电话:
+86 (0512) 65829739
传真:
+86 (010) 6788 5057
电子邮件:
orders@antibodies-online.cn

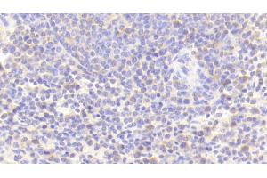
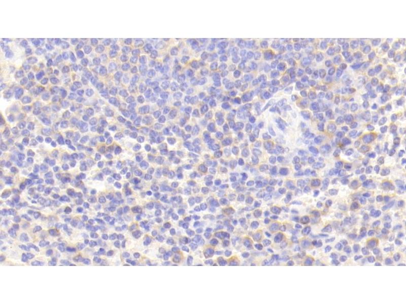
TLR8 抗体 (AA 844-1039)

The 兔 多克隆 anti-TLR8 antibody (ABIN7434497) specifically detects TLR8 in WB, IHC, ICC 和 IF. The antibody is reactive with 人 samples.
产品编号 ABIN7434497
发货至: 中国
Contact our Customer Service for availability and price in your country. Contact Info

Our Local Distributor

中国
北京 101111
No. 88 KeChuang 6th Street
Beijing Economic Technological Development Area
Room 801-803
4A Biotech Co.,Ltd.
Tel +86 (0512) 65829739 传真 +86 (010) 6788 5057

Quick Overview for TLR8 抗体 (AA 844-1039) (ABIN7434497)

抗原

See all TLR8 抗体
TLR8 (Toll-Like Receptor 8 (TLR8))

适用

  • 80
  • 46
  • 35
  • 6
  • 5
  • 2
  • 2
  • 2
  • 2
  • 2
  • 1
  • 1
  • 1

宿主

  • 78
  • 13
  • 2

克隆类型

  • 80
  • 13
多克隆

标记

  • 38
  • 9
  • 8
  • 8
  • 5
  • 5
  • 1
  • 1
  • 1
  • 1
  • 1
  • 1
  • 1
  • 1
  • 1
  • 1
  • 1
  • 1
  • 1
  • 1
  • 1
  • 1
  • 1
  • 1
  • 1
  • 1
This TLR8 antibody is un-conjugated

应用范围

  • 67
  • 39
  • 26
  • 13
  • 13
  • 11
  • 10
  • 10
  • 7
  • 4
  • 3
  • 3
  • 1
  • 1
Western Blotting (WB), Immunohistochemistry (IHC), Immunocytochemistry (ICC), Immunofluorescence (IF)
  • 抗原表位

    • 20
    • 15
    • 9
    • 8
    • 5
    • 4
    • 3
    • 2
    • 1
    • 1
    • 1
    • 1
    • 1
    • 1
    • 1
    • 1
    • 1
    • 1
    AA 844-1039

    原理

    Polyclonal Antibody to Toll Like Receptor 8 (TLR8)

    特异性

    The antibody is a rabbit polyclonal antibody raised against TLR8. It has been selected for its ability to recognize TLR8 in immunohistochemical staining and western blotting.

    交叉反应

    小鼠, Pig, 大鼠

    纯化方法

    Antigen-specific affinity chromatography followed by Protein A affinity chromatography

    免疫原

    Recombinant Toll Like Receptor 8 (TLR8) corresdonding to Leu844~Lys1039 with N-terminal His Tag

    亚型

    IgG
  • 应用备注

    Western blotting: 0.01-2 μg/mL,Immunohistochemistry: 5-20 μg/mL,Immunocytochemistry: 5-20 μg/mL,Optimal working dilutions must be determined by end user.

    说明

    The thermal stability is described by the loss rate. The loss rate was determined by accelerated thermal degradation test, that is, incubate the protein at 37°C for 48h, and no obvious degradation and precipitation were observed. The loss rate is less than 5% within the expiration date under appropriate storage condition.

    限制

    仅限研究用
  • 状态

    Liquid

    浓度

    0.5 mg/mL

    缓冲液

    PBS, pH 7.4, containing 0.02 % Sodium azide, 50 % glycerol.

    储存液

    Sodium azide

    注意事项

    This product contains Sodium azide: a POISONOUS AND HAZARDOUS SUBSTANCE which should be handled by trained staff only.

    储存条件

    4 °C,-20 °C

    储存方法

    Store at 4°C for frequent use. Stored at -20°C in a manual defrost freezer for two year without detectable loss of activity. Avoid repeated freeze-thaw cycles.

    有效期

    24 months
  • 抗原

    TLR8 (Toll-Like Receptor 8 (TLR8))

    别名

    TLR8

    背景

    CD288

    UniProt

    Q9NR97

    途径

    TLR signaling, Activation of Innate immune Response, Toll-Like Receptors Cascades
You are here: