电话:
+86 (0512) 65829739
传真:
+86 (010) 6788 5057
电子邮件:
orders@antibodies-online.cn

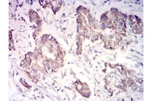
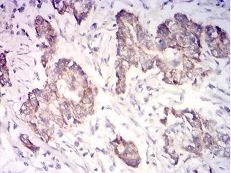
Cytochrome C 抗体 (AA 1-105)

The 小鼠 单克隆 anti-Cytochrome C antibody (Clone 5E6B11) (ABIN7193451) specifically detects Cytochrome C in WB, IHC, FACS 和 ELISA. The antibody is reactive with 人 和 小鼠 samples.
产品编号 ABIN7193451
发货至: 中国
Contact our Customer Service for availability and price in your country. Contact Info

Our Local Distributor

中国
北京 101111
No. 88 KeChuang 6th Street
Beijing Economic Technological Development Area
Room 801-803
4A Biotech Co.,Ltd.
Tel +86 (0512) 65829739 传真 +86 (010) 6788 5057

Quick Overview for Cytochrome C 抗体 (AA 1-105) (ABIN7193451)

抗原

See all Cytochrome C (CYCS) 抗体
Cytochrome C (CYCS) (Cytochrome C, Somatic (CYCS))

适用

  • 227
  • 190
  • 168
  • 64
  • 59
  • 53
  • 52
  • 50
  • 44
  • 20
  • 7
  • 7
  • 5
  • 4
  • 4
  • 1
  • 1
  • 1
  • 1
  • 1
  • 1
  • 1
  • 1
  • 1
人, 小鼠

宿主

  • 120
  • 119
  • 6
  • 1
小鼠

克隆类型

  • 163
  • 82
  • 1
单克隆

标记

  • 117
  • 18
  • 7
  • 6
  • 6
  • 6
  • 6
  • 6
  • 6
  • 6
  • 4
  • 4
  • 4
  • 4
  • 4
  • 4
  • 3
  • 2
  • 2
  • 2
  • 2
  • 2
  • 2
  • 2
  • 2
  • 2
  • 2
  • 2
  • 2
  • 2
  • 2
  • 2
  • 2
  • 1
  • 1
  • 1
This Cytochrome C antibody is un-conjugated

应用范围

  • 192
  • 111
  • 87
  • 74
  • 40
  • 39
  • 35
  • 28
  • 27
  • 23
  • 14
  • 11
  • 8
  • 4
  • 3
  • 3
  • 2
  • 2
  • 2
  • 2
  • 1
  • 1
  • 1
  • 1
  • 1
  • 1
  • 1
Western Blotting (WB), Immunohistochemistry (IHC), Flow Cytometry (FACS), ELISA

克隆位点

5E6B11
  • 抗原表位

    • 41
    • 16
    • 7
    • 6
    • 6
    • 5
    • 4
    • 3
    • 3
    • 2
    • 2
    • 2
    • 2
    • 2
    • 1
    • 1
    • 1
    • 1
    • 1
    • 1
    • 1
    • 1
    AA 1-105

    原理

    CYCS Antibody

    纯化方法

    Purified antibody

    免疫原

    Purified recombinant fragment of human CYCS (AA: 1-105) expressed in E. Coli.

    亚型

    IgG1
  • 应用备注

    ELISA: 1/10000

    FCM: 1/200 - 1/400

    限制

    仅限研究用
  • 状态

    Liquid

    缓冲液

    Purified antibody in PBS with 0.05 % sodium azide.

    储存液

    Sodium azide

    注意事项

    This product contains Sodium azide: a POISONOUS AND HAZARDOUS SUBSTANCE which should be handled by trained staff only.

    储存条件

    4 °C,-20 °C

    储存方法

    Store at 4°C short term. Aliquot and store at -20°C long term. Avoid freeze/thaw cycles.
  • 抗原

    Cytochrome C (CYCS) (Cytochrome C, Somatic (CYCS))

    别名

    CYCS

    背景

    This gene encodes a small heme protein that functions as a central component of the electron transport chain in mitochondria. The encoded protein associates with the inner membrane of the mitochondrion where it accepts electrons from cytochrome b and transfers them to the cytochrome oxidase complex. This protein is also involved in initiation of apoptosis. Mutations in this gene are associated with autosomal dominant nonsyndromic thrombocytopenia. Numerous processed pseudogenes of this gene are found throughout the human genome.

    分子量

    11.7 kDa

    UniProt

    P99999

    途径

    Apoptosis, Caspase Cascade in Apoptosis, Positive Regulation of Endopeptidase Activity
You are here: