电话:
+86 (0512) 65829739
传真:
+86 (010) 6788 5057
电子邮件:
orders@antibodies-online.cn

GRB2 抗体 (C-Term)

The 山羊 多克隆 anti-GRB2 antibody is suitable to detect GRB2 in samples from 人, 小鼠, 大鼠 和 Pig. It has been validated for WB, ELISA 和 IHC.
产品编号 ABIN184670
发货至: 中国
Contact our Customer Service for availability and price in your country. Contact Info

Our Local Distributor

中国
北京 101111
No. 88 KeChuang 6th Street
Beijing Economic Technological Development Area
Room 801-803
4A Biotech Co.,Ltd.
Tel +86 (0512) 65829739 传真 +86 (010) 6788 5057

Quick Overview for GRB2 抗体 (C-Term) (ABIN184670)

抗原

See all GRB2 抗体
GRB2 (Growth Factor Receptor-Bound Protein 2 (GRB2))

适用

  • 89
  • 53
  • 52
  • 14
  • 13
  • 6
  • 4
  • 3
  • 3
  • 2
  • 2
  • 2
  • 2
  • 1
  • 1
人, 小鼠, 大鼠, Pig

宿主

  • 75
  • 12
  • 2
山羊

克隆类型

  • 65
  • 23
  • 1
多克隆

标记

  • 50
  • 6
  • 4
  • 3
  • 2
  • 2
  • 2
  • 2
  • 2
  • 2
  • 1
  • 1
  • 1
  • 1
  • 1
  • 1
  • 1
  • 1
  • 1
  • 1
  • 1
  • 1
  • 1
  • 1
This GRB2 antibody is un-conjugated

应用范围

  • 63
  • 35
  • 30
  • 16
  • 14
  • 13
  • 10
  • 10
  • 2
  • 1
  • 1
  • 1
  • 1
  • 1
Western Blotting (WB), ELISA, Immunohistochemistry (IHC)

质量等级

Verified
  • 抗原表位

    • 8
    • 8
    • 6
    • 5
    • 3
    • 3
    • 2
    • 2
    • 2
    • 1
    • 1
    • 1
    • 1
    • 1
    • 1
    • 1
    • 1
    • 1
    • 1
    C-Term

    原理

    GRB2

    序列

    PRNYVTPVNR NV

    特异性

    This antibody is expected to recognize both reported isoforms (NP_002077.1and NP_987102.1).

    交叉反应

    Cow, 犬, 人, 小鼠, 大鼠

    纯化方法

    Purified from goat serum by ammonium sulphate precipitation followed by antigen affinity chromatography using the immunizing peptide.

    免疫原

    Peptide with sequence C-PRNYVTPVNRNV, from the C Terminus of the protein sequence according to NP_002077.1, NP_987102.1.

    亚型

    IgG
  • 应用备注

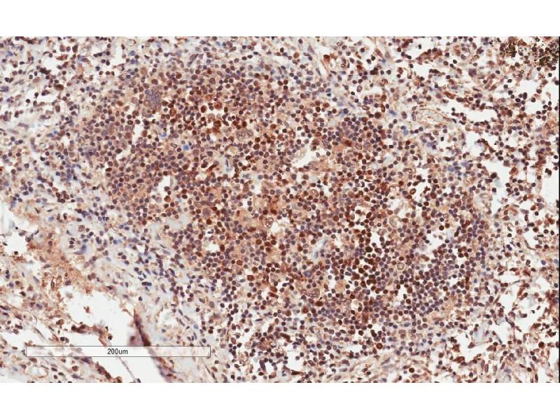
    Immunohistochemistry: In paraffin embedded Human Lymph Node shows nuclear staining in some cells inside the germinal centre. Recommended concentration: 1-2 μg/mL.

    Western Blot: Approx 26 kDa band observed in lysates of cell line MOLT4, of Human Thymus and of Human, Mouse, Rat, Pig Brain and Spleen lysates (calculated MW of 25.2 kDa according to Human NP_002077.1 and according to Rat NP_110473.2). Recommended for use

    Peptide ELISA: antibody detection limit dilution 1:32000.

    说明

    Additional validation: This antibody has been successfully used in the following paper: Sikorski et al. (2018) PMID: 30377371.

    限制

    仅限研究用
  • 状态

    Liquid

    浓度

    0.5 mg/mL

    缓冲液

    Supplied at 0.5 mg/mL in Tris saline, 0.02 % sodium azide, pH 7.3 with 0.5 % bovine serum albumin.

    储存液

    Sodium azide

    注意事项

    This product contains Sodium azide: a POISONOUS AND HAZARDOUS SUBSTANCE which should be handled by trained staff only.

    注意事项

    Minimize freezing and thawing.

    储存条件

    -20 °C

    储存方法

    Aliquot and store at -20°C, with minimal freeze/thawing. A working aliquot may be refrigerated at 4°C for a few weeks and still remain viable.
  • 抗原

    GRB2 (Growth Factor Receptor-Bound Protein 2 (GRB2))

    别名

    GRB2

    背景

    GRB2, growth factor receptor-bound protein 2, ASH, ASH protein, EGFRBP-GRB2, Grb3-3, MST084, MSTP084, HT027, abundant SRC homology, epidermal growth factor receptor-binding protein GRB2, growth factor receptor-bound protein 3, NCKAP2, OTTHUMP00000166096,

    基因ID

    2885, 14784, 81504

    NCBI登录号

    NP_002077, NP_987102

    途径

    RTK signaling, TCR Signaling, Fc-epsilon Receptor Signaling Pathway, EGFR Signaling Pathway, Neurotrophin Signaling Pathway, Regulation of Actin Filament Polymerization, Hepatitis C, Signaling Events mediated by VEGFR1 and VEGFR2, Signaling of Hepatocyte Growth Factor Receptor, EGFR Downregulation
You are here: