电话:
+86 (0512) 65829739
传真:
+86 (010) 6788 5057
电子邮件:
orders@antibodies-online.cn

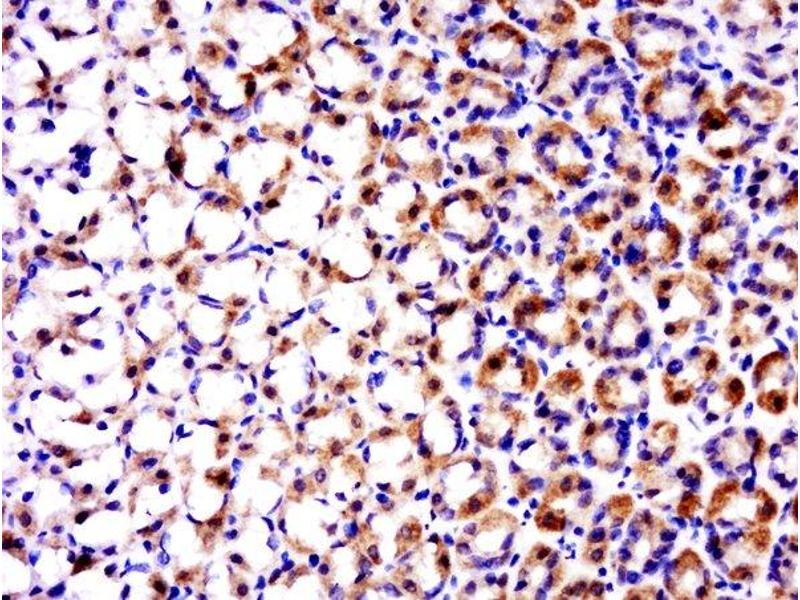
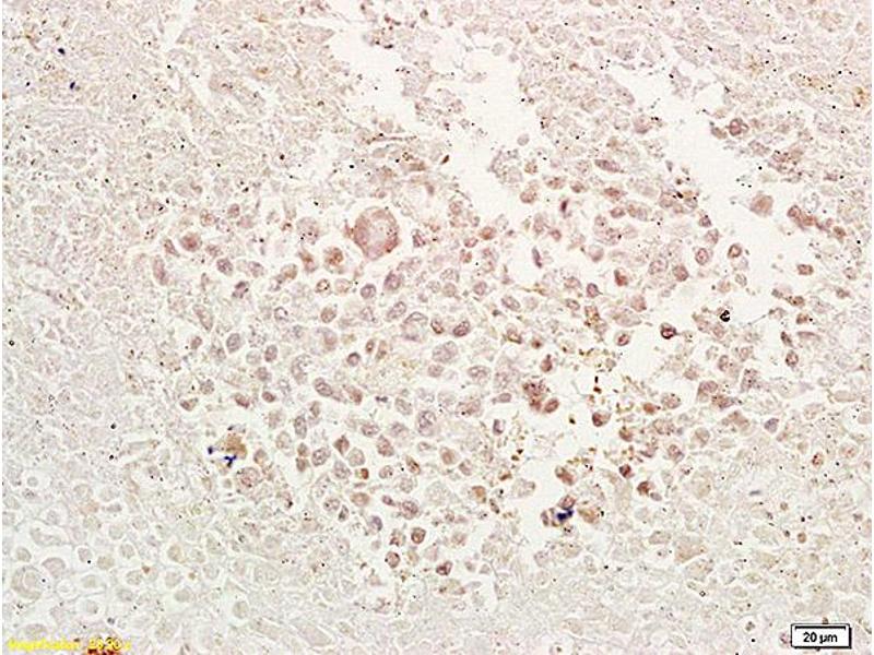
TRAF1 抗体 (AA 301-416)

Cited in 1 publication. The 兔 多克隆 anti-TRAF1 antibody (ABIN673464) specifically detects TRAF1 in ELISA, IF (cc), IF (p), IHC (p) 和 IHC (fro). The antibody is reactive with 人, 小鼠 和 大鼠 samples.
产品编号 ABIN673464
发货至: 中国
Contact our Customer Service for availability and price in your country. Contact Info

Our Local Distributor

中国
北京 101111
No. 88 KeChuang 6th Street
Beijing Economic Technological Development Area
Room 801-803
4A Biotech Co.,Ltd.
Tel +86 (0512) 65829739 传真 +86 (010) 6788 5057

Quick Overview for TRAF1 抗体 (AA 301-416) (ABIN673464)

抗原

See all TRAF1 抗体
TRAF1 (TNF Receptor-Associated Factor 1 (TRAF1))

适用

  • 72
  • 34
  • 18
  • 3
  • 3
  • 3
  • 3
  • 2
  • 2
  • 1
  • 1
人, 小鼠, 大鼠

宿主

  • 46
  • 29
  • 1

克隆类型

  • 50
  • 26
多克隆

标记

  • 35
  • 4
  • 2
  • 2
  • 2
  • 2
  • 2
  • 2
  • 2
  • 2
  • 2
  • 1
  • 1
  • 1
  • 1
  • 1
  • 1
  • 1
  • 1
  • 1
  • 1
  • 1
  • 1
  • 1
  • 1
  • 1
  • 1
  • 1
  • 1
  • 1
This TRAF1 antibody is un-conjugated

应用范围

  • 34
  • 28
  • 19
  • 18
  • 12
  • 12
  • 5
  • 4
  • 3
  • 2
  • 2
  • 2
  • 2
  • 1
ELISA, Immunofluorescence (Cultured Cells) (IF (cc)), Immunofluorescence (Paraffin-embedded Sections) (IF (p)), Immunohistochemistry (Paraffin-embedded Sections) (IHC (p)), Immunohistochemistry (Frozen Sections) (IHC (fro))
  • 抗原表位

    • 22
    • 14
    • 8
    • 6
    • 3
    • 3
    • 2
    • 2
    • 2
    • 1
    • 1
    • 1
    • 1
    • 1
    AA 301-416

    交叉反应

    人, 小鼠, 大鼠

    预测反应

    Dog,Cow,Horse,Rabbit

    纯化方法

    Purified by Protein A.

    免疫原

    KLH conjugated synthetic peptide derived from human TRAF1

    亚型

    IgG
  • 应用备注

    ELISA 1:500-1000
    IHC-P 1:200-400
    IHC-F 1:100-500
    IF(IHC-P) 1:50-200
    IF(IHC-F) 1:50-200
    IF(ICC) 1:50-200

    限制

    仅限研究用
  • 状态

    Liquid

    浓度

    1 μg/μL

    缓冲液

    0.01M TBS( pH 7.4) with 1 % BSA, 0.02 % Proclin300 and 50 % Glycerol.

    储存液

    ProClin

    注意事项

    This product contains ProClin: a POISONOUS AND HAZARDOUS SUBSTANCE, which should be handled by trained staff only.

    储存条件

    4 °C,-20 °C

    储存方法

    Shipped at 4°C. Store at -20°C for one year. Avoid repeated freeze/thaw cycles.

    有效期

    12 months
  • Wang, Luo, Pan, Huang, Lv, Guo, Xu, Shen: "Comparative genomic study of gastric epithelial cells co-cultured with Helicobacter pylori." in: World journal of gastroenterology : WJG, Vol. 18, Issue 48, pp. 7212-24, (2013) (PubMed).

  • 抗原

    TRAF1 (TNF Receptor-Associated Factor 1 (TRAF1))

    别名

    TRAF1

    背景

    Synonyms: EBI6, MGC:10353, TNF receptor-associated factor 1, Epstein-Barr virus-induced protein 6, TRAF1

    Background: Adapter molecule that regulates the activation of NF-kappa-B and JNK. Plays a role in the regulation of cell survival and apoptosis. The heterotrimer formed by TRAF1 and TRAF2 is part of a E3 ubiquitin-protein ligase complex that promotes ubiquitination of target proteins, such as MAP3K14. The TRAF1/TRAF2 complex recruits the antiapoptotic E3 protein-ubiquitin ligases BIRC2 and BIRC3 to TNFRSF1B/TNFR2.

    基因ID

    7185

    UniProt

    Q13077

    途径

    NF-kappaB Signaling, Apoptosis, Cell-Cell Junction Organization, Asymmetric Protein Localization
You are here: