电话:
+86 (0512) 65829739
传真:
+86 (010) 6788 5057
电子邮件:
orders@antibodies-online.cn

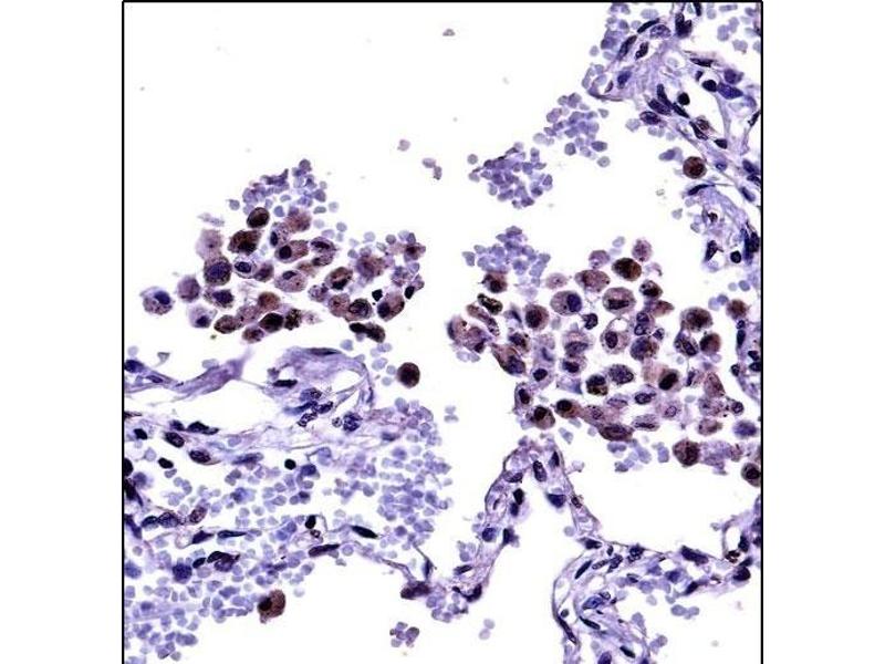
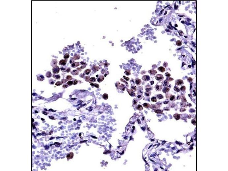
TLR8 抗体 (AA 434-463)

The 兔 多克隆 anti-TLR8 antibody (Clone RB33953) (ABIN657933) specifically detects TLR8 in WB 和 IHC (p). The antibody is reactive with 人 samples.
产品编号 ABIN657933
发货至: 中国
Contact our Customer Service for availability and price in your country. Contact Info

Our Local Distributor

中国
北京 101111
No. 88 KeChuang 6th Street
Beijing Economic Technological Development Area
Room 801-803
4A Biotech Co.,Ltd.
Tel +86 (0512) 65829739 传真 +86 (010) 6788 5057

Quick Overview for TLR8 抗体 (AA 434-463) (ABIN657933)

抗原

See all TLR8 抗体
TLR8 (Toll-Like Receptor 8 (TLR8))

适用

  • 80
  • 46
  • 35
  • 6
  • 5
  • 2
  • 2
  • 2
  • 2
  • 2
  • 1
  • 1
  • 1

宿主

  • 78
  • 13
  • 2

克隆类型

  • 80
  • 13
多克隆

标记

  • 38
  • 9
  • 8
  • 8
  • 5
  • 5
  • 1
  • 1
  • 1
  • 1
  • 1
  • 1
  • 1
  • 1
  • 1
  • 1
  • 1
  • 1
  • 1
  • 1
  • 1
  • 1
  • 1
  • 1
  • 1
  • 1
This TLR8 antibody is un-conjugated

应用范围

  • 67
  • 40
  • 26
  • 13
  • 13
  • 11
  • 10
  • 10
  • 8
  • 4
  • 3
  • 3
  • 1
  • 1
Western Blotting (WB), Immunohistochemistry (Paraffin-embedded Sections) (IHC (p))

克隆位点

RB33953
  • 抗原表位

    • 20
    • 15
    • 9
    • 7
    • 5
    • 5
    • 3
    • 2
    • 1
    • 1
    • 1
    • 1
    • 1
    • 1
    • 1
    • 1
    • 1
    • 1
    AA 434-463

    纯化方法

    This antibody is purified through a protein A column, followed by peptide affinity purification.

    免疫原

    This TLR8 antibody is generated from rabbits immunized with a KLH conjugated synthetic peptide between 434-463 amino acids from the Central region of human TLR8.

    亚型

    Ig Fraction
  • 应用备注

    WB: 1:1000. IHC-P: 1:10~50

    限制

    仅限研究用
  • 状态

    Liquid

    缓冲液

    Purified polyclonal antibody supplied in PBS with 0.09 % (W/V) sodium azide.

    储存液

    Sodium azide

    注意事项

    This product contains Sodium azide: a POISONOUS AND HAZARDOUS SUBSTANCE which should be handled by trained staff only.

    储存条件

    4 °C,-20 °C

    储存方法

    TLR8 Antibody (Center) can be refrigerated at 2-8 °C for up to 6 months. For long term storage, place the at -20 °C.

    有效期

    6 months
  • 抗原

    TLR8 (Toll-Like Receptor 8 (TLR8))

    别名

    TLR8

    背景

    The protein encoded by this gene is a member of the Toll-like receptor (TLR) family which plays a fundamental role in pathogen recognition and activation of innate immunity. TLRs are highly conserved from Drosophila to humans and share structural and functional similarities. They recognize pathogen-associated molecular patterns (PAMPs) that are expressed on infectious agents, and mediate the production of cytokines necessary for the development of effective immunity. The various TLRs exhibit different patterns of expression. This gene is predominantly expressed in lung and peripheral blood leukocytes, and lies in close proximity to another family member, TLR7, on chromosome X.

    分子量

    119828

    基因ID

    51311

    NCBI登录号

    NP_619542

    UniProt

    Q9NR97

    途径

    TLR signaling, Activation of Innate immune Response, Toll-Like Receptors Cascades
You are here: