电话:
+86 (0512) 65829739
传真:
+86 (010) 6788 5057
电子邮件:
orders@antibodies-online.cn

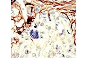
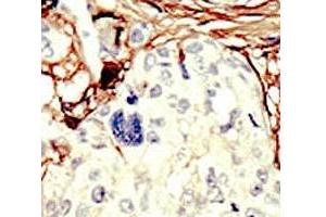
LKB1 抗体 (AA 387-417)

The 兔 多克隆 anti-LKB1 antibody is suitable to detect LKB1 in samples from 人. It has been validated for ELISA 和 IHC.
产品编号 ABIN3029003
发货至: 中国
Contact our Customer Service for availability and price in your country. Contact Info

Our Local Distributor

中国
北京 101111
No. 88 KeChuang 6th Street
Beijing Economic Technological Development Area
Room 801-803
4A Biotech Co.,Ltd.
Tel +86 (0512) 65829739 传真 +86 (010) 6788 5057

Quick Overview for LKB1 抗体 (AA 387-417) (ABIN3029003)

抗原

See all LKB1 (STK11) 抗体
LKB1 (STK11) (serine/threonine Kinase 11 (STK11))

适用

  • 157
  • 99
  • 68
  • 16
  • 15
  • 7
  • 7
  • 6
  • 4
  • 3
  • 3
  • 3
  • 2
  • 1
  • 1
  • 1

宿主

  • 158
  • 10

克隆类型

  • 160
  • 8
多克隆

标记

  • 75
  • 8
  • 8
  • 8
  • 5
  • 5
  • 5
  • 5
  • 5
  • 5
  • 5
  • 5
  • 5
  • 5
  • 5
  • 3
  • 3
  • 2
  • 1
  • 1
  • 1
  • 1
  • 1
  • 1
This LKB1 antibody is un-conjugated

应用范围

  • 133
  • 65
  • 65
  • 64
  • 34
  • 27
  • 22
  • 15
  • 8
  • 6
  • 6
  • 2
  • 2
  • 1
  • 1
ELISA, Immunohistochemistry (IHC)
  • 抗原表位

    • 21
    • 20
    • 18
    • 15
    • 15
    • 14
    • 8
    • 7
    • 7
    • 7
    • 2
    • 2
    • 2
    • 2
    • 2
    • 2
    • 1
    • 1
    • 1
    • 1
    • 1
    • 1
    • 1
    • 1
    • 1
    • 1
    • 1
    • 1
    • 1
    • 1
    • 1
    • 1
    • 1
    • 1
    • 1
    • 1
    • 1
    • 1
    AA 387-417

    纯化方法

    Purified

    免疫原

    A portion of amino acids 387-417 from the human protein was used as the immunogen for this STK11 antibody.

    亚型

    Ig Fraction
  • 应用备注

    Titration of the STK11 antibody may be required due to differences in protocols and secondary/substrate sensitivity.\. IHC (Paraffin): 1:50-1:100

    限制

    仅限研究用
  • 状态

    Liquid

    缓冲液

    In 1X PBS, pH 7.4, with 0.09 % sodium azide

    储存液

    Sodium azide

    注意事项

    This product contains Sodium azide: a POISONOUS AND HAZARDOUS SUBSTANCE which should be handled by trained staff only.

    储存条件

    -20 °C

    储存方法

    Aliquot the STK11 antibody and store frozen at -20°C or colder. Avoid repeated freeze-thaw cycles.
  • 抗原

    LKB1 (STK11) (serine/threonine Kinase 11 (STK11))

    别名

    STK11 (LKB1)

    背景

    STK11, is a member of the serine/threonine kinase family, regulates cell polarity and functions as a tumor suppressor. Mutations in STK11 have been associated with Peutz-Jeghers syndrome, an autosomal dominant disorder characterized by the growth of polyps in the gastrointestinal tract, pigmented macules on the skin and mouth, and other neoplasms.

    UniProt

    Q15831

    途径

    AMPK Signaling, Carbohydrate Homeostasis, Regulation of Carbohydrate Metabolic Process, Warburg Effect
You are here: