电话:
+86 (0512) 65829739
传真:
+86 (010) 6788 5057
电子邮件:
orders@antibodies-online.cn

Cytochrome C 抗体

This 小鼠 单克隆 antibody specifically detects Cytochrome C in WB, IF 和 IHC (p). It exhibits reactivity toward 人, 大鼠, 小鼠 和 小鸡.
产品编号 ABIN7203098
发货至: 中国
Contact our Customer Service for availability and price in your country. Contact Info

Our Local Distributor

中国
北京 101111
No. 88 KeChuang 6th Street
Beijing Economic Technological Development Area
Room 801-803
4A Biotech Co.,Ltd.
Tel +86 (0512) 65829739 传真 +86 (010) 6788 5057

Quick Overview for Cytochrome C 抗体 (ABIN7203098)

抗原

See all Cytochrome C (CYCS) 抗体
Cytochrome C (CYCS) (Cytochrome C, Somatic (CYCS))

适用

  • 223
  • 183
  • 164
  • 61
  • 54
  • 53
  • 49
  • 47
  • 42
  • 19
  • 7
  • 7
  • 5
  • 4
  • 4
  • 1
  • 1
  • 1
  • 1
  • 1
  • 1
  • 1
  • 1
  • 1
人, 大鼠, 小鼠, 小鸡

宿主

  • 120
  • 119
  • 5
  • 1
小鼠

克隆类型

  • 162
  • 82
  • 1
单克隆

标记

  • 116
  • 18
  • 7
  • 6
  • 6
  • 6
  • 6
  • 6
  • 6
  • 6
  • 4
  • 4
  • 4
  • 4
  • 4
  • 4
  • 3
  • 2
  • 2
  • 2
  • 2
  • 2
  • 2
  • 2
  • 2
  • 2
  • 2
  • 2
  • 2
  • 2
  • 2
  • 2
  • 2
  • 1
  • 1
  • 1
This Cytochrome C antibody is un-conjugated

应用范围

  • 190
  • 104
  • 89
  • 74
  • 39
  • 38
  • 36
  • 28
  • 27
  • 24
  • 14
  • 12
  • 12
  • 4
  • 3
  • 3
  • 3
  • 2
  • 2
  • 2
  • 1
  • 1
  • 1
  • 1
  • 1
  • 1
  • 1
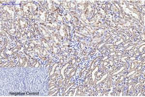
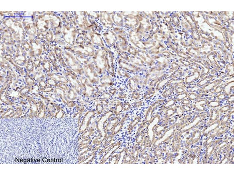
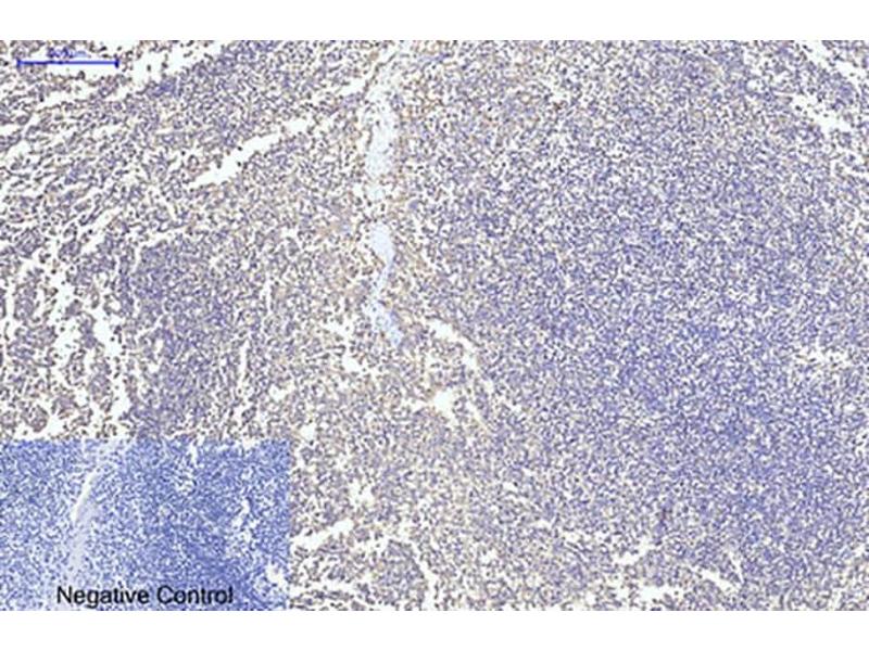
Western Blotting (WB), Immunofluorescence (IF), Immunohistochemistry (Paraffin-embedded Sections) (IHC (p))
  • 原理

    CYCS Monoclonal Antibody

    特异性

    The antibody detects endogenous CYCS protein.

    纯化方法

    The antibody was affinity-purified from mouse ascites by affinity-chromatography using epitope-specific immunogen

    免疫原

    Recombinant Protein

    亚型

    IgG1
  • 应用备注

    Optimal working dilutions should be determined experimentally by the investigator. Suggested starting dilutions are as follows: WB (1:1000-1:5000), IF (1:100-1:200), IHC-P (1:500-1:1000).

    限制

    仅限研究用
  • 状态

    Liquid

    浓度

    1 mg/mL

    缓冲液

    PBS, pH 7.4, containing 0.02 % Sodium Azide as preservative and 50 % Glycerol.

    储存液

    Sodium azide

    注意事项

    This product contains Sodium azide: a POISONOUS AND HAZARDOUS SUBSTANCE which should be handled by trained staff only.

    储存条件

    -20 °C

    储存方法

    Stable for one year at -20°C from date of shipment. For maximum recovery of product, centrifuge the original vial after thawing and prior to removing the cap. Aliquot to avoid repeated freezing and thawing.
  • 抗原

    Cytochrome C (CYCS) (Cytochrome C, Somatic (CYCS))

    别名

    CYCS

    背景

    Mouse Anti-CYCS Monoclonal Antibody,CYCS (cytochrome c, somatic) encodes a small heme protein that functions as a central component of the electron transport chain in mitochondria. The encoded protein associates with the inner membrane of the mitochondrion where it accepts electrons from cytochrome b and transfers them to the cytochrome oxidase complex. This protein is also involved in initiation of apoptosis. Mutations in CYCS are associated with autosomal dominant nonsyndromic thrombocytopenia. Numerous processed pseudogenes of CYCS are found throughout the human genome.,Cytochrome c

    基因ID

    54205

    UniProt

    P99999

    途径

    Apoptosis, Caspase Cascade in Apoptosis, Positive Regulation of Endopeptidase Activity
You are here: