电话:
+86 (0512) 65829739
传真:
+86 (010) 6788 5057
电子邮件:
orders@antibodies-online.cn

ATM 抗体

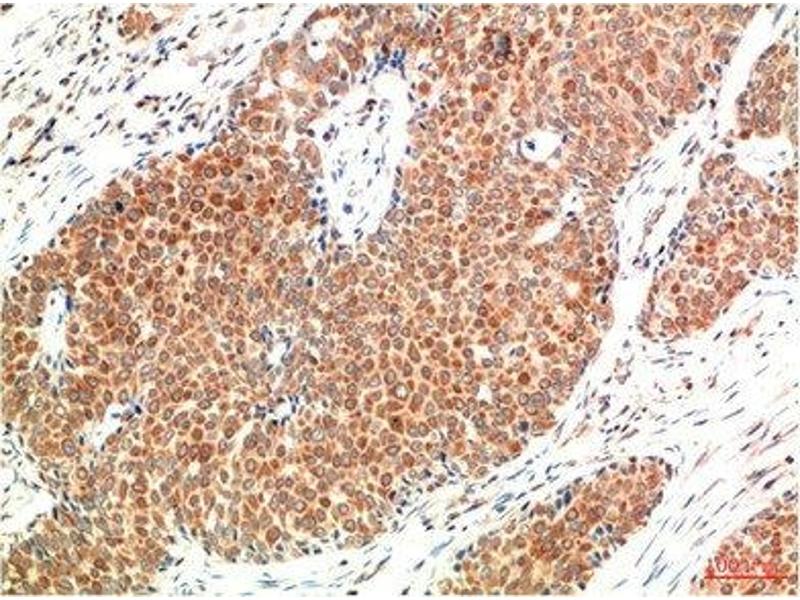
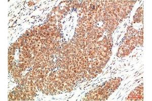
The 小鼠 单克隆 anti-ATM antibody is suitable to detect ATM in samples from 人. It has been validated for IHC 和 ELISA.
产品编号 ABIN7178631
发货至: 中国
Contact our Customer Service for availability and price in your country. Contact Info

Our Local Distributor

中国
北京 101111
No. 88 KeChuang 6th Street
Beijing Economic Technological Development Area
Room 801-803
4A Biotech Co.,Ltd.
Tel +86 (0512) 65829739 传真 +86 (010) 6788 5057

Quick Overview for ATM 抗体 (ABIN7178631)

抗原

See all ATM 抗体
ATM (Ataxia Telangiectasia Mutated (ATM))

适用

  • 188
  • 79
  • 34
  • 3
  • 1
  • 1

宿主

  • 163
  • 19
  • 5
  • 2
小鼠

克隆类型

  • 122
  • 67
单克隆

标记

  • 85
  • 11
  • 6
  • 6
  • 6
  • 6
  • 6
  • 6
  • 6
  • 5
  • 4
  • 4
  • 4
  • 3
  • 3
  • 3
  • 3
  • 3
  • 3
  • 3
  • 3
  • 3
  • 3
  • 2
  • 2
This ATM antibody is un-conjugated

应用范围

  • 113
  • 66
  • 62
  • 52
  • 49
  • 46
  • 41
  • 39
  • 28
  • 26
  • 8
  • 7
  • 4
  • 3
  • 2
  • 2
  • 1
Immunohistochemistry (IHC), ELISA
You are here: