电话:
+86 (0512) 65829739
传真:
+86 (010) 6788 5057
电子邮件:
orders@antibodies-online.cn

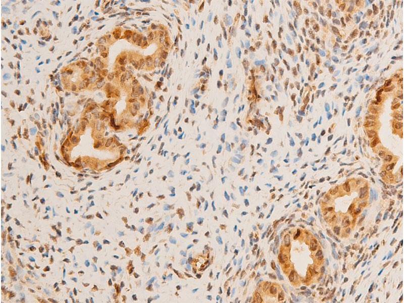
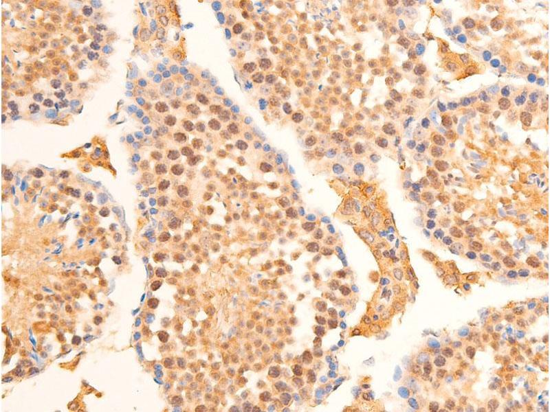
Lamin A/C 抗体 (pSer392)

The 兔 多克隆 anti-Lamin A/C antibody is suitable to detect Lamin A/C in samples from 人, 小鼠 和 大鼠. It has been validated for WB, IHC, IF, ELISA 和 ICC.
产品编号 ABIN6256311
发货至: 中国
Contact our Customer Service for availability and price in your country. Contact Info

Our Local Distributor

中国
北京 101111
No. 88 KeChuang 6th Street
Beijing Economic Technological Development Area
Room 801-803
4A Biotech Co.,Ltd.
Tel +86 (0512) 65829739 传真 +86 (010) 6788 5057

Quick Overview for Lamin A/C 抗体 (pSer392) (ABIN6256311)

抗原

See all Lamin A/C (LMNA) 抗体
Lamin A/C (LMNA)

适用

  • 182
  • 115
  • 108
  • 28
  • 16
  • 13
  • 9
  • 7
  • 6
  • 6
  • 5
  • 4
  • 4
  • 3
  • 3
  • 3
  • 2
  • 2
  • 1
  • 1
  • 1
  • 1
  • 1
  • 1
人, 小鼠, 大鼠

宿主

  • 147
  • 48
  • 2
  • 1

克隆类型

  • 106
  • 92
多克隆

标记

  • 127
  • 10
  • 9
  • 6
  • 5
  • 5
  • 5
  • 5
  • 5
  • 5
  • 4
  • 4
  • 2
  • 2
  • 2
  • 2
This Lamin A/C antibody is un-conjugated

应用范围

  • 168
  • 102
  • 82
  • 53
  • 52
  • 43
  • 39
  • 26
  • 13
  • 4
  • 3
  • 2
  • 1
  • 1
Western Blotting (WB), Immunohistochemistry (IHC), Immunofluorescence (IF), ELISA, Immunocytochemistry (ICC)
  • 抗原表位

    • 11
    • 8
    • 7
    • 6
    • 6
    • 5
    • 4
    • 4
    • 4
    • 4
    • 3
    • 3
    • 3
    • 3
    • 2
    • 2
    • 2
    • 2
    • 2
    • 2
    • 2
    • 2
    • 2
    • 2
    • 2
    • 2
    • 1
    • 1
    • 1
    • 1
    • 1
    • 1
    • 1
    • 1
    • 1
    • 1
    • 1
    • 1
    • 1
    • 1
    • 1
    • 1
    • 1
    • 1
    • 1
    • 1
    • 1
    • 1
    • 1
    • 1
    pSer392

    特异性

    Phospho-Lamin A/C (Ser392) Antibody detects endogenous levels of Lamin A/C only when phosphorylated at Serine 392.

    预测反应

    Pig,Zebrafish,Bovine,Horse,Rabbit,Chicken,Xenopus

    纯化方法

    The antibody is from purified rabbit serum by affinity purification via sequential chromatography on phospho- and non-phospho-peptide affinity columns.

    免疫原

    A synthesized peptide derived from human Lamin A/C around the phosphorylation site of Ser392.

    亚型

    IgG
  • 应用备注

    WB 1:500-1:2000, IHC 1:50-1:1000, IF/ICC 1:100-1:500, ELISA(peptide) 1:20000-1:40000

    限制

    仅限研究用
  • 状态

    Liquid

    浓度

    1 mg/mL

    缓冲液

    Rabbit IgG in phosphate buffered saline , pH 7.4, 150 mM NaCl, 0.02 % sodium azide and 50 % glycerol.

    储存液

    Sodium azide

    注意事项

    This product contains Sodium azide: a POISONOUS AND HAZARDOUS SUBSTANCE which should be handled by trained staff only.

    储存条件

    -20 °C

    储存方法

    Store at -20 °C. Stable for 12 months from date of receipt.

    有效期

    12 months
  • 抗原

    Lamin A/C (LMNA)

    别名

    LMNA

    背景

    Description: Lamins are components of the nuclear lamina, a fibrous layer on the nucleoplasmic side of the inner nuclear membrane, which is thought to provide a framework for the nuclear envelope and may also interact with chromatin. Lamin A and C are present in equal amounts in the lamina of mammals. Plays an important role in nuclear assembly, chromatin organization, nuclear membrane and telomere dynamics. Required for normal development of peripheral nervous system and skeletal muscle and for muscle satellite cell proliferation (PubMed:10080180, PubMed:22431096, PubMed:10814726, PubMed:11799477, PubMed:18551513). Required for osteoblastogenesis and bone formation (PubMed:12075506, PubMed:15317753, PubMed:18611980). Also prevents fat infiltration of muscle and bone marrow, helping to maintain the volume and strength of skeletal muscle and bone (PubMed:10587585). Required for cardiac homeostasis (PubMed:10580070, PubMed:12927431, PubMed:18611980, PubMed:23666920).

    Gene: LMNA

    分子量

    74,65kDa

    基因ID

    4000

    UniProt

    P02545

    途径

    Apoptosis, Caspase Cascade in Apoptosis, ER-Nucleus Signaling, Protein targeting to Nucleus
You are here: