电话:
+86 (0512) 65829739
传真:
+86 (010) 6788 5057
电子邮件:
orders@antibodies-online.cn

ATG4D 抗体 (Internal Region)

This 山羊 多克隆 antibody specifically detects ATG4D in ELISA 和 IHC. It exhibits reactivity toward 人.
产品编号 ABIN570736
发货至: 中国
Contact our Customer Service for availability and price in your country. Contact Info

Our Local Distributor

中国
北京 101111
No. 88 KeChuang 6th Street
Beijing Economic Technological Development Area
Room 801-803
4A Biotech Co.,Ltd.
Tel +86 (0512) 65829739 传真 +86 (010) 6788 5057

Quick Overview for ATG4D 抗体 (Internal Region) (ABIN570736)

抗原

See all ATG4D 抗体
ATG4D (Autophagy related 4D Cysteine Peptidase (ATG4D))

适用

  • 46
  • 43
  • 3
  • 2
  • 2
  • 2
  • 1
  • 1
  • 1

宿主

  • 67
  • 10
山羊

克隆类型

  • 67
  • 10
多克隆

标记

  • 29
  • 6
  • 5
  • 5
  • 2
  • 2
  • 2
  • 2
  • 2
  • 2
  • 2
  • 2
  • 2
  • 2
  • 2
  • 2
  • 2
  • 1
  • 1
  • 1
  • 1
  • 1
  • 1
This ATG4D antibody is un-conjugated

应用范围

  • 65
  • 27
  • 26
  • 26
  • 16
  • 10
  • 6
  • 6
  • 6
  • 2
  • 1
  • 1
ELISA, Immunohistochemistry (IHC)

质量等级

Verified
  • 抗原表位

    • 15
    • 15
    • 7
    • 7
    • 4
    • 3
    • 2
    • 2
    • 2
    • 2
    • 1
    • 1
    • 1
    • 1
    • 1
    • 1
    • 1
    • 1
    • 1
    Internal Region

    原理

    ATG4D

    序列

    CSQLAQPTLR LPRT

    交叉反应

    犬, 人, 小鼠, Pig, 大鼠

    纯化方法

    Purified from goat serum by ammonium sulphate precipitation followed by antigen affinity chromatography using the immunizing peptide.

    免疫原

    Peptide with sequence CSQLAQPTLRLPRT, from the internal region (near C terminus) of the protein sequence according to NP_116274.3.

    亚型

    IgG
  • 应用备注

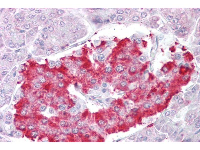
    Immunohistochemistry: Paraffin embedded Human Pancreas. Recommended concentration: 2.5 μg/mL.

    Western Blot: Preliminary experiments gave an approx. 26 kDa band in Human Skeletal Muscle lysates after 1 μg/mL antibody staining. Please note that currently we cannot find an explanation in the literature for the band we observe given the calculated size

    Peptide ELISA: antibody detection limit dilution 1:32000.

    限制

    仅限研究用
  • 状态

    Liquid

    浓度

    0.5 mg/mL

    缓冲液

    Supplied at 0.5 mg/mL in Tris saline, 0.02 % sodium azide, pH 7.3 with 0.5 % bovine serum albumin.

    储存液

    Sodium azide

    注意事项

    This product contains Sodium azide: a POISONOUS AND HAZARDOUS SUBSTANCE which should be handled by trained staff only.

    注意事项

    Minimize freezing and thawing.

    储存条件

    -20 °C

    储存方法

    Aliquot and store at -20°C, with minimal freeze/thawing. A working aliquot may be refrigerated at 4°C for a few weeks and still remain viable.
  • 抗原

    ATG4D (Autophagy related 4D Cysteine Peptidase (ATG4D))

    别名

    ATG4D

    背景

    ATG4D, ATG4 autophagy related 4 homolog D (S. cerevisiae), APG4-D, APG4D, AUTL4, APG4 autophagy 4 homolog D, AUT-like 4, cysteine endopeptidase, autophagin-4, autophagy-related cysteine endopeptidase 4, cysteine protease involved in autophagy

    基因ID

    84971, 235040, 686505

    NCBI登录号

    NP_116274

    途径

    Autophagy
You are here: