电话:
+86 (0512) 65829739
传真:
+86 (010) 6788 5057
电子邮件:
orders@antibodies-online.cn

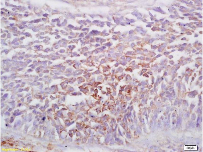
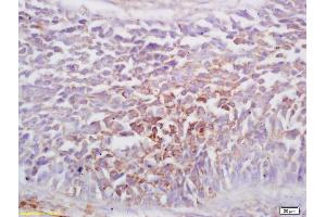
Ephrin A1 抗体 (AA 101-205)

The 兔 多克隆 anti-Ephrin A1 antibody is suitable to detect Ephrin A1 in samples from 人. It has been validated for ELISA, IHC (p), IF (cc), IF (p) 和 IHC (fro).
产品编号 ABIN734108
发货至: 中国
Contact our Customer Service for availability and price in your country. Contact Info

Our Local Distributor

中国
北京 101111
No. 88 KeChuang 6th Street
Beijing Economic Technological Development Area
Room 801-803
4A Biotech Co.,Ltd.
Tel +86 (0512) 65829739 传真 +86 (010) 6788 5057

Quick Overview for Ephrin A1 抗体 (AA 101-205) (ABIN734108)

抗原

See all Ephrin A1 (EFNA1) 抗体
Ephrin A1 (EFNA1)

适用

  • 36
  • 17
  • 15
  • 1

宿主

  • 43
  • 2
  • 1
  • 1

克隆类型

  • 42
  • 5
多克隆

标记

  • 27
  • 3
  • 3
  • 3
  • 1
  • 1
  • 1
  • 1
  • 1
  • 1
  • 1
  • 1
  • 1
  • 1
  • 1
This Ephrin A1 antibody is un-conjugated

应用范围

  • 25
  • 20
  • 14
  • 12
  • 12
  • 8
  • 5
  • 3
  • 2
  • 2
  • 1
  • 1
  • 1
  • 1
ELISA, Immunohistochemistry (Paraffin-embedded Sections) (IHC (p)), Immunofluorescence (Cultured Cells) (IF (cc)), Immunofluorescence (Paraffin-embedded Sections) (IF (p)), Immunohistochemistry (Frozen Sections) (IHC (fro))
  • 抗原表位

    • 14
    • 6
    • 3
    • 3
    • 2
    • 2
    • 1
    • 1
    • 1
    • 1
    • 1
    • 1
    • 1
    • 1
    AA 101-205

    交叉反应

    预测反应

    Mouse,Rat

    纯化方法

    Purified by Protein A.

    免疫原

    KLH conjugated synthetic peptide derived from human Ephrin A1

    亚型

    IgG
  • 应用备注

    ELISA 1:500-1000
    IHC-P 1:200-400
    IHC-F 1:100-500
    IF(IHC-P) 1:50-200
    IF(IHC-F) 1:50-200
    IF(ICC) 1:50-200

    限制

    仅限研究用
  • 状态

    Liquid

    浓度

    1 μg/μL

    缓冲液

    0.01M TBS( pH 7.4) with 1 % BSA, 0.02 % Proclin300 and 50 % Glycerol.

    储存液

    ProClin

    注意事项

    This product contains ProClin: a POISONOUS AND HAZARDOUS SUBSTANCE, which should be handled by trained staff only.

    储存条件

    4 °C,-20 °C

    储存方法

    Shipped at 4°C. Store at -20°C for one year. Avoid repeated freeze/thaw cycles.

    有效期

    12 months
  • 抗原

    Ephrin A1 (EFNA1)

    别名

    Ephrin A1

    背景

    Synonyms: Ephrin-A1, EFNA1, EPH-related receptor tyrosine kinase ligand 1, LERK-1, Immediate early response protein B61, Tumor necrosis factor alpha-induced protein 4, EPLG1, LERK1, TNFAIP4

    Background: Cell surface GPI-bound ligand for Eph receptors, a family of receptor tyrosine kinases which are crucial for migration, repulsion and adhesion during neuronal, vascular and epithelial development. Binds promiscuously Eph receptors residing on adjacent cells, leading to contact-dependent bidirectional signaling into neighboring cells. Plays an important role in angiogenesis and tumor neovascularization. The recruitment of VAV2, VAV3 and PI3-kinase p85 subunit by phosphorylated EPHA2 is critical for EFNA1-induced RAC1 GTPase activation and vascular endothelial cell migration and assembly. Exerts anti-oncogenic effects in tumor cells through activation and down-regulation of EPHA2. Activates EPHA2 by inducing tyrosine phosphorylation which leads to its internalization and degradation. Acts as a negative regulator in the tumorigenesis of gliomas by down-regulating EPHA2 and FAK. Can evoke collapse of embryonic neuronal growth cone and regulates dendritic spine morphogenesis.

    基因ID

    1942

    UniProt

    P20827

    途径

    RTK signaling
You are here: