Bcl-2 抗体
Quick Overview for Bcl-2 抗体 (ABIN6213667)
抗原
See all Bcl-2 (BCL2) 抗体适用
宿主
克隆类型
标记
应用范围
- 
    - 
                                            交叉反应
- 人, 小鼠, 大鼠
- 
                                            产品特性
- Polyclonal Antibodies
- 
                                            纯化方法
- Affinity purification
- 
                                            免疫原
- A synthetic peptide of human Bcl-2
- 
                                            亚型
- IgG
 
- 
                                            
- 
    
- 
    - 
                                            应用备注
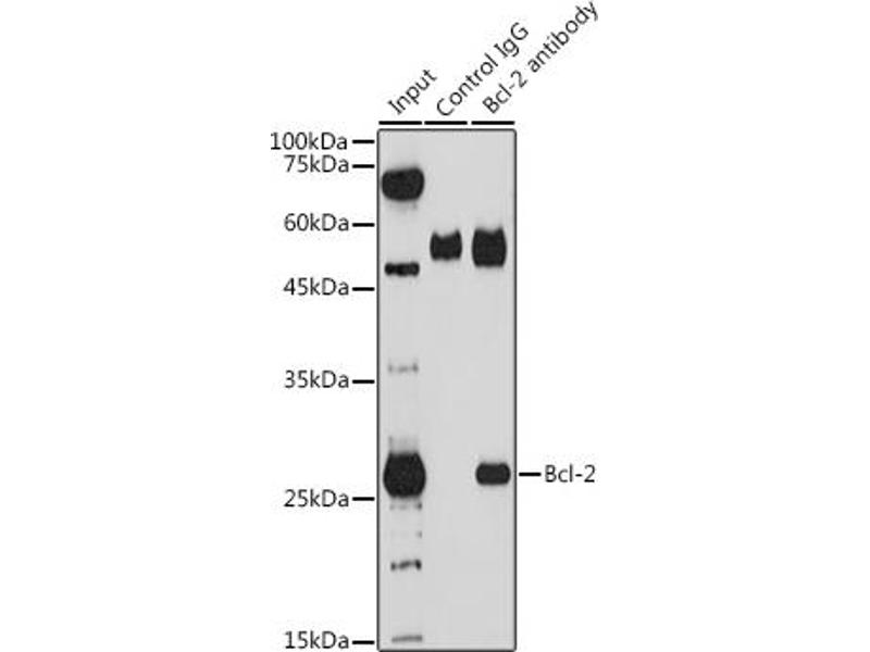
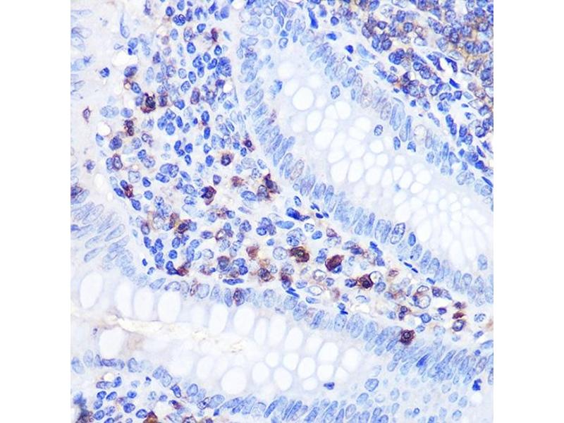
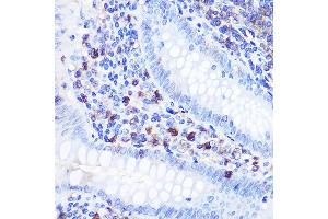
- WB,1:500 - 1:2000,IHC,1:50 - 1:100,IF,1:50 - 1:100,IP,1:50 - 1:200
- 
                                            说明
- 
                        HIGH QUALITY 
- 
                                            限制
- 仅限研究用
 
- 
                                            
- 
    - 
                                            状态
- Liquid
- 
                                            缓冲液
- PBS with 0.02 % sodium azide,50 % glycerol, pH 7.3.
- 
                                            储存液
- Sodium azide
- 
                                            注意事项
- This product contains Sodium azide: a POISONOUS AND HAZARDOUS SUBSTANCE which should be handled by trained staff only.
- 
                                            储存条件
- -20 °C
- 
                                            储存方法
- Store at -20°C. Avoid freeze / thaw cycles.
 
- 
                                            
- 
    - 
                                            : "Pretreatment of Huaiqihuang extractum protects against cisplatin-induced nephrotoxicity."    in: Scientific reports, Vol. 8, Issue 1, pp. 7333, (2018)         (PubMed).        
 : "Toosendanin suppresses oncogenic phenotypes of human gastric carcinoma SGC‑7901 cells partly via miR‑200a‑mediated downregulation of β-catenin pathway." in: International journal of oncology, Vol. 51, Issue 5, pp. 1563-1573, (2018) (PubMed).
 : "Ameliorative effects of nano-elemental selenium against hexavalent chromium-induced apoptosis in broiler liver." in: Environmental science and pollution research international, Vol. 25, Issue 16, pp. 15609-15615, (2018) (PubMed).
 : "Traditional Chinese medicine Astragalus polysaccharide enhanced antitumor effects of the angiogenesis inhibitor apatinib in pancreatic cancer cells on proliferation, invasiveness, and apoptosis." in: OncoTargets and therapy, Vol. 11, pp. 2685-2698, (2018) (PubMed).
 : "Ginsenoside Rg3 Suppresses Proliferation and Induces Apoptosis in Human Osteosarcoma." in: BioMed research international, Vol. 2018, pp. 4306579, (2018) (PubMed).
 : "SGK1 inhibits PM2.5-induced apoptosis and oxidative stress in human lung alveolar epithelial A549 cells." in: Biochemical and biophysical research communications, Vol. 496, Issue 4, pp. 1291-1295, (2018) (PubMed).
 : "Serum-Derived Extracellular Vesicles Protect Against Acute Myocardial Infarction by Regulating miR-21/PDCD4 Signaling Pathway." in: Frontiers in physiology, Vol. 9, pp. 348, (2018) (PubMed).
 : "Natural Compound Methyl Protodioscin Suppresses Proliferation and Inhibits Glycolysis in Pancreatic Cancer." in: Evidence-based complementary and alternative medicine : eCAM, Vol. 2018, pp. 7343090, (2018) (PubMed).
 : "The TRiC chaperonin controls reovirus replication through outer-capsid folding." in: Nature microbiology, Vol. 3, Issue 4, pp. 481-493, (2018) (PubMed).
 : "iASPP Is an Antioxidative Factor and Drives Cancer Growth and Drug Resistance by Competing with Nrf2 for Keap1 Binding." in: Cancer cell, Vol. 32, Issue 5, pp. 561-573.e6, (2017) (PubMed).
 : "Enoyl-CoA hydratase-1 regulates mTOR signaling and apoptosis by sensing nutrients." in: Nature communications, Vol. 8, Issue 1, pp. 464, (2017) (PubMed).
 : "miR-19b attenuates H2O2-induced apoptosis in rat H9C2 cardiomyocytes via targeting PTEN." in: Oncotarget, Vol. 7, Issue 10, pp. 10870-8, (2017) (PubMed).
 : "Adipose-derived mesenchymal stem cells employed exosomes to attenuate AKI-CKD transition through tubular epithelial cell dependent Sox9 activation." in: Oncotarget, Vol. 8, Issue 41, pp. 70707-70726, (2017) (PubMed).
 : "MicroRNA-30c-5p ameliorates hypoxia-reoxygenation-induced tubular epithelial cell injury via HIF1α stabilization by targeting SOCS3." in: Oncotarget, Vol. 8, Issue 54, pp. 92801-92814, (2017) (PubMed).
 : "Chikusetsu saponin IVa attenuates isoflurane-induced neurotoxicity and cognitive deficits via SIRT1/ERK1/2 in developmental rats." in: American journal of translational research, Vol. 9, Issue 9, pp. 4288-4299, (2017) (PubMed).
 : "Electroacupuncture pretreatment attenuates spinal cord ischemia-reperfusion injury via inhibition of high-mobility group box 1 production in a LXA4 receptor-dependent manner." in: Brain research, Vol. 1659, pp. 113-120, (2017) (PubMed).
 : "Gelsolin-like actin-capping protein is associated with patient prognosis, cellular apoptosis and proliferation in prostate cancer." in: Biomarkers in medicine, Vol. 10, Issue 12, pp. 1251-1260, (2017) (PubMed).
 : "G3-C12 Peptide Reverses Galectin-3 from Foe to Friend for Active Targeting Cancer Treatment." in: Molecular pharmaceutics, Vol. 12, Issue 11, pp. 4124-36, (2016) (PubMed).
 : "Glycyrrhizin attenuates isoflurane-induced cognitive deficits in neonatal rats via its anti-inflammatory activity." in: Neuroscience, Vol. 316, pp. 328-36, (2016) (PubMed).
 : "Carvedilol protects bone marrow stem cells against hydrogen peroxide-induced cell death via PI3K-AKT pathway." in: Biomedicine & pharmacotherapy, Vol. 78, pp. 257-263, (2016) (PubMed).
 
 
- 
                                            : "Pretreatment of Huaiqihuang extractum protects against cisplatin-induced nephrotoxicity."    in: Scientific reports, Vol. 8, Issue 1, pp. 7333, (2018)         (PubMed).        
- 
    - Bcl-2 (BCL2) (B-Cell CLL/lymphoma 2 (BCL2))
- 
                                            别名
- BCL2
- 
                                            背景
- This gene encodes an integral outer mitochondrial membrane protein that blocks the apoptotic death of some cells such as lymphocytes. Constitutive expression of BCL2, such as in the case of translocation of BCL2 to Ig heavy chain locus, is thought to be the cause of follicular lymphoma. Alternative splicing results in multiple transcript variants.,Bcl-2,PPP1R50,BCL2,Cancer,Tumor biomarkers,Invasion and Metastasis,Signal Transduction,PI3K-Akt Signaling Pathway,Cell Biology & Developmental Biology,Apoptosis,Bcl 2 family,Mitochondrial Control of Apoptosis,Inhibition of Apoptosis,Autophagy,Death Receptor Signaling Pathway,Endocrine & Metabolism,Mitochondrial metabolism,Mitochondrial markers,Immunology & Inflammation,Neuroscience,Neurodegenerative Diseases,Stem Cells,BCL2
- 
                                            分子量
- 22 kDa/26 kDa
- 
                                            基因ID
- 596
- 
                                            UniProt
- P10415
- 
                                            途径
- MAPK Pathway, PI3K-Akt Signaling, Apoptosis, Caspase Cascade in Apoptosis, Regulation of Muscle Cell Differentiation, Cell-Cell Junction Organization, Skeletal Muscle Fiber Development, Autophagy, Smooth Muscle Cell Migration, Negative Regulation of intrinsic apoptotic Signaling
 抗原
- 
                    
 
                                     
                                     
                                    