电话:
+86 (0512) 65829739
传真:
+86 (010) 6788 5057
电子邮件:
orders@antibodies-online.cn

Bcl-2 抗体 (pThr56)

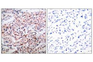
This 兔 多克隆 antibody specifically detects Bcl-2 in IHC 和 ELISA. It exhibits reactivity toward 人.
产品编号 ABIN7138865
发货至: 中国
Contact our Customer Service for availability and price in your country. Contact Info

Our Local Distributor

中国
北京 101111
No. 88 KeChuang 6th Street
Beijing Economic Technological Development Area
Room 801-803
4A Biotech Co.,Ltd.
Tel +86 (0512) 65829739 传真 +86 (010) 6788 5057

Quick Overview for Bcl-2 抗体 (pThr56) (ABIN7138865)

抗原

See all Bcl-2 (BCL2) 抗体
Bcl-2 (BCL2) (B-Cell CLL/lymphoma 2 (BCL2))

适用

  • 462
  • 184
  • 167
  • 36
  • 25
  • 24
  • 18
  • 9
  • 6
  • 5
  • 5
  • 2
  • 1
  • 1
  • 1
  • 1

宿主

  • 363
  • 130
  • 4
  • 2
  • 2
  • 1
  • 1

克隆类型

  • 315
  • 187
多克隆

标记

  • 213
  • 34
  • 28
  • 20
  • 19
  • 12
  • 8
  • 8
  • 8
  • 8
  • 8
  • 8
  • 8
  • 8
  • 8
  • 8
  • 8
  • 8
  • 8
  • 8
  • 8
  • 8
  • 8
  • 5
  • 4
  • 4
  • 4
  • 4
  • 4
  • 4
  • 3
  • 3
  • 2
  • 1
  • 1
  • 1
  • 1
This Bcl-2 antibody is un-conjugated

应用范围

  • 391
  • 202
  • 161
  • 142
  • 116
  • 95
  • 81
  • 73
  • 56
  • 55
  • 23
  • 22
  • 21
  • 17
  • 8
  • 8
  • 5
  • 4
  • 4
  • 3
  • 2
  • 2
  • 1
  • 1
  • 1
  • 1
  • 1
  • 1
  • 1
Immunohistochemistry (IHC), ELISA
  • 抗原表位

    • 55
    • 38
    • 27
    • 25
    • 22
    • 21
    • 16
    • 16
    • 16
    • 12
    • 11
    • 11
    • 7
    • 7
    • 7
    • 6
    • 6
    • 6
    • 6
    • 4
    • 4
    • 4
    • 3
    • 3
    • 3
    • 3
    • 2
    • 2
    • 2
    • 2
    • 2
    • 2
    • 2
    • 2
    • 2
    • 1
    • 1
    • 1
    • 1
    • 1
    • 1
    • 1
    • 1
    • 1
    • 1
    • 1
    • 1
    • 1
    • 1
    • 1
    pThr56

    原理

    Phospho-BCL2 (Thr56) Antibody

    纯化方法

    Antibodies were produced by immunizing rabbits with synthetic phosphopeptide and KLH conjugates. Antibodies were purified by affinity-chromatography using epitope-specific phosphopeptide. Non-phospho specific antibodies were removed by chromatogramphy usi

    免疫原

    Peptide sequence around phosphorylation site of threonine 56(G-H-T(p)-P-H) derived from Human BCL-2.

    亚型

    IgG
  • 应用备注

    Optimal working dilution should be determined by the investigator.

    限制

    仅限研究用
  • 状态

    Liquid

    缓冲液

    Supplied at 1.0 mg/mL in phosphate buffered saline (without Mg2+ and Ca2+), pH 7.4, 150 mM NaCl, 0.02 % sodium azide and 50 % glycerol.

    储存液

    Sodium azide

    注意事项

    This product contains Sodium azide: a POISONOUS AND HAZARDOUS SUBSTANCE which should be handled by trained staff only.

    储存条件

    -20 °C,-80 °C

    储存方法

    Upon receipt, store at -20°C or -80°C. Avoid repeated freeze.
  • 抗原

    Bcl-2 (BCL2) (B-Cell CLL/lymphoma 2 (BCL2))

    别名

    BCL2

    背景

    Background:

     Suppresses apoptosis in a variety of cell systems including factor-dependent lymphohematopoietic and neural cells. Regulates cell death by controlling the mitochondrial membrane permeability. Appears to function in a feedback loop system with caspases. Inhibits caspase activity either by preventing the release of cytochrome c from the mitochondria and/or by binding to the apoptosis-activating factor (APAF-1).
     

    Aliases: Apoptosis regulator Bcl 2 antibody; Apoptosis regulator Bcl-2 antibody; Apoptosis regulator Bcl2 antibody; AW986256 antibody; B cell CLL/lymphoma 2 antibody; B cell leukemia/lymphoma 2 antibody; Bcl-2 antibody; Bcl2 antibody; BCL2_HUMAN antibody; C430015F12Rik antibody; D630044D05Rik antibody; D830018M01Rik antibody; Leukemia/lymphoma; B-cell; 2 antibody; Oncogene B-cell leukemia 2 antibody; PPP1R50 antibody; Protein phosphatase 1 regulatory subunit 50 antibody; Protein phosphatase 1; regulatory subunit 50 antibody

    UniProt

    P10415

    途径

    MAPK Pathway, PI3K-Akt Signaling, Apoptosis, Caspase Cascade in Apoptosis, Regulation of Muscle Cell Differentiation, Cell-Cell Junction Organization, Skeletal Muscle Fiber Development, Autophagy, Smooth Muscle Cell Migration, Negative Regulation of intrinsic apoptotic Signaling
You are here: