电话:
+86 (0512) 65829739
传真:
+86 (010) 6788 5057
电子邮件:
orders@antibodies-online.cn

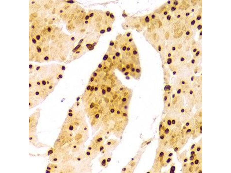
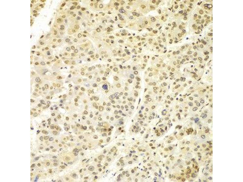
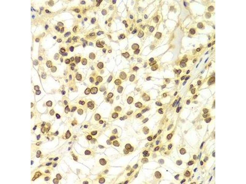
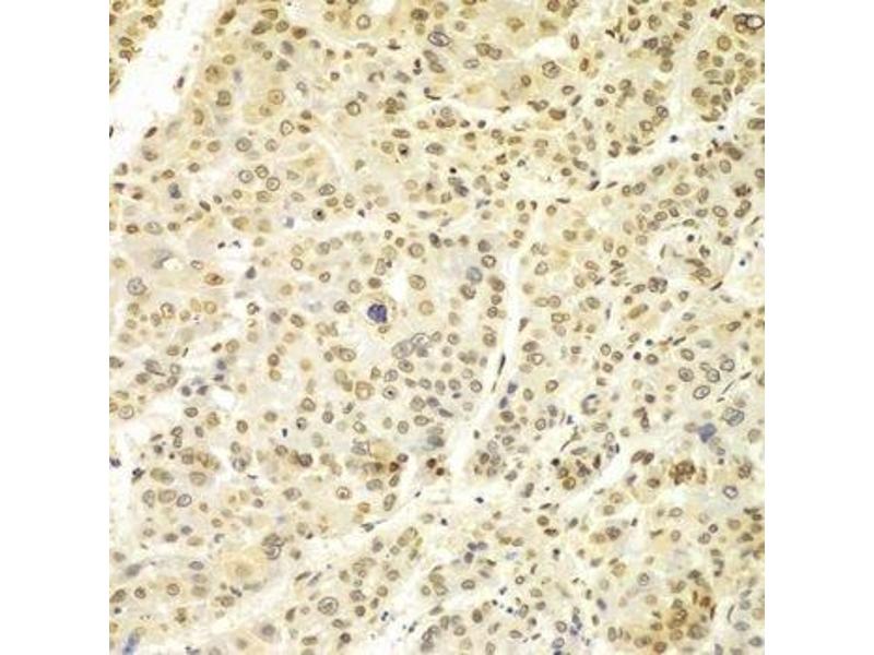
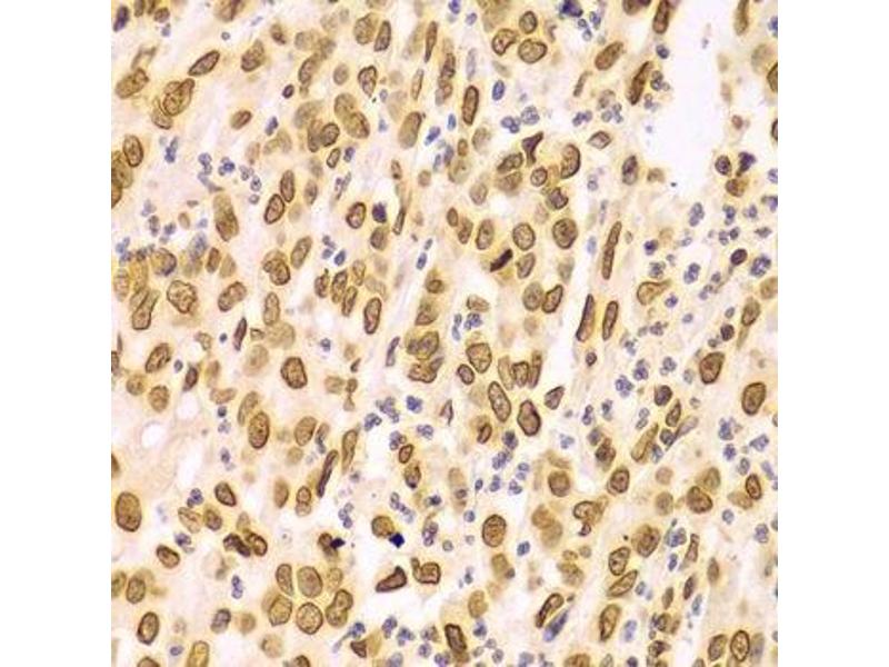
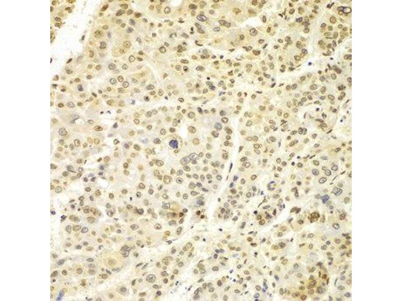
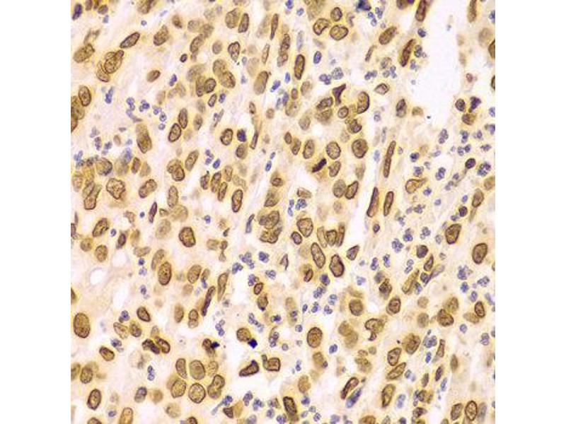
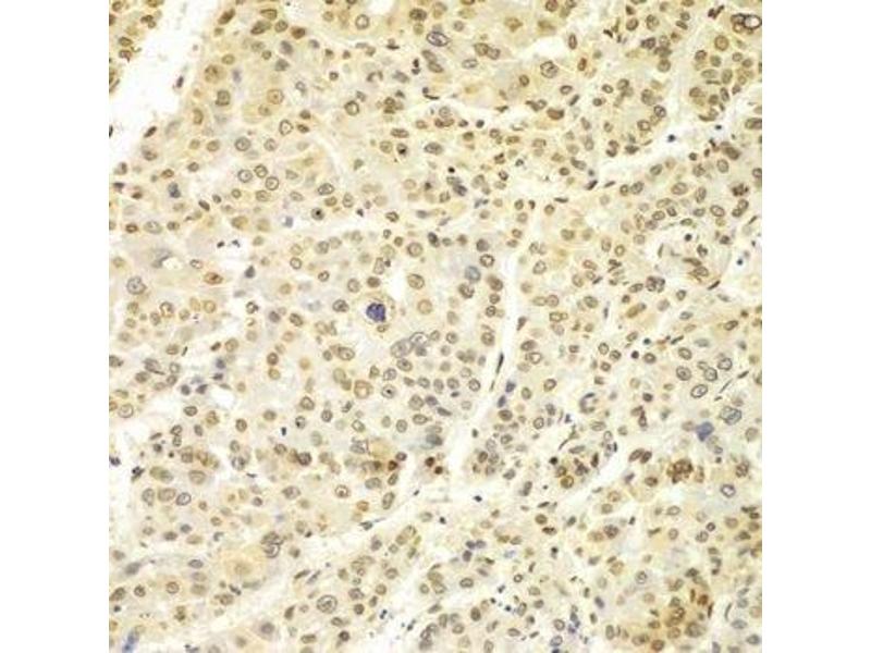
Lamin A/C 抗体 (AA 403-572)

This 兔 多克隆 antibody specifically detects Lamin A/C in WB, IHC, IF 和 IP. It exhibits reactivity toward 人. It has been mentioned in 11+ publications
产品编号 ABIN3020785
发货至: 中国
Contact our Customer Service for availability and price in your country. Contact Info

Our Local Distributor

中国
北京 101111
No. 88 KeChuang 6th Street
Beijing Economic Technological Development Area
Room 801-803
4A Biotech Co.,Ltd.
Tel +86 (0512) 65829739 传真 +86 (010) 6788 5057

Quick Overview for Lamin A/C 抗体 (AA 403-572) (ABIN3020785)

抗原

See all Lamin A/C (LMNA) 抗体
Lamin A/C (LMNA)

适用

  • 182
  • 116
  • 109
  • 28
  • 16
  • 13
  • 9
  • 7
  • 6
  • 6
  • 5
  • 4
  • 4
  • 3
  • 3
  • 3
  • 2
  • 2
  • 1
  • 1
  • 1
  • 1
  • 1
  • 1

宿主

  • 147
  • 48
  • 2
  • 1

克隆类型

  • 106
  • 92
多克隆

标记

  • 127
  • 10
  • 9
  • 6
  • 5
  • 5
  • 5
  • 5
  • 5
  • 5
  • 4
  • 4
  • 2
  • 2
  • 2
  • 2
This Lamin A/C antibody is un-conjugated

应用范围

  • 168
  • 99
  • 79
  • 54
  • 53
  • 43
  • 38
  • 29
  • 13
  • 4
  • 3
  • 2
  • 1
  • 1
Western Blotting (WB), Immunohistochemistry (IHC), Immunofluorescence (IF), Immunoprecipitation (IP)
  • 抗原表位

    • 11
    • 8
    • 7
    • 7
    • 6
    • 5
    • 4
    • 4
    • 4
    • 4
    • 3
    • 3
    • 3
    • 3
    • 2
    • 2
    • 2
    • 2
    • 2
    • 2
    • 2
    • 2
    • 2
    • 2
    • 2
    • 2
    • 1
    • 1
    • 1
    • 1
    • 1
    • 1
    • 1
    • 1
    • 1
    • 1
    • 1
    • 1
    • 1
    • 1
    • 1
    • 1
    • 1
    • 1
    • 1
    • 1
    • 1
    • 1
    • 1
    • 1
    AA 403-572

    序列

    SSHSSQTQGG GSVTKKRKLE STESRSSFSQ HARTSGRVAV EEVDEEGKFV RLRNKSNEDQ SMGNWQIKRQ NGDDPLLTYR FPPKFTLKAG QVVTIWAAGA GATHSPPTDL VWKAQNTWGC GNSLRTALIN STGEEVAMRK LVRSVTVVED DEDEDGDDLL HHHHVSGSRR

    交叉反应

    人, 小鼠, 大鼠

    产品特性

    Polyclonal Antibodies

    免疫原

    Recombinant fusion protein containing a sequence corresponding to amino acids 403-572 of human Lamin C (NP_005563.1).

    亚型

    IgG
  • 应用备注

    WB,1:500 - 1:2000,IHC,1:50 - 1:200,IF,1:50 - 1:200,IP,1:50 - 1:200

    限制

    仅限研究用
  • 状态

    Liquid

    缓冲液

    PBS with 0.02 % sodium azide,50 % glycerol, pH 7.3.

    储存液

    Sodium azide

    注意事项

    This product contains Sodium azide: a POISONOUS AND HAZARDOUS SUBSTANCE which should be handled by trained staff only.

    注意事项

    Avoid freeze / thaw cycles

    储存条件

    -20 °C

    储存方法

    Store at -20°C. Avoid freeze / thaw cycles.
  • Wei, Dai, Zhou, He, Yao, Zhao, Guo, Yang: "Oroxylin A activates PKM1/HNF4 alpha to induce hepatoma differentiation and block cancer progression." in: Cell death & disease, Vol. 8, Issue 7, pp. e2944, (2018) (PubMed).

    Wan, Ashraf, Ye, Duan, Zohaib, Wang, Chen, Zhu, Li, Chen, Cao: "MicroRNA-22 negatively regulates poly(I:C)-triggered type I interferon and inflammatory cytokine production via targeting mitochondrial antiviral signaling protein (MAVS)." in: Oncotarget, Vol. 7, Issue 47, pp. 76667-76683, (2018) (PubMed).

    He, Zhao, Anees, Li, Ashraf, Chen, Song, Chen, Cao, Ye: "p21-Activated Kinase 4 Signaling Promotes Japanese Encephalitis Virus-Mediated Inflammation in Astrocytes." in: Frontiers in cellular and infection microbiology, Vol. 7, pp. 271, (2018) (PubMed).

    Shang, Xia, Han, Zhao, Hu, Shu, Guo: "Quantitative Proteomics Identified TTC4 as a TBK1 Interactor and a Positive Regulator of SeV-Induced Innate Immunity." in: Proteomics, Vol. 18, Issue 2, (2018) (PubMed).

    Ye, Chen, Li, Zhao, He, Zohaib, Song, Deng, Zhang, Chen, Cao: "Japanese Encephalitis Virus NS5 Inhibits Type I Interferon (IFN) Production by Blocking the Nuclear Translocation of IFN Regulatory Factor 3 and NF-κB." in: Journal of virology, Vol. 91, Issue 8, (2017) (PubMed).

    Zhu, Ye, Ashraf, Li, Chen, Song, Cao: "Transcriptional regulation of miR-15b by c-Rel and CREB in Japanese encephalitis virus infection." in: Scientific reports, Vol. 6, pp. 22581, (2017) (PubMed).

    Ashraf, Zhu, Ye, Wan, Nie, Chen, Cui, Wang, Duan, Zhang, Chen, Cao: "MicroRNA-19b-3p Modulates Japanese Encephalitis Virus-Mediated Inflammation via Targeting RNF11." in: Journal of virology, Vol. 90, Issue 9, pp. 4780-4795, (2016) (PubMed).

    Zhang, Sun, Ye, Ashraf, Chen, Zhu, He, Xu, Wei, Chen, Fu, Liu, Cao: "Quantitative Label-Free Phosphoproteomics Reveals Differentially Regulated Protein Phosphorylation Involved in West Nile Virus-Induced Host Inflammatory Response." in: Journal of proteome research, Vol. 14, Issue 12, pp. 5157-68, (2016) (PubMed).

    Zhu, Ye, Nie, Ashraf, Zohaib, Duan, Fu, Song, Chen, Cao: "MicroRNA-15b Modulates Japanese Encephalitis Virus-Mediated Inflammation via Targeting RNF125." in: Journal of immunology (Baltimore, Md. : 1950), Vol. 195, Issue 5, pp. 2251-62, (2015) (PubMed).

    Duan, Zohaib, Li, Zhu, Ye, Wan, Xu, Song, Chen, Cao: "miR-206 modulates lipopolysaccharide-mediated inflammatory cytokine production in human astrocytes." in: Cellular signalling, Vol. 27, Issue 1, pp. 61-8, (2015) (PubMed).

    Ye, Jiang, Cui, Zhu, Sun, Wang, Zohaib, Dong, Ruan, Song, He, Chen, Cao: "Etanercept reduces neuroinflammation and lethality in mouse model of Japanese encephalitis." in: The Journal of infectious diseases, Vol. 210, Issue 6, pp. 875-89, (2014) (PubMed).

  • 抗原

    Lamin A/C (LMNA)

    别名

    LMNA

    背景

    The nuclear lamina consists of a two-dimensional matrix of proteins located next to the inner nuclear membrane. The lamin family of proteins make up the matrix and are highly conserved in evolution. During mitosis, the lamina matrix is reversibly disassembled as the lamin proteins are phosphorylated. Lamin proteins are thought to be involved in nuclear stability, chromatin structure and gene expression. Vertebrate lamins consist of two types, A and B. Alternative splicing results in multiple transcript variants. Mutations in this gene lead to several diseases: Emery-Dreifuss muscular dystrophy, familial partial lipodystrophy, limb girdle muscular dystrophy, dilated cardiomyopathy, Charcot-Marie-Tooth disease, and Hutchinson-Gilford progeria syndrome.,LMNA,CDCD1,CDDC,CMD1A,CMT2B1,EMD2,FPL,FPLD,FPLD2,HGPS,IDC,LDP1,LFP,LGMD1B,LMN1,LMNC,LMNL1,MADA,PRO1,lamin,Lamin A/C,Signal Transduction,PI3K-Akt Signaling Pathway,Cell Biology & Developmental Biology,Apoptosis,Cell Cycle,Cytoskeleton,Intermediate Filaments,Protein folding,Death Receptor Signaling Pathway,Stem Cells,LMNA

    分子量

    62-74 kDa

    基因ID

    4000

    UniProt

    P02545

    途径

    Apoptosis, Caspase Cascade in Apoptosis, ER-Nucleus Signaling, Protein targeting to Nucleus
You are here: