电话:
+86 (0512) 65829739
传真:
+86 (010) 6788 5057
电子邮件:
orders@antibodies-online.cn

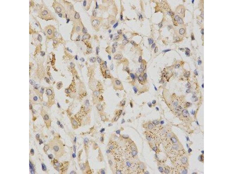
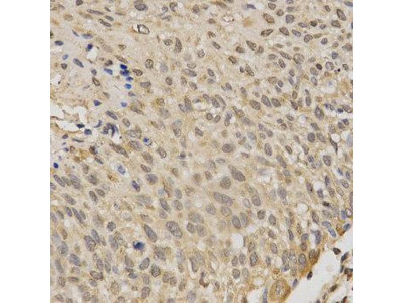
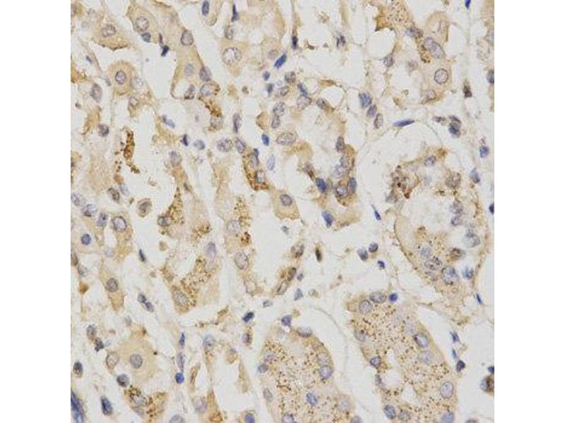
LKB1 抗体 (AA 134-433)

This 兔 多克隆 antibody specifically detects LKB1 in WB, IHC 和 IF. It exhibits reactivity toward 人. It has been mentioned in 3+ publications
产品编号 ABIN3022973
发货至: 中国
Contact our Customer Service for availability and price in your country. Contact Info

Our Local Distributor

中国
北京 101111
No. 88 KeChuang 6th Street
Beijing Economic Technological Development Area
Room 801-803
4A Biotech Co.,Ltd.
Tel +86 (0512) 65829739 传真 +86 (010) 6788 5057

Quick Overview for LKB1 抗体 (AA 134-433) (ABIN3022973)

抗原

See all LKB1 (STK11) 抗体
LKB1 (STK11) (serine/threonine Kinase 11 (STK11))

适用

  • 157
  • 99
  • 68
  • 16
  • 15
  • 7
  • 7
  • 6
  • 4
  • 3
  • 3
  • 3
  • 3
  • 1
  • 1
  • 1

宿主

  • 158
  • 10

克隆类型

  • 160
  • 8
多克隆

标记

  • 75
  • 8
  • 8
  • 8
  • 5
  • 5
  • 5
  • 5
  • 5
  • 5
  • 5
  • 5
  • 5
  • 5
  • 5
  • 3
  • 3
  • 2
  • 1
  • 1
  • 1
  • 1
  • 1
  • 1
This LKB1 antibody is un-conjugated

应用范围

  • 132
  • 65
  • 65
  • 65
  • 37
  • 24
  • 22
  • 15
  • 8
  • 6
  • 6
  • 2
  • 2
  • 1
  • 1
Western Blotting (WB), Immunohistochemistry (IHC), Immunofluorescence (IF)
  • 抗原表位

    • 21
    • 20
    • 18
    • 15
    • 15
    • 14
    • 8
    • 7
    • 7
    • 7
    • 2
    • 2
    • 2
    • 2
    • 2
    • 2
    • 2
    • 1
    • 1
    • 1
    • 1
    • 1
    • 1
    • 1
    • 1
    • 1
    • 1
    • 1
    • 1
    • 1
    • 1
    • 1
    • 1
    • 1
    • 1
    • 1
    • 1
    AA 134-433

    序列

    CGMQEMLDSV PEKRFPVCQA HGYFCQLIDG LEYLHSQGIV HKDIKPGNLL LTTGGTLKIS DLGVAEALHP FAADDTCRTS QGSPAFQPPE IANGLDTFSG FKVDIWSAGV TLYNITTGLY PFEGDNIYKL FENIGKGSYA IPGDCGPPLS DLLKGMLEYE PAKRFSIRQI RQHSWFRKKH PPAEAPVPIP PSPDTKDRWR SMTVVPYLED LHGADEDEDL FDIEDDIIYT QDFTVPGQVP EEEASHNGQR RGLPKAVCMN GTEAAQLSTK SRAEGRAPNP ARKACSASSK IRRLSACKQQ

    交叉反应

    人, 小鼠, 大鼠

    产品特性

    Polyclonal Antibodies

    纯化方法

    Affinity purification

    免疫原

    Recombinant fusion protein containing a sequence corresponding to amino acids 134-433 of human LKB1 (NP_000446.1).

    亚型

    IgG
  • 应用备注

    WB,1:500 - 1:2000,IHC,1:50 - 1:200,IF,1:50 - 1:200

    限制

    仅限研究用
  • 状态

    Liquid

    缓冲液

    PBS with 0.02 % sodium azide,50 % glycerol, pH 7.3.

    储存液

    Sodium azide

    注意事项

    This product contains Sodium azide: a POISONOUS AND HAZARDOUS SUBSTANCE which should be handled by trained staff only.

    注意事项

    Avoid freeze / thaw cycles

    储存条件

    -20 °C

    储存方法

    Store at -20°C. Avoid freeze / thaw cycles.
  • Zhang, Geng, Liu, Li, Gao, Liu, Fang, Chang: "Celastrol ameliorates liver metabolic damage caused by a high-fat diet through Sirt1." in: Molecular metabolism, Vol. 6, Issue 1, pp. 138-147, (2018) (PubMed).

    Yan, Du, Li, Chen, Yan, Chen, Hu, Chang: "CO suppresses prostate cancer cell growth by directly targeting LKB1/AMPK/mTOR pathway in vitro and in vivo." in: Urologic oncology, Vol. 36, Issue 6, pp. 312.e1-312.e8, (2018) (PubMed).

    Zheng, Zhou, Zhang, Thu, Xie, Lu, Pang, Xue, Xu, Chen, Chen, Li, Xu: "Anhydroicaritin improves diet-induced obesity and hyperlipidemia and alleviates insulin resistance by suppressing SREBPs activation." in: Biochemical pharmacology, Vol. 122, pp. 42-61, (2017) (PubMed).

  • 抗原

    LKB1 (STK11) (serine/threonine Kinase 11 (STK11))

    别名

    STK11

    背景

    This gene, which encodes a member of the serine/threonine kinase family, regulates cell polarity and functions as a tumor suppressor. Mutations in this gene have been associated with Peutz-Jeghers syndrome, an autosomal dominant disorder characterized by the growth of polyps in the gastrointestinal tract, pigmented macules on the skin and mouth, and other neoplasms. Alternate transcriptional splice variants of this gene have been observed but have not been thoroughly characterized.,LKB1,PJS,hLKB1,STK11,Epigenetics & Nuclear Signaling,Translation Control,Regulation of eIF4 and p70 S6 Kinase,Cancer,Tumor suppressors,p53 pathway,Signal Transduction,Kinase,Serine/threonine kinases,PI3K-Akt Signaling Pathway,mTOR Signaling Pathway,Cell Biology & Developmental Biology,Apoptosis,Autophagy,Cell Cycle,Cell cycle inhibitors,Endocrine & Metabolism,AMPK Signaling Pathway,Insulin Receptor Signaling Pathway,Warburg Effect,Regulator of mTOR complex function,STK11

    分子量

    45 kDa/48 kDa

    基因ID

    6794

    UniProt

    Q15831

    途径

    AMPK Signaling, Carbohydrate Homeostasis, Regulation of Carbohydrate Metabolic Process, Warburg Effect
You are here: