电话:
+86 (0512) 65829739
传真:
+86 (010) 6788 5057
电子邮件:
orders@antibodies-online.cn

ATG5 抗体 (AA 28-275)

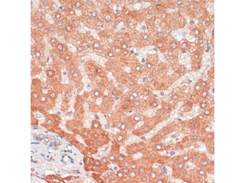
The 兔 多克隆 anti-ATG5 antibody (ABIN6137264) specifically detects ATG5 in WB 和 IHC. The antibody is reactive with 人 samples.
产品编号 ABIN6137264
发货至: 中国
Contact our Customer Service for availability and price in your country. Contact Info

Our Local Distributor

中国
北京 101111
No. 88 KeChuang 6th Street
Beijing Economic Technological Development Area
Room 801-803
4A Biotech Co.,Ltd.
Tel +86 (0512) 65829739 传真 +86 (010) 6788 5057

Quick Overview for ATG5 抗体 (AA 28-275) (ABIN6137264)

抗原

See all ATG5 抗体
ATG5 (ATG5 Autophagy Related 5 (ATG5))

适用

  • 140
  • 70
  • 56
  • 8
  • 6
  • 6
  • 5
  • 5
  • 4
  • 4
  • 4
  • 3
  • 3
  • 2
  • 2

宿主

  • 97
  • 46
  • 4
  • 1

克隆类型

  • 85
  • 63
多克隆

标记

  • 76
  • 7
  • 7
  • 5
  • 4
  • 4
  • 3
  • 3
  • 3
  • 3
  • 3
  • 3
  • 2
  • 2
  • 2
  • 2
  • 2
  • 2
  • 2
  • 1
  • 1
  • 1
  • 1
  • 1
  • 1
  • 1
  • 1
  • 1
  • 1
  • 1
  • 1
  • 1
This ATG5 antibody is un-conjugated

应用范围

  • 105
  • 65
  • 48
  • 27
  • 20
  • 19
  • 18
  • 17
  • 16
  • 14
  • 13
  • 5
  • 3
  • 3
  • 3
  • 2
  • 2
  • 1
Western Blotting (WB), Immunohistochemistry (IHC)
  • 抗原表位

    • 25
    • 16
    • 9
    • 5
    • 5
    • 4
    • 4
    • 3
    • 3
    • 3
    • 3
    • 2
    • 2
    • 2
    • 2
    • 2
    • 2
    • 1
    • 1
    • 1
    • 1
    • 1
    • 1
    • 1
    • 1
    AA 28-275

    序列

    TEREAEPYYL LLPRVSYLTL VTDKVKKHFQ KVMRQEDISE IWFEYEGTPL KWHYPIGLLF DLLASSSALP WNITVHFKSF PEKDLLHCPS KDAIEAHFMS CMKEADALKH KSQVINEMQK KDHKQLWMGL QNDRFDQFWA INRKLMEYPA EENGFRYIPF RIYQTTTERP FIQKLFRPVA ADGQLHTLGD LLKEVCPSAI DPEDGEKKNQ VMIHGIEPML ETPLQWLSEH LSYPDNFLHI SIIPQPTD

    交叉反应

    人, 小鼠, 大鼠

    产品特性

    Polyclonal Antibodies

    纯化方法

    Affinity purification

    免疫原

    Recombinant fusion protein containing a sequence corresponding to amino acids 28-275 of human ATG5 (NP_004840.1).

    亚型

    IgG
  • 应用备注

    WB,1:500 - 1:2000,IHC,1:50 - 1:100

    说明

    HIGH QUALITY

    限制

    仅限研究用
  • 状态

    Liquid

    缓冲液

    PBS with 0.02 % sodium azide,50 % glycerol, pH 7.3.

    储存液

    Sodium azide

    注意事项

    This product contains Sodium azide: a POISONOUS AND HAZARDOUS SUBSTANCE which should be handled by trained staff only.

    储存条件

    -20 °C

    储存方法

    Store at -20°C. Avoid freeze / thaw cycles.
  • 抗原

    ATG5 (ATG5 Autophagy Related 5 (ATG5))

    别名

    ATG5

    背景

    The protein encoded by this gene, in combination with autophagy protein 12, functions as an E1-like activating enzyme in a ubiquitin-like conjugating system. The encoded protein is involved in several cellular processes, including autophagic vesicle formation, mitochondrial quality control after oxidative damage, negative regulation of the innate antiviral immune response, lymphocyte development and proliferation, MHC II antigen presentation, adipocyte differentiation, and apoptosis. Several transcript variants encoding different protein isoforms have been found for this gene.,ATG5,APG5,APG5-LIKE,APG5L,ASP,hAPG5,Cancer,Signal Transduction,Cell Biology & Developmental Biology,Apoptosis,Autophagy,Ubiquitin,Endocrine & Metabolism,Mitochondrial metabolism,Immunology & Inflammation,Cardiovascular,Heart,ATGs,ATG5

    分子量

    22 kDa/32 kDa

    基因ID

    9474

    UniProt

    Q9H1Y0

    途径

    Activation of Innate immune Response, Production of Molecular Mediator of Immune Response, Autophagy
You are here: