
    • 8
    • 8
    • 8
    • 7
    • 5
    • 4
    • 4
    • 3
    • 3
    • 3
    • 2
    • 2
    • 2
    • 2
    • 2
    • 2
    • 2
    • 2
    • 2
    • 2
    • 2
    • 2
    • 2
    • 2
    • 1
    • 1
    • 1
    • 1
    • 1
    • 1
    • 1
    • 1
    • 1
    • 1
    • 1
    • 1
    • 1
    • 1
    • 1
    • 1
    pTyr766

    特异性

    Phospho-FGFR1 (Tyr766) Antibody detects endogenous levels of FGFR1 only when phosphorylated at Tyrosine 766.

    预测反应

    Bovine,Horse,Sheep,Rabbit,Dog,Chicken,Xenopus

    纯化方法

    The antibody is from purified rabbit serum by affinity purification via sequential chromatography on phospho- and non-phospho-peptide affinity columns.

    免疫原

    A synthesized peptide derived from human FGFR1 around the phosphorylation site of Tyr766.

    亚型

    IgG
  • 应用备注

    WB 1:500-1:2000, IHC 1:50-1:200, IF/ICC 1:100-1:500, ELISA(peptide) 1:20000-1:40000

    限制

    仅限研究用
  • 状态

    Liquid

    浓度

    1 mg/mL

    缓冲液

    Rabbit IgG in phosphate buffered saline , pH 7.4, 150 mM NaCl, 0.02 % sodium azide and 50 % glycerol.

    储存液

    Sodium azide

    注意事项

    This product contains Sodium azide: a POISONOUS AND HAZARDOUS SUBSTANCE which should be handled by trained staff only.

    储存条件

    -20 °C

    储存方法

    Store at -20 °C. Stable for 12 months from date of receipt.

    有效期

    12 months
  • 抗原

    FGFR1 (Fibroblast Growth Factor Receptor 1 (FGFR1))

    别名

    FGFR1

    背景

    Description: Tyrosine-protein kinase that acts as cell-surface receptor for fibroblast growth factors and plays an essential role in the regulation of embryonic development, cell proliferation, differentiation and migration. Required for normal mesoderm patterning and correct axial organization during embryonic development, normal skeletogenesis and normal development of the gonadotropin-releasing hormone (GnRH) neuronal system. Phosphorylates PLCG1, FRS2, GAB1 and SHB. Ligand binding leads to the activation of several signaling cascades. Activation of PLCG1 leads to the production of the cellular signaling molecules diacylglycerol and inositol 1,4,5-trisphosphate. Phosphorylation of FRS2 triggers recruitment of GRB2, GAB1, PIK3R1 and SOS1, and mediates activation of RAS, MAPK1/ERK2, MAPK3/ERK1 and the MAP kinase signaling pathway, as well as of the AKT1 signaling pathway. Promotes phosphorylation of SHC1, STAT1 and PTPN11/SHP2. In the nucleus, enhances RPS6KA1 and CREB1 activity and contributes to the regulation of transcription. FGFR1 signaling is down-regulated by IL17RD/SEF, and by FGFR1 ubiquitination, internalization and degradation.

    Gene: FGFR1

    分子量

    140kDa

    基因ID

    2260

    UniProt

    P11362

    途径

    RTK signaling, Fc-epsilon Receptor Signaling Pathway, EGFR Signaling Pathway, Neurotrophin Signaling Pathway, Sensory Perception of Sound, Stem Cell Maintenance, S100 Proteins
You are here: