电话:
+86 (0512) 65829739
传真:
+86 (010) 6788 5057
电子邮件:
orders@antibodies-online.cn

TANK 抗体

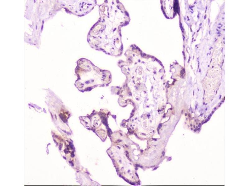
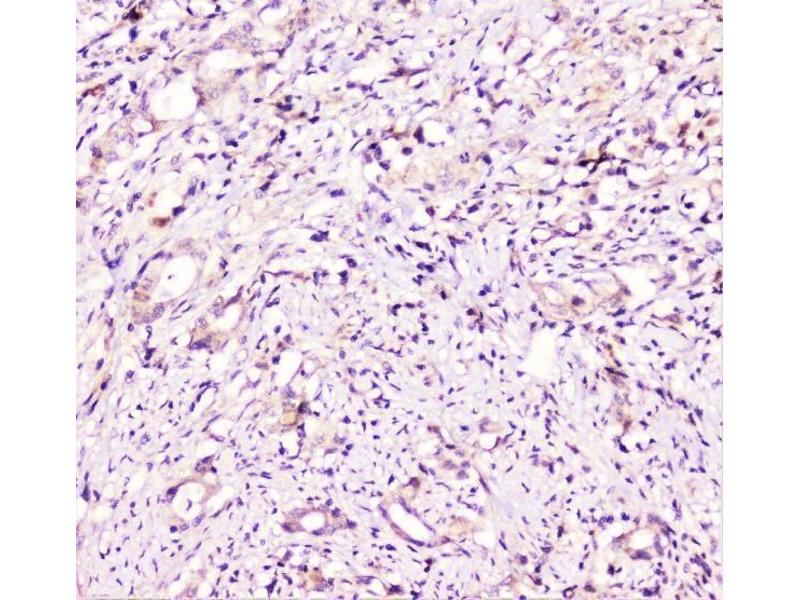
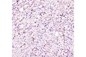
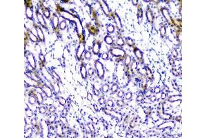
The 兔 多克隆 anti-TANK antibody (ABIN6719508) specifically detects TANK in WB, IHC, FACS 和 IHC (fro). The antibody is reactive with 人, 小鼠 和 大鼠 samples.
产品编号 ABIN6719508
发货至: 中国
Contact our Customer Service for availability and price in your country. Contact Info

Our Local Distributor

中国
北京 101111
No. 88 KeChuang 6th Street
Beijing Economic Technological Development Area
Room 801-803
4A Biotech Co.,Ltd.
Tel +86 (0512) 65829739 传真 +86 (010) 6788 5057

Quick Overview for TANK 抗体 (ABIN6719508)

抗原

See all TANK 抗体
TANK (TRAF Family Member-Associated NFKB Activator (TANK))

适用

  • 61
  • 14
  • 13
  • 6
  • 5
  • 4
  • 4
  • 4
  • 3
  • 3
  • 2
  • 2
  • 1
人, 小鼠, 大鼠

宿主

  • 58
  • 2
  • 1
  • 1

克隆类型

  • 61
  • 1
多克隆

标记

  • 32
  • 5
  • 3
  • 3
  • 1
  • 1
  • 1
  • 1
  • 1
  • 1
  • 1
  • 1
  • 1
  • 1
  • 1
  • 1
  • 1
  • 1
  • 1
  • 1
  • 1
  • 1
  • 1
This TANK antibody is un-conjugated

应用范围

  • 35
  • 23
  • 15
  • 13
  • 13
  • 10
  • 9
  • 8
  • 3
  • 3
  • 3
  • 2
  • 1
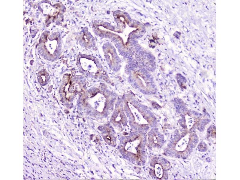
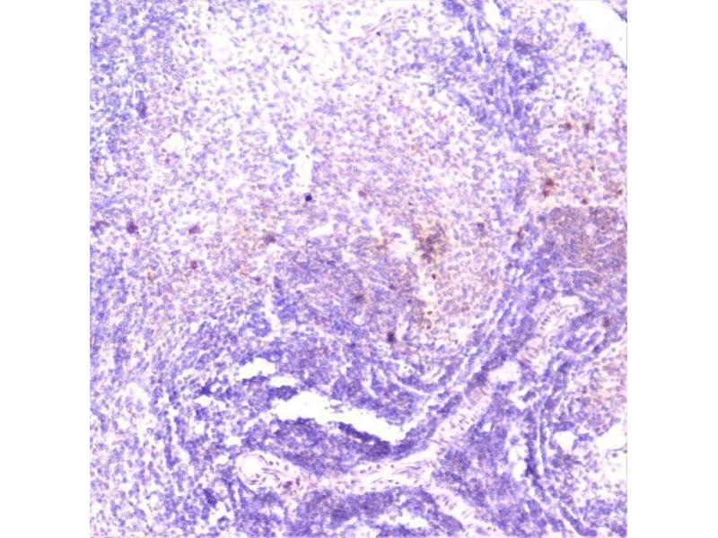
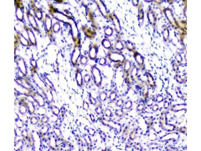
Western Blotting (WB), Immunohistochemistry (IHC), Flow Cytometry (FACS), Immunohistochemistry (Frozen Sections) (IHC (fro))
  • 原理

    Anti-TANK Antibody

    序列

    MDKNIGEQLN KAYEAFRQAC MDRDSAVKEL QQK

    交叉反应 (详细)

    No cross-reactivity with other proteins.

    产品特性

    Anti-TANK Antibody (ABIN6719508). Tested in Flow Cytometry, IHC, IHC-F, WB applications. This antibody reacts with Human, Mouse, Rat. This is a premium antibody that guarantees superior quality, high affinity, and strong signals with minimal background in Western blot applications.

    纯化方法

    Immunogen affinity purified.

    免疫原

    A synthetic peptide corresponding to a sequence at the N-terminus of human TANK, which shares 93.9% amino acid (aa) sequence identity with both mouse and rat TANK.

    亚型

    IgG
  • 应用备注

    Western blot, 0.1-0.5 μg/mL
    Immunohistochemistry (Paraffin-embedded Section), 0.5-1 μg/mL
    Immunohistochemistry (Frozen Section), 0.5-1 μg/mL, Human
    Flow Cytometry (Fixed), 1-3 μg/1x106 cells, Human

    说明

    Tested Species: In-house tested species with positive results. By Heat: Boiling the paraffin sections in 10mM citrate buffer, pH6.0, for 20mins is required for the staining of formalin/paraffin sections. Other applications have not been tested. Optimal dilutions should be determined by end users.

    限制

    仅限研究用
  • 状态

    Lyophilized

    溶解方式

    Add 0.2 mL of distilled water will yield a concentration of 500 μg/mL.

    浓度

    500 μg/mL

    缓冲液

    Each vial contains 4 mg Trehalose, 0.9 mg NaCl, 0.2 mg Na2HPO4, 0.05 mg NaN3.

    储存液

    Sodium azide

    注意事项

    This product contains Sodium azide: a POISONOUS AND HAZARDOUS SUBSTANCE which should be handled by trained staff only.

    储存条件

    4 °C,-20 °C

    储存方法

    Store at -20°C for one year from date of receipt. After reconstitution, at 4°C for one month.
    It can also be aliquotted and stored frozen at -20°C for six months. Avoid repeated freeze-thaw cycles.
  • 抗原

    TANK (TRAF Family Member-Associated NFKB Activator (TANK))

    别名

    TANK

    背景

    Synonyms: TRAF family member-associated NF-kappa-B activator, TRAF-interacting protein, I-TRAF, TANK, ITRAF, TRAF2

    Tissue Specificity: Ubiquitous.

    Background: TRAF family member-associated NF-kappa-B activator is a protein that in humans is encoded by the TANKgene. It is mapped to 2q24.2. The TRAF (tumor necrosis factor receptor-associated factor) family of proteins associate with and transduce signals from members of the tumor necrosis factor receptor superfamily. The protein encoded by this gene is found in the cytoplasm and can bind to TRAF1, TRAF2, or TRAF3, thereby inhibiting TRAF function by sequestering the TRAFs in a latent state in the cytoplasm. For example, the protein encoded by this gene can block TRAF2 binding to LMP1, the Epstein-Barr virus transforming protein, and inhibit LMP1-mediated NF-kappa-B activation. Three alternatively spliced transcript variants encoding different isoforms have been found for this gene.

    分子量

    48 kDa

    基因ID

    10010

    UniProt

    Q92844

    途径

    p53 Pathway, TLR signaling, Activation of Innate immune Response
You are here: