电话:
+86 (0512) 65829739
传真:
+86 (010) 6788 5057
电子邮件:
orders@antibodies-online.cn

Ephrin A1 抗体

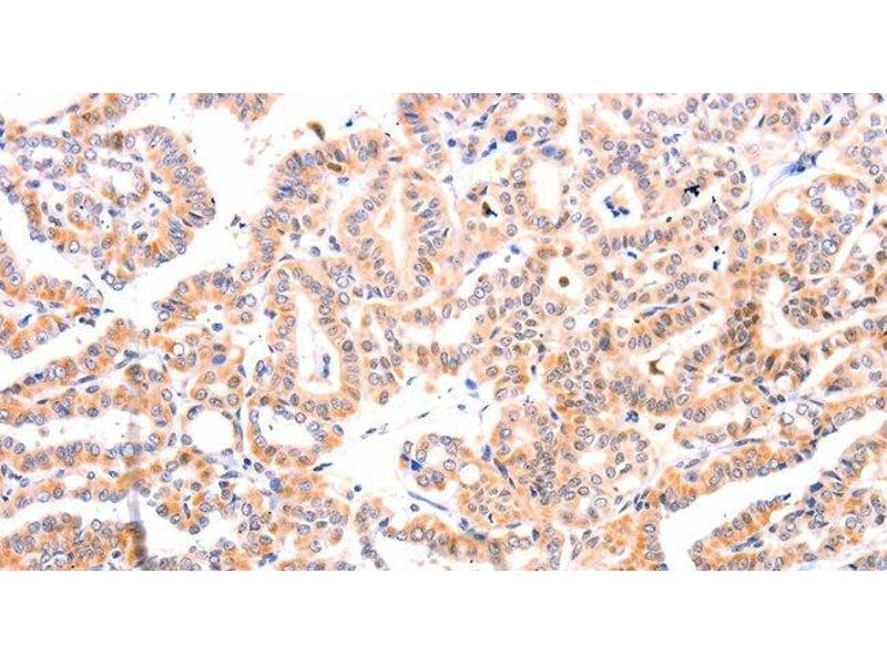
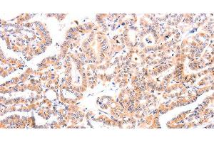
The 兔 多克隆 anti-Ephrin A1 antibody is suitable to detect Ephrin A1 in samples from 人, 大鼠 和 小鼠. It has been validated for ELISA 和 IHC.
产品编号 ABIN7235015
发货至: 中国
Contact our Customer Service for availability and price in your country. Contact Info

Our Local Distributor

中国
北京 101111
No. 88 KeChuang 6th Street
Beijing Economic Technological Development Area
Room 801-803
4A Biotech Co.,Ltd.
Tel +86 (0512) 65829739 传真 +86 (010) 6788 5057

Quick Overview for Ephrin A1 抗体 (ABIN7235015)

抗原

See all Ephrin A1 (EFNA1) 抗体
Ephrin A1 (EFNA1)

适用

  • 36
  • 16
  • 14
  • 1
人, 大鼠, 小鼠

宿主

  • 43
  • 2
  • 1
  • 1

克隆类型

  • 42
  • 5
多克隆

标记

  • 27
  • 3
  • 3
  • 3
  • 1
  • 1
  • 1
  • 1
  • 1
  • 1
  • 1
  • 1
  • 1
  • 1
  • 1
This Ephrin A1 antibody is un-conjugated

应用范围

  • 25
  • 20
  • 13
  • 13
  • 13
  • 8
  • 6
  • 4
  • 2
  • 2
  • 1
  • 1
  • 1
  • 1
ELISA, Immunohistochemistry (IHC)
  • 产品特性

    Polyclonal Antibody

    纯化方法

    Affinity purification

    免疫原

    Recombinant protein of human EFNA1

    亚型

    IgG
  • 应用备注

    IHC 1:50-1:150

    限制

    仅限研究用
  • 状态

    Liquid

    浓度

    0.4 mg/mL

    缓冲液

    PBS with 0.05 % sodium azide and 50 % glycerol, PH7.4

    储存液

    Sodium azide

    注意事项

    This product contains Sodium azide: a POISONOUS AND HAZARDOUS SUBSTANCE which should be handled by trained staff only.

    储存条件

    -20 °C

    储存方法

    Store at -20°C. Avoid freeze / thaw cycles.
  • 抗原

    Ephrin A1 (EFNA1)

    别名

    Ephrin A1

    背景

    This gene encodes a member of the ephrin (EPH) family. The ephrins and EPH-related receptors comprise the largest subfamily of receptor protein-tyrosine kinases and have been implicated in mediating developmental events, especially in the nervous system and in erythropoiesis. Based on their structures and sequence relationships, ephrins are divided into the ephrin-A (EFNA) class, which are anchored to the membrane by a glycosylphosphatidylinositol linkage, and the ephrin-B (EFNB) class, which are transmembrane proteins. This gene encodes an EFNA class ephrin which binds to the EPHA2, EPHA4, EPHA5, EPHA6, and EPHA7 receptors. Two transcript variants that encode different isoforms were identified through sequence analysis.

    UniProt

    P20827

    途径

    RTK signaling
You are here: