电话:
+86 (0512) 65829739
传真:
+86 (010) 6788 5057
电子邮件:
orders@antibodies-online.cn

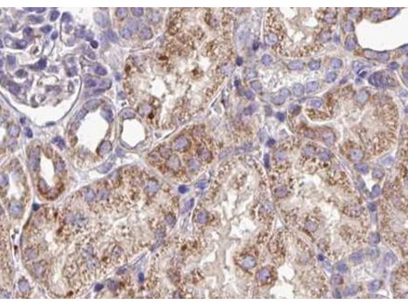
EPH Receptor A3 抗体 (C-Term)

The 兔 多克隆 anti-EPH Receptor A3 antibody is suitable to detect EPH Receptor A3 in samples from 人, 小鼠 和 大鼠. It has been validated for WB, ELISA, IHC, IF 和 ICC.
产品编号 ABIN6261558
发货至: 中国
Contact our Customer Service for availability and price in your country. Contact Info

Our Local Distributor

中国
北京 101111
No. 88 KeChuang 6th Street
Beijing Economic Technological Development Area
Room 801-803
4A Biotech Co.,Ltd.
Tel +86 (0512) 65829739 传真 +86 (010) 6788 5057

Quick Overview for EPH Receptor A3 抗体 (C-Term) (ABIN6261558)

抗原

See all EPH Receptor A3 (EPHA3) 抗体
EPH Receptor A3 (EPHA3)

适用

  • 69
  • 36
  • 35
  • 9
  • 8
  • 5
  • 3
  • 2
  • 2
  • 2
  • 1
  • 1
人, 小鼠, 大鼠

宿主

  • 72
  • 7
  • 5
  • 1

克隆类型

  • 70
  • 15
多克隆

标记

  • 45
  • 5
  • 4
  • 4
  • 3
  • 3
  • 1
  • 1
  • 1
  • 1
  • 1
  • 1
  • 1
  • 1
  • 1
  • 1
  • 1
  • 1
  • 1
  • 1
  • 1
  • 1
  • 1
  • 1
  • 1
  • 1
  • 1
This EPH Receptor A3 antibody is un-conjugated

应用范围

  • 63
  • 42
  • 24
  • 13
  • 13
  • 11
  • 6
  • 5
  • 3
  • 3
  • 2
  • 2
  • 2
  • 2
  • 1
  • 1
Western Blotting (WB), ELISA, Immunohistochemistry (IHC), Immunofluorescence (IF), Immunocytochemistry (ICC)
  • 抗原表位

    • 15
    • 13
    • 11
    • 8
    • 8
    • 6
    • 5
    • 2
    • 2
    • 2
    • 1
    • 1
    • 1
    • 1
    • 1
    • 1
    • 1
    • 1
    • 1
    • 1
    • 1
    • 1
    • 1
    C-Term

    特异性

    EPHA3 Antibody detects endogenous levels of total EPHA3.

    预测反应

    Pig,Zebrafish,Bovine,Horse,Sheep,Rabbit,Dog,Chicken

    纯化方法

    The antiserum was purified by peptide affinity chromatography using SulfoLinkTM Coupling Resin (Thermo Fisher Scientific).

    免疫原

    A synthesized peptide derived from human EPHA3, corresponding to a region within C-terminal amino acids.

    亚型

    IgG
  • 应用备注

    WB 1:500-1:2000, IHC 1:50-1:200, IF/ICC 1:100-1:500, ELISA(peptide) 1:20000-1:40000

    限制

    仅限研究用
  • 状态

    Liquid

    浓度

    1 mg/mL

    缓冲液

    Rabbit IgG in phosphate buffered saline , pH 7.4, 150 mM NaCl, 0.02 % sodium azide and 50 % glycerol.

    储存液

    Sodium azide

    注意事项

    This product contains Sodium azide: a POISONOUS AND HAZARDOUS SUBSTANCE which should be handled by trained staff only.

    储存条件

    -20 °C

    储存方法

    Store at -20 °C. Stable for 12 months from date of receipt.

    有效期

    12 months
  • 抗原

    EPH Receptor A3 (EPHA3)

    别名

    EPHA3

    背景

    Description: Receptor tyrosine kinase which binds promiscuously membrane-bound ephrin family ligands residing on adjacent cells, leading to contact-dependent bidirectional signaling into neighboring cells. The signaling pathway downstream of the receptor is referred to as forward signaling while the signaling pathway downstream of the ephrin ligand is referred to as reverse signaling. Highly promiscuous for ephrin-A ligands it binds preferentially EFNA5. Upon activation by EFNA5 regulates cell-cell adhesion, cytoskeletal organization and cell migration. Plays a role in cardiac cells migration and differentiation and regulates the formation of the atrioventricular canal and septum during development probably through activation by EFNA1. Involved in the retinotectal mapping of neurons. May also control the segregation but not the guidance of motor and sensory axons during neuromuscular circuit development.

    Gene: EPHA3

    分子量

    110 kDa

    基因ID

    2042

    UniProt

    P29320

    途径

    RTK signaling, Regulation of Cell Size
You are here: