GRB2 抗体
Our Local Distributor
北京 101111
Quick Overview for GRB2 抗体 (ABIN7267518)
抗原
See all GRB2 抗体适用
宿主
克隆类型
标记
应用范围
-
-
原理
- GRB2 Rabbit mAb
-
交叉反应
- 人, 小鼠, 大鼠
-
产品特性
- Monoclonal Antibodies
-
纯化方法
- Affinity purification
-
免疫原
- A synthesized peptide derived from human GRB2
-
亚型
- IgG
-
-
-
-
应用备注
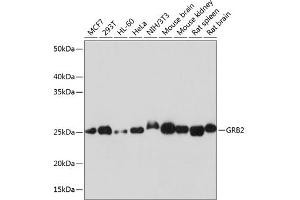
- WB,1:500 - 1:2000,IHC,1:50 - 1:200,IF,1:50 - 1:200,IP,1:50 - 1:200
-
限制
- 仅限研究用
-
-
-
状态
- Liquid
-
缓冲液
- PBS with 0.02 % sodium azide,0.05 % BSA,50 % glycerol, pH 7.3.
-
储存液
- Sodium azide
-
注意事项
- This product contains Sodium azide: a POISONOUS AND HAZARDOUS SUBSTANCE which should be handled by trained staff only.
-
储存条件
- -20 °C
-
储存方法
- Store at -20°C. Avoid freeze / thaw cycles.
-
-
- GRB2 (Growth Factor Receptor-Bound Protein 2 (GRB2))
-
别名
- GRB2
-
背景
- The protein encoded by this gene binds the epidermal growth factor receptor and contains one SH2 domain and two SH3 domains. Its two SH3 domains direct complex formation with proline-rich regions of other proteins, and its SH2 domain binds tyrosine phosphorylated sequences. This gene is similar to the Sem5 gene of C.elegans, which is involved in the signal transduction pathway. Two alternatively spliced transcript variants encoding different isoforms have been found for this gene. [provided by RefSeq, Jul 2008],ASH,EGFRBP-GRB2,Grb3-3,MST084,MSTP084,NCKAP2,GRB2,B Cell Receptor Signaling Pathway,Cancer,Cell Biology & Developmental Biology,Cytoskeleton,Cytoskeleton_Actins,Endocrine & Metabolism,Epigenetics & Nuclear Signaling,ErbB-HER Signaling Pathway,G protein signaling,G protein signaling_G-Protein-Coupled Receptors Signaling to MAPK/Erk,G protein signaling_Small G proteins,IL-6 Receptor Signaling Pathway,Immunology & Inflammation,Insulin Receptor Signaling Pathway,MAPK-Erk Signaling Pathway,MAPK-JNK Signaling Pathway,RNA Binding,Signal Transduction,T Cell Receptor Signaling Pathway,TGF-b-Smad Signaling Pathway,GRB2
-
分子量
- 25kDa/20kDa
-
基因ID
- 2885
-
UniProt
- P62993
-
途径
- RTK signaling, TCR Signaling, Fc-epsilon Receptor Signaling Pathway, EGFR Signaling Pathway, Neurotrophin Signaling Pathway, Regulation of Actin Filament Polymerization, Hepatitis C, Signaling Events mediated by VEGFR1 and VEGFR2, Signaling of Hepatocyte Growth Factor Receptor, EGFR Downregulation
抗原
-