MGMT 抗体
Our Local Distributor
北京 101111
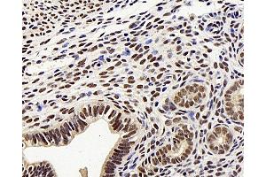
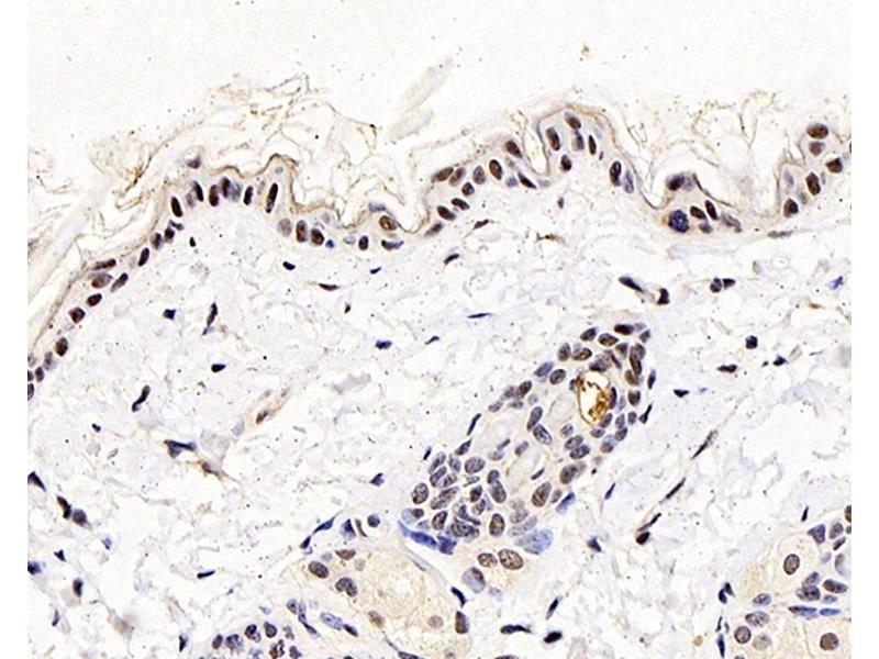
Quick Overview for MGMT 抗体 (ABIN7249814)
抗原
See all MGMT 抗体适用
宿主
克隆类型
标记
应用范围
-
-
产品特性
- Polyclonal Antibody
-
纯化方法
- Affinity purification
-
免疫原
- Recombinant protein corresponding to Mouse MGMT
-
亚型
- IgG
-
-
-
-
应用备注
- IHC 1:100-1:500
-
限制
- 仅限研究用
-
-
-
状态
- Liquid
-
浓度
- 260 μg/mL
-
缓冲液
- PBS with 0.02 % sodium azide, 1 % BSA and 50 % glycerol, pH 7.4
-
储存液
- Sodium azide
-
注意事项
- This product contains Sodium azide: a POISONOUS AND HAZARDOUS SUBSTANCE which should be handled by trained staff only.
-
储存条件
- -20 °C
-
储存方法
- Store at -20°C. Avoid freeze / thaw cycles.
-
-
- MGMT (O6-Methylguanine-DNA-Methyltransferase (MGMT))
-
别名
- MGMT
-
背景
- MGMT (O6-methylguanine-DNA methyltransferase) is transcriptionally activated in response to DNA damage and functions to repair mutagenic and cytotoxic O6-alkylguanine lesions caused by carcinogens or cytostatic drugs. MGMT induction by ionising radiation does not occur in p53-deficient mice, suggesting that MGMT induction may require p53. Similarly, MGMT mRNA and protein were shown to be inducible by ionising radiation, only in cell lines that express functional p53, and not in cell lines that do not express wild type p53. In contrast, high MGMT activity was associated with the presence of mutant p53, in a study of oral cancer cell lines. Similarly, MGMT activity was significantly lower in ovarian tumors with wildtype p53 than in tumors with mutant p53, supporting the view that wildtype p53 down-regulates the basal MGMT promoter.
-
UniProt
- P26187, P24528
-
途径
- DNA Damage Repair, Positive Regulation of Response to DNA Damage Stimulus
抗原
-