电话:
+86 (0512) 65829739
传真:
+86 (010) 6788 5057
电子邮件:
orders@antibodies-online.cn

Cytochrome C 抗体 (AA 2-105)

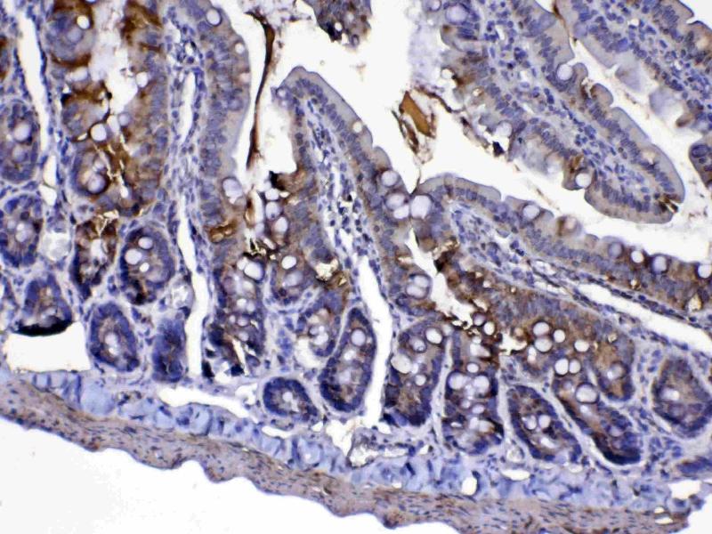
Cited in 11+ publications. The 兔 多克隆 anti-Cytochrome C antibody (ABIN5518904) specifically detects Cytochrome C in WB 和 IHC. The antibody is reactive with 人, 大鼠 和 小鼠 samples.
产品编号 ABIN5518904
发货至: 中国
Contact our Customer Service for availability and price in your country. Contact Info

Our Local Distributor

中国
北京 101111
No. 88 KeChuang 6th Street
Beijing Economic Technological Development Area
Room 801-803
4A Biotech Co.,Ltd.
Tel +86 (0512) 65829739 传真 +86 (010) 6788 5057

Quick Overview for Cytochrome C 抗体 (AA 2-105) (ABIN5518904)

抗原

See all Cytochrome C (CYCS) 抗体
Cytochrome C (CYCS) (Cytochrome C, Somatic (CYCS))

适用

  • 224
  • 184
  • 165
  • 61
  • 54
  • 53
  • 49
  • 47
  • 42
  • 20
  • 7
  • 7
  • 5
  • 4
  • 4
  • 1
  • 1
  • 1
  • 1
  • 1
  • 1
  • 1
  • 1
  • 1
人, 大鼠, 小鼠

宿主

  • 120
  • 120
  • 5
  • 1

克隆类型

  • 163
  • 82
  • 1
多克隆

标记

  • 117
  • 18
  • 7
  • 6
  • 6
  • 6
  • 6
  • 6
  • 6
  • 6
  • 4
  • 4
  • 4
  • 4
  • 4
  • 4
  • 3
  • 2
  • 2
  • 2
  • 2
  • 2
  • 2
  • 2
  • 2
  • 2
  • 2
  • 2
  • 2
  • 2
  • 2
  • 2
  • 2
  • 1
  • 1
  • 1
This Cytochrome C antibody is un-conjugated

应用范围

  • 191
  • 104
  • 89
  • 75
  • 39
  • 38
  • 36
  • 28
  • 27
  • 25
  • 14
  • 12
  • 12
  • 4
  • 3
  • 3
  • 3
  • 2
  • 2
  • 2
  • 1
  • 1
  • 1
  • 1
  • 1
  • 1
  • 1
Western Blotting (WB), Immunohistochemistry (IHC)
  • 抗原表位

    • 41
    • 16
    • 7
    • 6
    • 6
    • 5
    • 4
    • 4
    • 3
    • 2
    • 2
    • 2
    • 2
    • 1
    • 1
    • 1
    • 1
    • 1
    • 1
    • 1
    • 1
    AA 2-105

    原理

    Anti-Cytochrome C/Cycs Antibody

    交叉反应 (详细)

    No cross-reactivity with other proteins.

    产品特性

    Anti-Cytochrome C/Cycs Antibody (ABIN5518904). Tested in IHC, WB applications. This antibody reacts with Human, Mouse, Rat. This is a premium antibody that guarantees superior quality, high affinity, and strong signals with minimal background in Western blot applications.

    纯化方法

    Immunogen affinity purified.

    免疫原

    E. coli-derived mouse Cytochrome C recombinant protein (Position: G2-E105). Mouse Cytochrome C shares 91.3% and 100% amino acid (aa) sequence identity with human and rat Cytochrome C, respectively.

    亚型

    IgG
  • 应用备注

    Immunohistochemistry (Paraffin-embedded Section), 0.5-1 μg/mL, Mouse, Rat
    Western blot, 0.1-0.5 μg/mL, Human, Mouse, Rat

    说明

    We recommend Enhanced Chemiluminescent Kit with anti-Rabbit IgG (ABIN921124) for Western blot, and HRP Conjugated anti-Rabbit IgG Super Vision Assay Kit (SV0002-1) for IHC(P).

    限制

    仅限研究用
  • 状态

    Lyophilized

    溶解方式

    Add 0.2 mL of distilled water will yield a concentration of 500 μg/mL.

    浓度

    500 μg/mL

    缓冲液

    Each vial contains 4 mg Trehalose, 0.9 mg NaCl, 0.2 mg Na2HPO4, 0.05 mg Sodium azide.

    储存液

    Sodium azide

    注意事项

    This product contains Sodium azide: a POISONOUS AND HAZARDOUS SUBSTANCE which should be handled by trained staff only.

    储存条件

    4 °C,-20 °C

    储存方法

    Store at -20°C for one year from date of receipt. After reconstitution, at 4°C for one month.
    It can also be aliquotted and stored frozen at -20°C for six months. Avoid repeated freeze-thaw cycles.
  • Bai, Yang, Luo: "Effects of 5-hydroxy-4'-nitro-7-propionyloxy-genistein on inhibiting proliferation and invasion via activating reactive oxygen species in human ovarian cancer A2780/DDP cells." in: Oncology letters, Vol. 15, Issue 4, pp. 5227-5235, (2018) (PubMed).

    Jiao, Ma, Wang, Li, Shan, Sun, Chen: "Methacryloxylethyl Cetyl Ammonium Chloride Induces DNA Damage and Apoptosis in Human Dental Pulp Cells via Generation of Oxidative Stress." in: International journal of biological sciences, Vol. 12, Issue 5, pp. 580-93, (2017) (PubMed).

    Hu, Sun, Zhang, Zhang, Hu: "Catalpol inhibits apoptosis in hydrogen peroxide-induced cardiac myocytes through a mitochondrial-dependent caspase pathway." in: Bioscience reports, Vol. 36, Issue 3, (2017) (PubMed).

    You, Li, Jin, Zheng, Chen, Yang: "Genistein protects against Aβ25-35 induced apoptosis of PC12 cells through JNK signaling and modulation of Bcl-2 family messengers." in: BMC neuroscience, Vol. 18, Issue 1, pp. 12, (2017) (PubMed).

    Gan, Liu, Cao, Zhang, Sun: "FABP4 reversed the regulation of leptin on mitochondrial fatty acid oxidation in mice adipocytes." in: Scientific reports, Vol. 5, pp. 13588, (2016) (PubMed).

    Han, Liu, Li, Tian, Han, Wang, Fu, Guo, Zhu, Du, Tian: "HOXB1 Is a Tumor Suppressor Gene Regulated by miR-3175 in Glioma." in: PLoS ONE, Vol. 10, Issue 11, pp. e0142387, (2016) (PubMed).

    Jiao, Ma, Wang, Li, Shan, Liu, Liu, Song, Yu, Yu, Liu, Huang, Chen: "N-Acetyl Cysteine Depletes Reactive Oxygen Species and Prevents Dental Monomer-Induced Intrinsic Mitochondrial Apoptosis In Vitro in Human Dental Pulp Cells." in: PLoS ONE, Vol. 11, Issue 1, pp. e0147858, (2016) (PubMed).

    Ji, Geng, Zhou, Wei, Chen: "Chinese herbal medicine Yougui Pill reduces exogenous glucocorticoid-induced apoptosis in anterior pituitary cells." in: Neural regeneration research, Vol. 11, Issue 12, pp. 1962-1968, (2016) (PubMed).

    Xu, Liu, Zhang, Wang, Wang, Yang, Huo, Sun: "Apoptosis-related protein expression in rabbits with blast brain injury following early hyperbaric oxygen therapy." in: Neural regeneration research, Vol. 7, Issue 17, pp. 1318-24, (2015) (PubMed).

    Mo, Chen, Huang, Zhang, Li, Zhou: "Neuroprotective effect of tea polyphenols on oxyhemoglobin induced subarachnoid hemorrhage in mice." in: Oxidative medicine and cellular longevity, Vol. 2013, pp. 743938, (2014) (PubMed).

    Song, Yue, Li, Li, Zhao, Zhang: "Study of the mechanism of sonodynamic therapy in a rat glioma model." in: OncoTargets and therapy, Vol. 7, pp. 1801-10, (2014) (PubMed).

  • 抗原

    Cytochrome C (CYCS) (Cytochrome C, Somatic (CYCS))

    别名

    Cycs

    背景

    Synonyms: Cytochrome c, somatic,Cycs,

    Tissue Specificity: Found in embryos and in adult liver and heart.

    Background: CYCS is also known as CYC, HCS or THC4. This gene encodes a small heme protein that functions as a central component of the electron transport chain in mitochondria. The encoded protein associates with the inner membrane of the mitochondrion where it accepts electrons from cytochrome b and transfers them to the cytochrome oxidase complex. This protein is also involved in initiation of apoptosis. Mutations in this gene are associated with autosomal dominant nonsyndromic thrombocytopenia. Numerous processed pseudogenes of this gene are found throughout the human genome.

    分子量

    14 kDa

    基因ID

    13063

    UniProt

    P62897

    途径

    Apoptosis, Caspase Cascade in Apoptosis, Positive Regulation of Endopeptidase Activity
You are here: