FAS 抗体
Our Local Distributor
北京 101111
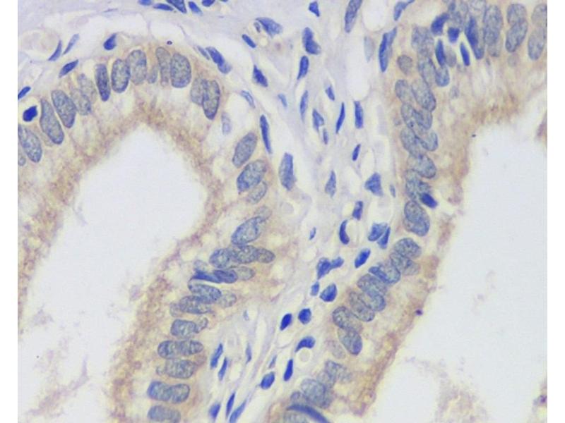
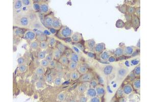
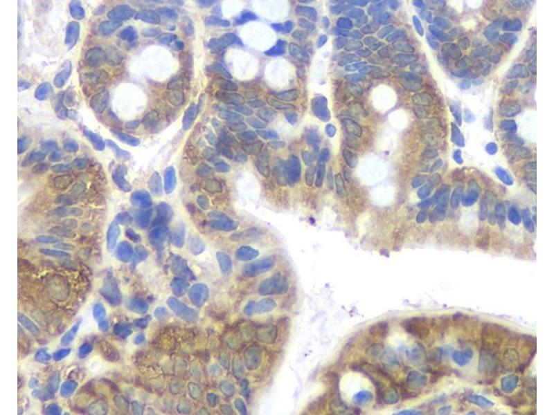
Quick Overview for FAS 抗体 (ABIN7249652)
抗原
See all FAS 抗体适用
宿主
克隆类型
标记
应用范围
克隆位点
-
-
产品特性
- Monoclonal Antibody
-
纯化方法
- Affinity purification
-
免疫原
- KLH conjugated Synthetic peptide corresponding to Mouse FAS
-
亚型
- IgG
-
-
-
-
应用备注
- IHC 1:200-1:800
-
限制
- 仅限研究用
-
-
-
状态
- Liquid
-
浓度
- 420 μg/mL
-
缓冲液
- PBS with 0.02 % sodium azide, 1 % BSA and 50 % glycerol, pH 7.4
-
储存液
- Sodium azide
-
注意事项
- This product contains Sodium azide: a POISONOUS AND HAZARDOUS SUBSTANCE which should be handled by trained staff only.
-
储存条件
- -20 °C
-
储存方法
- Store at -20°C. Avoid freeze / thaw cycles.
-
-
- FAS (TNF Receptor Superfamily, Member 6 (FAS))
-
别名
- FAS
-
背景
- FAS,also named as CD95,APO-1,APT1,FAS1 and TNFRSF6,is a receptor for TNFSF6/FASLG. It is a cell surface receptor belonging to the TNF receptor superfamily,can mediates apoptosis by ligation with an agonistic anti-Fas antibody or Fas ligand. Stimulation of Fas results in the aggregation of its intracellular death domains,leading to the formation of the death-inducing signaling complex (DISC). FAS-mediated apoptosis may have a role in the induction of peripheral tolerance,in the antigen-stimulated suicide of mature T-cells,or both. The secreted isoforms 2 to 6 block apoptosis (in vitro). This anti-Fas monoclonal antibody can be used to induce apoptosis in cell cultures through Fas by imitating the Fas-ligand.
-
UniProt
- P25445, P25446
-
途径
- p53 Pathway, Apoptosis, Production of Molecular Mediator of Immune Response, Positive Regulation of Endopeptidase Activity
抗原
-