电话:
+86 (0512) 65829739
传真:
+86 (010) 6788 5057
电子邮件:
orders@antibodies-online.cn

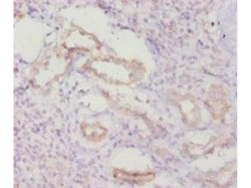
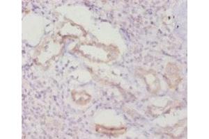
Caspase 8 抗体 (AA 217-374)

The 兔 多克隆 anti-Caspase 8 antibody (ABIN7146964) specifically detects Caspase 8 in WB, IHC, ELISA 和 IF. The antibody is reactive with 人 samples.
产品编号 ABIN7146964
发货至: 中国
Contact our Customer Service for availability and price in your country. Contact Info

Our Local Distributor

中国
北京 101111
No. 88 KeChuang 6th Street
Beijing Economic Technological Development Area
Room 801-803
4A Biotech Co.,Ltd.
Tel +86 (0512) 65829739 传真 +86 (010) 6788 5057

Quick Overview for Caspase 8 抗体 (AA 217-374) (ABIN7146964)

抗原

See all Caspase 8 (CASP8) 抗体
Caspase 8 (CASP8)

适用

  • 173
  • 74
  • 67
  • 23
  • 16
  • 16
  • 11
  • 2
  • 1

宿主

  • 164
  • 31
  • 5
  • 2

克隆类型

  • 137
  • 64
多克隆

标记

  • 118
  • 19
  • 11
  • 4
  • 3
  • 3
  • 3
  • 3
  • 3
  • 3
  • 2
  • 2
  • 2
  • 2
  • 2
  • 2
  • 2
  • 2
  • 2
  • 2
  • 2
  • 2
  • 2
  • 2
  • 2
  • 2
This Caspase 8 antibody is un-conjugated

应用范围

  • 182
  • 66
  • 48
  • 47
  • 47
  • 41
  • 27
  • 27
  • 23
  • 23
  • 8
  • 4
  • 4
  • 3
  • 1
  • 1
  • 1
  • 1
Western Blotting (WB), Immunohistochemistry (IHC), ELISA, Immunofluorescence (IF)
  • 抗原表位

    • 16
    • 16
    • 12
    • 7
    • 7
    • 7
    • 7
    • 6
    • 4
    • 4
    • 4
    • 3
    • 3
    • 3
    • 3
    • 3
    • 3
    • 2
    • 2
    • 2
    • 2
    • 2
    • 2
    • 2
    • 2
    • 2
    • 2
    • 2
    • 2
    • 2
    • 1
    • 1
    • 1
    • 1
    • 1
    • 1
    • 1
    • 1
    • 1
    • 1
    • 1
    • 1
    • 1
    • 1
    • 1
    • 1
    • 1
    • 1
    • 1
    • 1
    AA 217-374

    原理

    CASP8 Antibody

    纯化方法

    Protein G purified

    纯度

    >95 %

    免疫原

    Recombinant Human Caspase-8 protein (217-374AA)

    亚型

    IgG
  • 应用备注

    Optimal working dilution should be determined by the investigator.

    限制

    仅限研究用
  • 状态

    Liquid

    缓冲液

    Preservative: 0.03 % Proclin 300
    Constituents: 50 % Glycerol, 0.01M PBS, PH 7.4

    储存液

    ProClin

    注意事项

    This product contains ProClin: a POISONOUS AND HAZARDOUS SUBSTANCE which should be handled by trained staff only.

    储存条件

    -20 °C,-80 °C

    储存方法

    Upon receipt, store at -20°C or -80°C. Avoid repeated freeze.
  • 抗原

    Caspase 8 (CASP8)

    别名

    CASP8

    背景

    Background: Most upstream protease of the activation cascade of caspases responsible for the TNFRSF6/FAS mediated and TNFRSF1A induced cell death. Binding to the adapter molecule FADD recruits it to either receptor. The resulting aggregate called death-inducing signaling complex (DISC) performs CASP8 proteolytic activation. The active dimeric enzyme is then liberated from the DISC and free to activate downstream apoptotic proteases. Proteolytic fragments of the N-terminal propeptide (termed CAP3, CAP5 and CAP6) are likely retained in the DISC. Cleaves and activates CASP3, CASP4, CASP6, CASP7, CASP9 and CASP10. May participate in the GZMB apoptotic pathways. Cleaves ADPRT. Hydrolyzes the small-molecule substrate, Ac-Asp-Glu-Val-Asp-|-AMC. Likely target for the cowpox virus CRMA death inhibitory protein. Isoform 5, isoform 6, isoform 7 and isoform 8 lack the catalytic site and may interfere with the pro-apoptotic activity of the complex.

    Aliases: ALPS2B antibody, Amyotrophic lateral sclerosis 2 chromosomal region candidate gene 12 protein antibody, Apoptosis related cysteine peptidase antibody, Apoptotic cysteine protease antibody, Apoptotic protease Mch-5 antibody, Apoptotic protease Mch5 antibody, CAP 4 antibody, CAP4 antibody, CASP-8 antibody, CASP8 antibody, CASP8_HUMAN antibody, Caspase 8 antibody, Caspase 8 apoptosis related cysteine peptidase antibody, Caspase IIX antibody, Caspase-8 subunit p10 antibody, caspase8 antibody, CED 3 antibody, FADD Homologous ICE/CED3 Like Protease antibody, FADD Like ICE antibody, FADD-homologous ICE/CED-3-like protease antibody, FADD-like ICE antibody, FLICE antibody, FLJ17672 antibody, ICE-like apoptotic protease 5 antibody, MACH alpha 1/2/3 protein antibody, MACH antibody, MACH beta 1/2/3/4 protein antibody, MACH5 antibody, MCH 5 antibody, MCH5 antibody, MGC78473 antibody, MORT1 associated ced 3 homolog antibody, MORT1 associated CED3 homolog antibody, MORT1-associated CED-3 homolog antibody, OTTHUMP00000163717 antibody, OTTHUMP00000163720 antibody, OTTHUMP00000163724 antibody, OTTHUMP00000163725 antibody, OTTHUMP00000165062 antibody, OTTHUMP00000165063 antibody, OTTHUMP00000165064 antibody, OTTHUMP00000206552 antibody, OTTHUMP00000206582 antibody

    UniProt

    Q14790

    途径

    Apoptosis, Caspase Cascade in Apoptosis, TLR signaling, Activation of Innate immune Response, Tube Formation, Positive Regulation of Endopeptidase Activity, Toll-Like Receptors Cascades
You are here: