电话:
+86 (0512) 65829739
传真:
+86 (010) 6788 5057
电子邮件:
orders@antibodies-online.cn

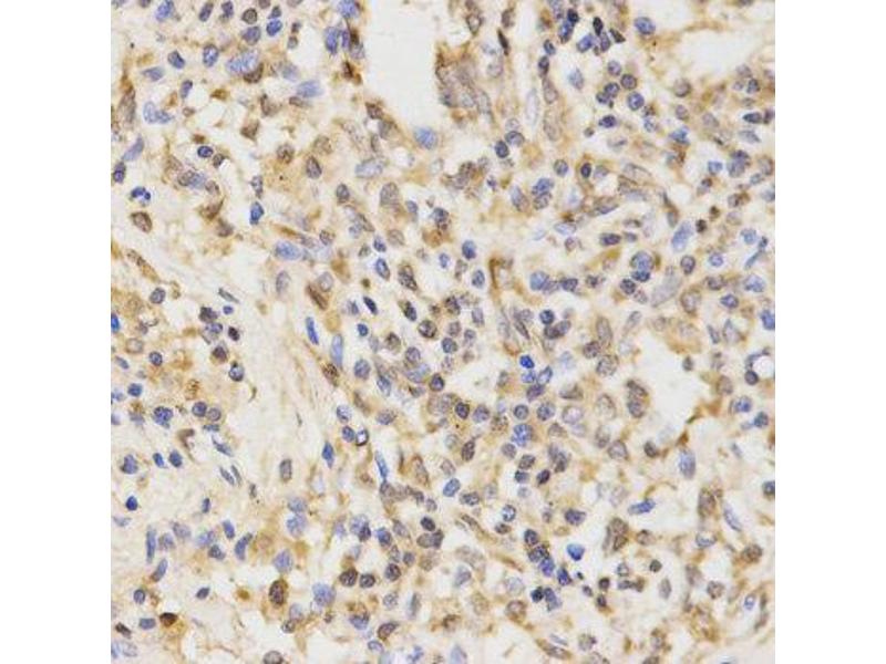
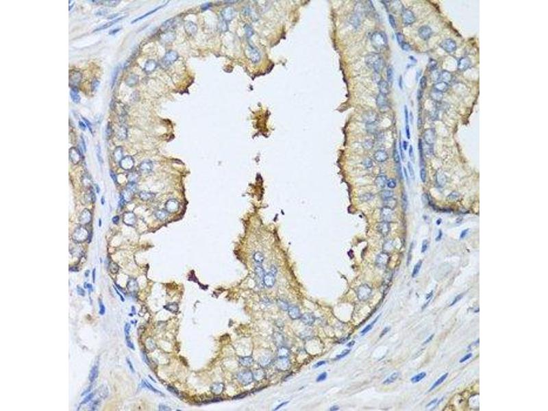
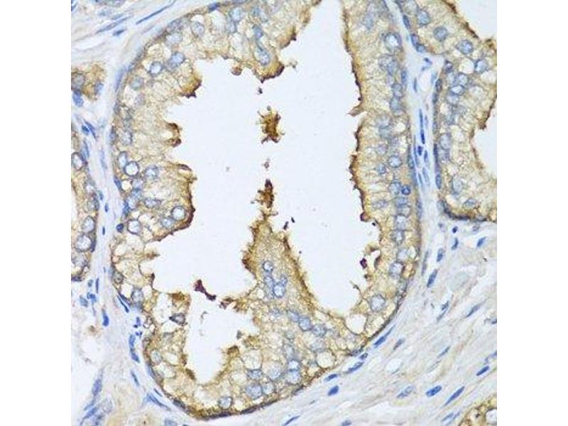
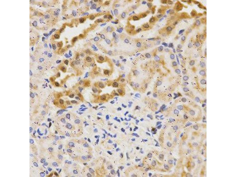
ATG5 抗体 (AA 1-275)

There are 6+ publications for this product available. The 兔 多克隆 anti-ATG5 antibody is suitable to detect ATG5 in samples from 人. It has been validated for WB, IHC 和 IF.
产品编号 ABIN3020674
发货至: 中国
Contact our Customer Service for availability and price in your country. Contact Info

Our Local Distributor

中国
北京 101111
No. 88 KeChuang 6th Street
Beijing Economic Technological Development Area
Room 801-803
4A Biotech Co.,Ltd.
Tel +86 (0512) 65829739 传真 +86 (010) 6788 5057

Quick Overview for ATG5 抗体 (AA 1-275) (ABIN3020674)

抗原

See all ATG5 抗体
ATG5 (ATG5 Autophagy Related 5 (ATG5))

适用

  • 140
  • 70
  • 56
  • 8
  • 6
  • 6
  • 5
  • 5
  • 4
  • 4
  • 4
  • 3
  • 3
  • 2
  • 2

宿主

  • 97
  • 46
  • 4
  • 1

克隆类型

  • 85
  • 63
多克隆

标记

  • 76
  • 7
  • 7
  • 5
  • 4
  • 4
  • 3
  • 3
  • 3
  • 3
  • 3
  • 3
  • 2
  • 2
  • 2
  • 2
  • 2
  • 2
  • 2
  • 1
  • 1
  • 1
  • 1
  • 1
  • 1
  • 1
  • 1
  • 1
  • 1
  • 1
  • 1
  • 1
This ATG5 antibody is un-conjugated

应用范围

  • 105
  • 65
  • 48
  • 26
  • 20
  • 19
  • 18
  • 17
  • 16
  • 14
  • 13
  • 5
  • 3
  • 3
  • 3
  • 2
  • 2
  • 1
Western Blotting (WB), Immunohistochemistry (IHC), Immunofluorescence (IF)
  • 抗原表位

    • 25
    • 16
    • 9
    • 5
    • 5
    • 4
    • 4
    • 3
    • 3
    • 3
    • 2
    • 2
    • 2
    • 2
    • 2
    • 2
    • 2
    • 2
    • 1
    • 1
    • 1
    • 1
    • 1
    • 1
    • 1
    AA 1-275

    序列

    MTDDKDVLRD VWFGRIPTCF TLYQDEITER EAEPYYLLLP RVSYLTLVTD KVKKHFQKVM RQEDISEIWF EYEGTPLKWH YPIGLLFDLL ASSSALPWNI TVHFKSFPEK DLLHCPSKDA IEAHFMSCMK EADALKHKSQ VINEMQKKDH KQLWMGLQND RFDQFWAINR KLMEYPAEEN GFRYIPFRIY QTTTERPFIQ KLFRPVAADG QLHTLGDLLK EVCPSAIDPE DGEKKNQVMI HGIEPMLETP LQWLSEHLSY PDNFLHISII PQPTD

    交叉反应

    人, 小鼠, 大鼠

    产品特性

    Polyclonal Antibodies

    纯化方法

    Affinity purification

    免疫原

    Recombinant fusion protein containing a sequence corresponding to amino acids 1-275 of human ATG5 (NP_004840.1).

    亚型

    IgG
  • 应用备注

    WB,1:500 - 1:2000,IHC,1:50 - 1:200,IF,1:50 - 1:200

    限制

    仅限研究用
  • 状态

    Liquid

    缓冲液

    PBS with 0.02 % sodium azide,50 % glycerol, pH 7.3.

    储存液

    Sodium azide

    注意事项

    This product contains Sodium azide: a POISONOUS AND HAZARDOUS SUBSTANCE which should be handled by trained staff only.

    注意事项

    Avoid freeze / thaw cycles

    储存条件

    -20 °C

    储存方法

    Store at -20°C. Avoid freeze / thaw cycles.
  • Chen, Wu, Sang, Wang, Zong, Sun, Liu, Zhao: "The lncRNA HULC functions as an oncogene by targeting ATG7 and ITGB1 in epithelial ovarian carcinoma." in: Cell death & disease, Vol. 8, Issue 10, pp. e3118, (2018) (PubMed).

    Li, Zhao, Wang, Shao, Wang, Wang, Xing: "Regulation of autophagy factors by oxidative stress and cardiac enzymes imbalance during arsenic or/and copper induced cardiotoxicity in Gallus gallus." in: Ecotoxicology and environmental safety, Vol. 148, pp. 125-134, (2018) (PubMed).

    Sun, Li, Zhao, Wang, Liu, Shao, Xue, Xing: "Synergistic effect of copper and arsenic upon oxidative stress, inflammation and autophagy alterations in brain tissues of Gallus gallus." in: Journal of inorganic biochemistry, Vol. 178, pp. 54-62, (2018) (PubMed).

    Shao, Zhao, Wang, Liu, Zong, Xing: "Copper-Mediated Mitochondrial Fission/Fusion Is Associated with Intrinsic Apoptosis and Autophagy in the Testis Tissues of Chicken." in: Biological trace element research, (2018) (PubMed).

    Shao, Zhao, Wang, Liu, Li, Luo, Xing: "The apoptosis in arsenic-induced oxidative stress is associated with autophagy in the testis tissues of chicken." in: Poultry science, Vol. 97, Issue 9, pp. 3248-3257, (2018) (PubMed).

    Gou, Zhao, Fan, Yuan, Liao, He, Xu, Chen: "Autophagy induces apoptosis and death of T lymphocytes in the spleen of pigs infected with CSFV." in: Scientific reports, Vol. 7, Issue 1, pp. 13577, (2017) (PubMed).

  • 抗原

    ATG5 (ATG5 Autophagy Related 5 (ATG5))

    别名

    ATG5

    背景

    The protein encoded by this gene, in combination with autophagy protein 12, functions as an E1-like activating enzyme in a ubiquitin-like conjugating system. The encoded protein is involved in several cellular processes, including autophagic vesicle formation, mitochondrial quality control after oxidative damage, negative regulation of the innate antiviral immune response, lymphocyte development and proliferation, MHC II antigen presentation, adipocyte differentiation, and apoptosis. Several transcript variants encoding different protein isoforms have been found for this gene.,ATG5,APG5,APG5-LIKE,APG5L,ASP,hAPG5,Cancer,Signal Transduction,Cell Biology & Developmental Biology,Apoptosis,Autophagy,Ubiquitin,Endocrine & Metabolism,Mitochondrial metabolism,Immunology & Inflammation,Cardiovascular,Heart,ATGs,ATG5

    分子量

    22 kDa/32 kDa

    基因ID

    9474

    UniProt

    Q9H1Y0

    途径

    Activation of Innate immune Response, Production of Molecular Mediator of Immune Response, Autophagy
You are here: