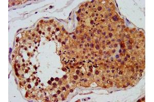
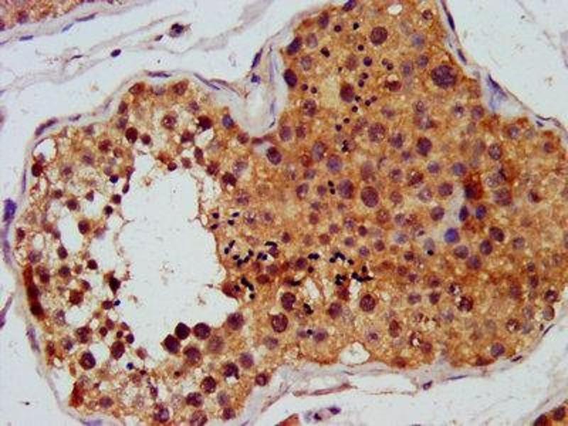
FGFR3 抗体 (AA 23-375)
Our Local Distributor
北京 101111
Quick Overview for FGFR3 抗体 (AA 23-375) (ABIN7152837)
抗原
See all FGFR3 抗体适用
宿主
克隆类型
标记
应用范围
-
-
抗原表位
- AA 23-375
-
原理
- FGFR3 Antibody
-
纯化方法
- Protein G purified
-
纯度
- >95 %
-
免疫原
- Recombinant Human Fibroblast growth factor receptor 3 protein (23-375AA)
-
亚型
- IgG
-
-
-
-
应用备注
- Optimal working dilution should be determined by the investigator.
-
限制
- 仅限研究用
-
-
-
状态
- Liquid
-
缓冲液
-
Preservative: 0.03 % Proclin 300
Constituents: 50 % Glycerol, 0.01M PBS, PH 7.4 -
储存液
- ProClin
-
注意事项
- This product contains ProClin: a POISONOUS AND HAZARDOUS SUBSTANCE which should be handled by trained staff only.
-
储存条件
- -20 °C,-80 °C
-
储存方法
- Upon receipt, store at -20°C or -80°C. Avoid repeated freeze.
-
-
- FGFR3 (Fibroblast Growth Factor Receptor 3 (FGFR3))
-
别名
- FGFR3
-
背景
- ACH antibody, CD 333 antibody, CD333 antibody, CD333 antigen antibody, CEK 2 antibody, CEK2 antibody, FGFR 3 antibody, FGFR-3 antibody, FGFR3 antibody, FGFR3_HUMAN antibody, Fibroblast growth factor receptor 3 (achondroplasia thanatophoric dwarfism) antibody, Fibroblast growth factor receptor 3 antibody, Heparin binding growth factor receptor antibody, HSFGFR3EX antibody, Hydroxyaryl protein kinase antibody, JTK 4 antibody, JTK4 antibody, MFR 3 antibody, SAM 3 antibody, Tyrosine kinase JTK 4 antibody, Tyrosine kinase JTK4 antibody, Z FGFR 3 antibody
-
UniProt
- P22607
-
途径
- RTK signaling, Fc-epsilon Receptor Signaling Pathway, EGFR Signaling Pathway, Neurotrophin Signaling Pathway, Stem Cell Maintenance, Growth Factor Binding
抗原
-