MAP3K1 抗体 (C-Term)
Our Local Distributor
北京 101111
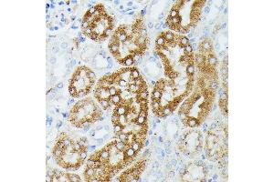
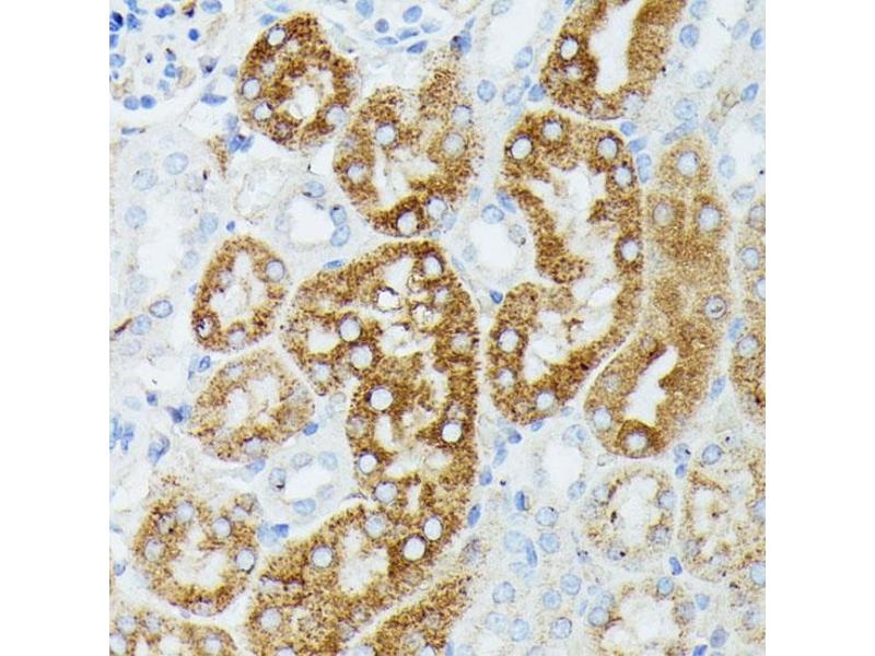
Quick Overview for MAP3K1 抗体 (C-Term) (ABIN7268647)
抗原
See all MAP3K1 抗体适用
宿主
克隆类型
标记
应用范围
-
-
抗原表位
- C-Term
-
原理
- MAP3K1 Rabbit pAb
-
序列
- TGAGEFQGQL LGTIAFMAPE VLRGQQYGRS CDVWSVGCAI IEMACAKPPW NAEKHSNHLA LIFKIASATT APSIPSHLSP GLRDVALRCL ELQPQDRPPS RELLKHPVFR TTW
-
交叉反应
- 人, 小鼠, 大鼠
-
产品特性
- Polyclonal Antibodies
-
纯化方法
- Affinity purification
-
免疫原
- A synthetic peptide corresponding to a sequence within amino acids 1400 to the C-terminus of human MAP3K1 (NP_005912.1).
-
亚型
- IgG
-
-
-
-
应用备注
- WB,1:500 - 1:2000,IHC,1:50 - 1:100,IF,1:50 - 1:100
-
限制
- 仅限研究用
-
-
-
状态
- Liquid
-
缓冲液
- PBS with 0.02 % sodium azide,50 % glycerol, pH 7.3.
-
储存液
- Sodium azide
-
注意事项
- This product contains Sodium azide: a POISONOUS AND HAZARDOUS SUBSTANCE which should be handled by trained staff only.
-
储存条件
- -20 °C
-
储存方法
- Store at -20°C. Avoid freeze / thaw cycles.
-
-
- MAP3K1 (Mitogen-Activated Protein Kinase Kinase Kinase 1 (MAP3K1))
-
别名
- MAP3K1
-
背景
- The protein encoded by this gene is a serine/threonine kinase and is part of some signal transduction cascades, including the ERK and JNK kinase pathways as well as the NF-kappa-B pathway. The encoded protein is activated by autophosphorylation and requires magnesium as a cofactor in phosphorylating other proteins. This protein has E3 ligase activity conferred by a plant homeodomain (PHD) in its N-terminus and phospho-kinase activity conferred by a kinase domain in its C-terminus.,MAP3K1,MAPKKK1,MEKK,MEKK 1,MEKK1,SRXY6,Cancer,Signal Transduction,Kinase,Serine/threonine kinases,ErbB-HER Signaling Pathway,MAPK-JNK Signaling Pathway,MAPK-P38 Signaling Pathway,Cell Biology & Developmental Biology,Cytoskeleton,Actins,Ubiquitin,Ubiquitin-Proteasome Signaling Pathway,TGF-b-Smad Signaling Pathway,Immunology & Inflammation,B Cell Receptor Signaling Pathway,T Cell Receptor Signaling Pathway,Toll-like Receptor Signaling Pathway,MAP3K1
-
分子量
- 164kDa
-
基因ID
- 4214
-
UniProt
- Q13233
-
途径
- MAPK Pathway, Interferon-gamma Pathway, Caspase Cascade in Apoptosis, TLR signaling, Fc-epsilon Receptor Signaling Pathway, Activation of Innate immune Response, Regulation of Actin Filament Polymerization, Toll-Like Receptors Cascades
抗原
-