GRB2 抗体
Our Local Distributor
北京 101111
Quick Overview for GRB2 抗体 (ABIN364459)
抗原
See all GRB2 抗体适用
宿主
克隆类型
标记
应用范围
-
-
特异性
- Recognizes the N-terminal SH3 region of rat Grb2 at 23-25kD.
-
纯化方法
- Protein A purified
-
免疫原
-
Recombinant rat GRB2/Ash.
Type of Immunogen: Recombinant protein -
亚型
- IgG1 kappa
-
-
-
-
应用备注
-
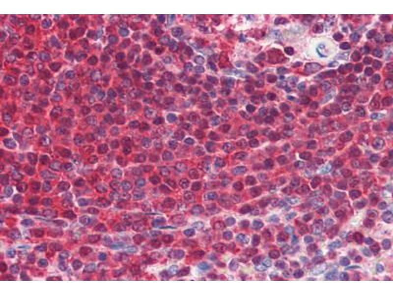
Approved: IHC, IHC-P (5 μg/mL), WB (0.5 - 2 μg/mL)
Usage: Immunohistochemistry: This antibody was validated for use in immunohistochemistry on a panel of 21 formalin-fixed, paraffin-embedded (FFPE) human tissues after heat induced antigen retrieval in pH 6.0 citrate buffer. After incubation with the primary antibody, slides were incubated with biotinylated secondary antibody, followed by alkaline phosphatase-streptavidin and chromogen. The stained slides were evaluated by a pathologist to confirm staining specificity. The optimal working concentration for this antibody was determined to be 5 μg/mL. Western Blot: 0.5-2 mg/mL. Detects GRB2 (23-25kD) in RIPA lysates of non-stimulated human A431 carcinoma cells. Previous lots detected GRB2 in RIPA lysates of mouse 3T3 fibroblasts, rat L6 myoblasts, Chinese hamster ovary cells and bovine brain extract. -
说明
-
Target Species of Antibody: Rat
-
限制
- 仅限研究用
-
-
-
状态
- Liquid
-
浓度
- Lot specific
-
缓冲液
- PBS, 50 % glycerol.
-
注意事项
- Avoid repeat freeze-thaw cycles.
-
储存条件
- 4 °C,-20 °C
-
储存方法
- Short term: 4°C. Long term: Store at -20°C. Avoid freeze-thaw cycles.
-
-
- GRB2 (Growth Factor Receptor-Bound Protein 2 (GRB2))
-
别名
- GRB2
-
背景
-
Name/Gene ID: GRB2
Synonyms: GRB2, Abundant SRC homology, Adapter protein GRB2, ASH, EGFRBP-GRB2, MST084, MSTP084, Protein Ash, SH2/SH3 adapter GRB2, Grb3-3, HT027, NCKAP2 -
基因ID
- 2885
-
UniProt
- P62993
-
途径
- RTK signaling, TCR Signaling, Fc-epsilon Receptor Signaling Pathway, EGFR Signaling Pathway, Neurotrophin Signaling Pathway, Regulation of Actin Filament Polymerization, Hepatitis C, Signaling Events mediated by VEGFR1 and VEGFR2, Signaling of Hepatocyte Growth Factor Receptor, EGFR Downregulation
抗原
-