电话:
+86 (0512) 65829739
传真:
+86 (010) 6788 5057
电子邮件:
orders@antibodies-online.cn

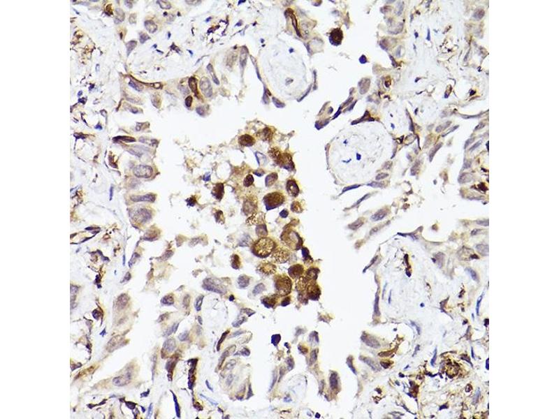
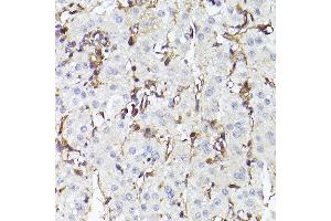
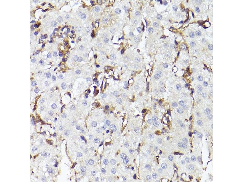
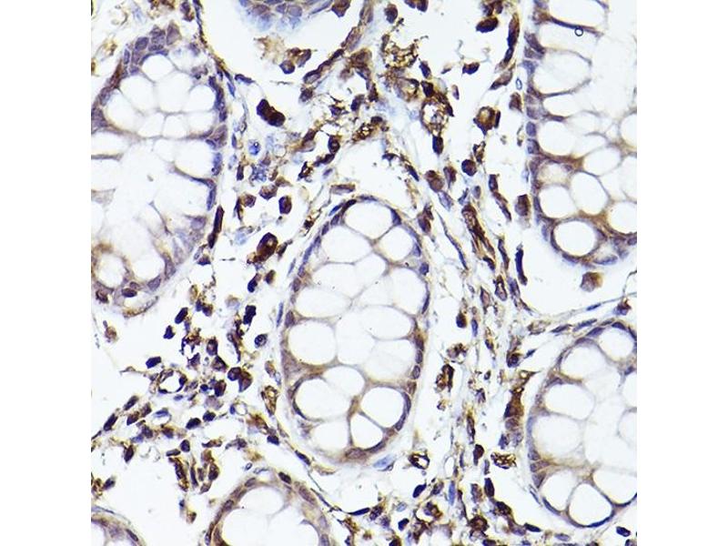
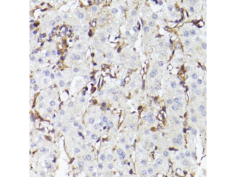
TLR8 抗体 (AA 849-1041)

The 兔 多克隆 anti-TLR8 antibody is suitable to detect TLR8 in samples from 人. It has been validated for WB, IHC 和 IF.
产品编号 ABIN3022015
发货至: 中国
Contact our Customer Service for availability and price in your country. Contact Info

Our Local Distributor

中国
北京 101111
No. 88 KeChuang 6th Street
Beijing Economic Technological Development Area
Room 801-803
4A Biotech Co.,Ltd.
Tel +86 (0512) 65829739 传真 +86 (010) 6788 5057

Quick Overview for TLR8 抗体 (AA 849-1041) (ABIN3022015)

抗原

See all TLR8 抗体
TLR8 (Toll-Like Receptor 8 (TLR8))

适用

  • 80
  • 46
  • 35
  • 6
  • 5
  • 2
  • 2
  • 2
  • 2
  • 2
  • 1
  • 1
  • 1

宿主

  • 78
  • 13
  • 2

克隆类型

  • 80
  • 13
多克隆

标记

  • 38
  • 9
  • 8
  • 8
  • 5
  • 5
  • 1
  • 1
  • 1
  • 1
  • 1
  • 1
  • 1
  • 1
  • 1
  • 1
  • 1
  • 1
  • 1
  • 1
  • 1
  • 1
  • 1
  • 1
  • 1
  • 1
This TLR8 antibody is un-conjugated

应用范围

  • 67
  • 39
  • 26
  • 13
  • 13
  • 11
  • 11
  • 10
  • 7
  • 4
  • 3
  • 3
  • 1
  • 1
Western Blotting (WB), Immunohistochemistry (IHC), Immunofluorescence (IF)
  • 抗原表位

    • 20
    • 15
    • 9
    • 8
    • 5
    • 5
    • 3
    • 2
    • 1
    • 1
    • 1
    • 1
    • 1
    • 1
    • 1
    • 1
    • 1
    AA 849-1041

    序列

    HHLFYWDVWF IYNVCLAKVK GYRSLSTSQT FYDAYISYDT KDASVTDWVI NELRYHLEES RDKNVLLCLE ERDWDPGLAI IDNLMQSINQ SKKTVFVLTK KYAKSWNFKT AFYLALQRLM DENMDVIIFI LLEPVLQHSQ YLRLRQRICK SSILQWPDNP KAEGLFWQTL RNVVLTENDS RYNNMYVDSI KQY

    交叉反应

    人, 小鼠, 大鼠

    产品特性

    Polyclonal Antibodies

    免疫原

    Recombinant fusion protein containing a sequence corresponding to amino acids 849-1041 of human TLR8 (NP_619542.1).

    亚型

    IgG
  • 应用备注

    WB,1:500 - 1:2000,IHC,1:50 - 1:200,IF,1:50 - 1:200

    限制

    仅限研究用
  • 状态

    Liquid

    缓冲液

    PBS with 0.02 % sodium azide,50 % glycerol, pH 7.3.

    储存液

    Sodium azide

    注意事项

    This product contains Sodium azide: a POISONOUS AND HAZARDOUS SUBSTANCE which should be handled by trained staff only.

    注意事项

    Avoid freeze / thaw cycles

    储存条件

    -20 °C

    储存方法

    Store at -20°C. Avoid freeze / thaw cycles.
  • 抗原

    TLR8 (Toll-Like Receptor 8 (TLR8))

    别名

    TLR8

    背景

    The protein encoded by this gene is a member of the Toll-like receptor (TLR) family which plays a fundamental role in pathogen recognition and activation of innate immunity. TLRs are highly conserved from Drosophila to humans and share structural and functional similarities. They recognize pathogen-associated molecular patterns (PAMPs) that are expressed on infectious agents, and mediate the production of cytokines necessary for the development of effective immunity. The various TLRs exhibit different patterns of expression. This gene is predominantly expressed in lung and peripheral blood leukocytes, and lies in close proximity to another family member, TLR7, on chromosome X.,TLR8,CD288,TLR8,Immunology & Inflammation,CD markers,NF-kB Signaling Pathway,Toll-like Receptor Signaling Pathway,Cell Intrinsic Innate Immunity Signaling Pathway,TLR Signaling,TLR8

    分子量

    119 kDa/121 kDa

    基因ID

    51311

    UniProt

    Q9NR97

    途径

    TLR signaling, Activation of Innate immune Response, Toll-Like Receptors Cascades
You are here: