电话:
+86 (0512) 65829739
传真:
+86 (010) 6788 5057
电子邮件:
orders@antibodies-online.cn

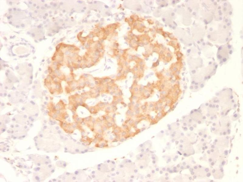
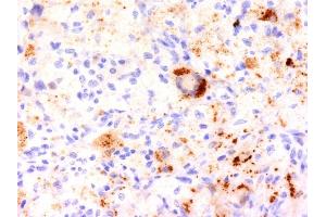
TNF alpha 抗体 (N-Term)

The 小鼠 单克隆 anti-TNF alpha antibody (Clone TNF706) (ABIN6940759) specifically detects TNF alpha in IHC, IF 和 StM. The antibody is reactive with 人, 小鼠, 大鼠, 兔, 犬, 斑马鱼 和 Cat samples.
产品编号 ABIN6940759
发货至: 中国
Contact our Customer Service for availability and price in your country. Contact Info

Our Local Distributor

中国
北京 101111
No. 88 KeChuang 6th Street
Beijing Economic Technological Development Area
Room 801-803
4A Biotech Co.,Ltd.
Tel +86 (0512) 65829739 传真 +86 (010) 6788 5057

Quick Overview for TNF alpha 抗体 (N-Term) (ABIN6940759)

抗原

See all TNF alpha 抗体
TNF alpha (Tumor Necrosis Factor alpha (TNF alpha))

适用

  • 374
  • 201
  • 133
  • 64
  • 57
  • 49
  • 33
  • 26
  • 22
  • 18
  • 11
  • 10
  • 9
  • 9
  • 8
  • 6
  • 5
  • 2
  • 2
  • 1
  • 1
  • 1
  • 1
  • 1
  • 1
  • 1
人, 小鼠, 大鼠, 兔, 犬, 斑马鱼, Cat

宿主

  • 286
  • 209
  • 33
  • 29
  • 24
  • 9
  • 5
  • 3
  • 2
  • 2
  • 1
小鼠

克隆类型

  • 301
  • 296
单克隆

标记

  • 307
  • 79
  • 45
  • 20
  • 18
  • 14
  • 7
  • 6
  • 6
  • 6
  • 6
  • 6
  • 6
  • 6
  • 6
  • 5
  • 4
  • 4
  • 4
  • 4
  • 4
  • 4
  • 4
  • 3
  • 3
  • 2
  • 2
  • 2
  • 2
  • 2
  • 2
  • 2
  • 2
  • 2
  • 2
  • 2
  • 2
  • 1
  • 1
  • 1
This TNF alpha antibody is un-conjugated

应用范围

  • 367
  • 203
  • 158
  • 130
  • 74
  • 63
  • 62
  • 58
  • 52
  • 49
  • 45
  • 39
  • 37
  • 32
  • 20
  • 11
  • 10
  • 9
  • 9
  • 9
  • 6
  • 6
  • 6
  • 5
  • 5
  • 4
  • 3
  • 3
  • 3
  • 2
  • 2
  • 2
  • 2
  • 2
  • 2
  • 2
  • 1
  • 1
  • 1
  • 1
  • 1
  • 1
  • 1
Immunohistochemistry (IHC), Immunofluorescence (IF), Staining Methods (StM)

克隆位点

TNF706
  • 抗原表位

    • 45
    • 38
    • 15
    • 15
    • 14
    • 10
    • 10
    • 6
    • 5
    • 5
    • 4
    • 4
    • 3
    • 3
    • 3
    • 3
    • 2
    • 2
    • 2
    • 2
    • 1
    • 1
    • 1
    • 1
    • 1
    • 1
    • 1
    • 1
    • 1
    • 1
    • 1
    • 1
    • 1
    • 1
    • 1
    • 1
    N-Term

    纯化方法

    Purified by Protein A/G

    免疫原

    Recombinant N-terminal fragment of human TNF-

    亚型

    IgM kappa
  • 应用备注

    Positive Control: HeLa, HL-60 or A431 cells. Macrophages in lymph node or Tonsil.

    Known Application: Immunofluorescence (1-2 μg/mL), Immunohistochemistry (Formalin-fixed) (2-4 μg/mL for 30 min at RT)(Staining of formalin-fixed tissues requires boiling tissue sections in 10 mM Tris Buffer with 1 mM EDTA, pH 9.0, for 10-20 min followed by cooling at RT for 20 minutes)Optimal dilution for a specific application should be determined.

    限制

    仅限研究用
  • 浓度

    200 μg/mL

    缓冲液

    10 mM PBS with 0.05 % BSA & 0.05 % azide.

    储存液

    Sodium azide

    注意事项

    This product contains Sodium azide: a POISONOUS AND HAZARDOUS SUBSTANCE which should be handled by trained staff only.

    储存条件

    4 °C,-80 °C

    储存方法

    Antibody with azide - store at 2 to 8°C. Antibody without azide - store at -20 to -80°C. Antibody is stable for 24 months. Non-hazardous. No MSDS required.

    有效期

    24 months
  • 抗原

    TNF alpha (Tumor Necrosis Factor alpha (TNF alpha))

    别名

    TNF

    背景

    Tumor Necrosis Factor Alpha (TNF alpha) is a protein secreted by lipopolysaccharide-stimulated macrophages, and causes tumor necrosis when injected into tumor bearing mice. TNF alpha is believed to mediate pathogenic shock and tissue injury associated with endotoxemia. TNF alpha exists as a multimer of two, three, or five non-covalently linked units, but shows a single 17 kDa band following SDS PAGE under non-reducing conditions. TNF alpha is closely related to the 25 kDa protein Tumor Necrosis Factor beta (lymphotoxin), sharing the same receptors and cellular actions. TNF alpha causes cytolysis of certain transformed cells, being synergistic with interferon gamma in its cytotoxicity. Although it has little effect on many cultured normal human cells, TNF alpha appears to be directly toxic to vascular endothelial cells. Other actions of TNF alpha include stimulating growth of human fibroblasts and other cell lines, activating polymorphonuclear neutrophils and osteoclasts, and induction of interleukin 1, prostaglandin E2 and collagenase production.

    分子量

    17kDa

    基因ID

    7124

    UniProt

    P01375

    途径

    NF-kappaB Signaling, Apoptosis, Caspase Cascade in Apoptosis, TLR signaling, Cellular Response to Molecule of Bacterial Origin, Regulation of Leukocyte Mediated Immunity, Positive Regulation of Immune Effector Process, Production of Molecular Mediator of Immune Response, Positive Regulation of Endopeptidase Activity, Hepatitis C, Protein targeting to Nucleus, Inflammasome
You are here: