电话:
+86 (0512) 65829739
传真:
+86 (010) 6788 5057
电子邮件:
orders@antibodies-online.cn

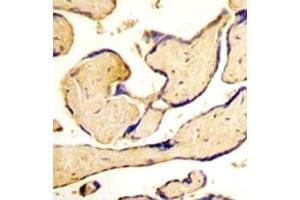
EPH Receptor A3 抗体 (AA 896-928)

This 兔 多克隆 antibody specifically detects EPH Receptor A3 in WB, ELISA 和 IHC. It exhibits reactivity toward 人 和 Hamster.
产品编号 ABIN3030820
发货至: 中国
Contact our Customer Service for availability and price in your country. Contact Info

Our Local Distributor

中国
北京 101111
No. 88 KeChuang 6th Street
Beijing Economic Technological Development Area
Room 801-803
4A Biotech Co.,Ltd.
Tel +86 (0512) 65829739 传真 +86 (010) 6788 5057

Quick Overview for EPH Receptor A3 抗体 (AA 896-928) (ABIN3030820)

抗原

See all EPH Receptor A3 (EPHA3) 抗体
EPH Receptor A3 (EPHA3)

适用

  • 69
  • 37
  • 36
  • 8
  • 8
  • 5
  • 3
  • 2
  • 2
  • 2
  • 1
  • 1
人, Hamster

宿主

  • 72
  • 7
  • 5
  • 1

克隆类型

  • 70
  • 15
多克隆

标记

  • 45
  • 5
  • 4
  • 4
  • 3
  • 3
  • 1
  • 1
  • 1
  • 1
  • 1
  • 1
  • 1
  • 1
  • 1
  • 1
  • 1
  • 1
  • 1
  • 1
  • 1
  • 1
  • 1
  • 1
  • 1
  • 1
  • 1
This EPH Receptor A3 antibody is un-conjugated

应用范围

  • 63
  • 42
  • 25
  • 13
  • 13
  • 10
  • 7
  • 6
  • 3
  • 3
  • 3
  • 2
  • 2
  • 2
  • 1
  • 1
Western Blotting (WB), ELISA, Immunohistochemistry (IHC)
  • 抗原表位

    • 15
    • 13
    • 11
    • 8
    • 7
    • 7
    • 5
    • 2
    • 2
    • 2
    • 1
    • 1
    • 1
    • 1
    • 1
    • 1
    • 1
    • 1
    • 1
    • 1
    • 1
    • 1
    • 1
    AA 896-928

    纯化方法

    Purified

    免疫原

    A portion of amino acids 896-928 from the human protein was used as the immunogen for this EphA3 antibody.

    亚型

    Ig Fraction
  • 应用备注

    Titration of the EphA3 antibody may be required due to differences in protocols and secondary/substrate sensitivity.\. Western blot: 1:1000,IHC (Paraffin): 1:50-1:100

    限制

    仅限研究用
  • 状态

    Liquid

    缓冲液

    In 1X PBS, pH 7.4, with 0.09 % sodium azide

    储存液

    Sodium azide

    注意事项

    This product contains Sodium azide: a POISONOUS AND HAZARDOUS SUBSTANCE which should be handled by trained staff only.

    储存条件

    -20 °C

    储存方法

    Aliquot the EphA3 antibody and store frozen at -20°C or colder. Avoid repeated freeze-thaw cycles.
  • 抗原

    EPH Receptor A3 (EPHA3)

    别名

    EphA3

    背景

    Protein kinases are enzymes that transfer a phosphate group from a phosphate donor, generally the g phosphate of ATP, onto an acceptor amino acid in a substrate protein. By this basic mechanism, protein kinases mediate most of the signal transduction in eukaryotic cells, regulating cellular metabolism, transcription, cell cycle progression, cytoskeletal rearrangement and cell movement, apoptosis, and differentiation. With more than 500 gene products, the protein kinase family is one of the largest families of proteins in eukaryotes. The family has been classified in 8 major groups based on sequence comparison of their tyrosine (PTK) or serine/threonine (STK) kinase catalytic domains. The tyrosine kinase (TK) group is mainly involved in the regulation of cell-cell interactions such as differentiation, adhesion, motility and death. There are currently about 90 TK genes sequenced, 58 are of receptor protein TK (e.g. EGFR, EPH, FGFR, PDGFR, TRK, and VEGFR families), and 32 of cytosolic TK (e.g. ABL, FAK, JAK, and SRC families).

    UniProt

    P29320

    途径

    RTK signaling, Regulation of Cell Size
You are here: