电话:
+86 (0512) 65829739
传真:
+86 (010) 6788 5057
电子邮件:
orders@antibodies-online.cn

PAK3 抗体 (AA 124-152)

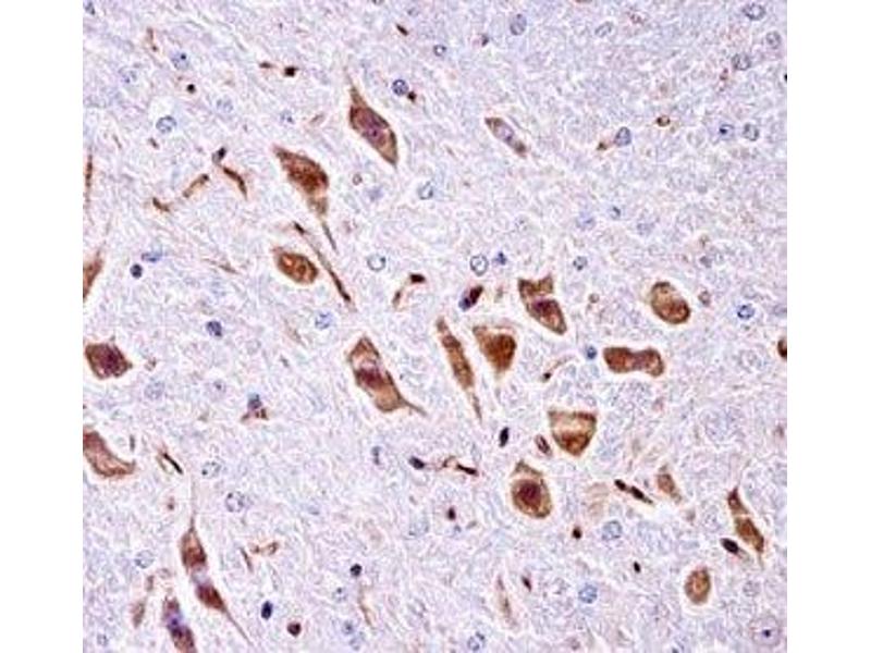
The 兔 多克隆 anti-PAK3 antibody (ABIN3028914) specifically detects PAK3 in WB, ELISA 和 IHC. The antibody is reactive with 人 和 小鼠 samples.
产品编号 ABIN3028914
发货至: 中国
Contact our Customer Service for availability and price in your country. Contact Info

Our Local Distributor

中国
北京 101111
No. 88 KeChuang 6th Street
Beijing Economic Technological Development Area
Room 801-803
4A Biotech Co.,Ltd.
Tel +86 (0512) 65829739 传真 +86 (010) 6788 5057

Quick Overview for PAK3 抗体 (AA 124-152) (ABIN3028914)

抗原

See all PAK3 抗体
PAK3

适用

  • 87
  • 41
  • 31
  • 4
人, 小鼠

宿主

  • 81
  • 6
  • 2

克隆类型

  • 70
  • 20
多克隆

标记

  • 39
  • 7
  • 5
  • 4
  • 3
  • 3
  • 3
  • 3
  • 3
  • 3
  • 2
  • 2
  • 1
  • 1
  • 1
  • 1
  • 1
  • 1
  • 1
  • 1
  • 1
  • 1
  • 1
  • 1
  • 1
This PAK3 antibody is un-conjugated

应用范围

  • 70
  • 40
  • 36
  • 13
  • 13
  • 12
  • 11
  • 9
  • 7
  • 3
  • 3
  • 1
  • 1
Western Blotting (WB), ELISA, Immunohistochemistry (IHC)
  • 抗原表位

    • 17
    • 8
    • 7
    • 6
    • 3
    • 3
    • 2
    • 2
    • 2
    • 2
    • 2
    • 2
    • 2
    • 1
    • 1
    • 1
    • 1
    • 1
    • 1
    • 1
    • 1
    AA 124-152

    交叉反应 (详细)

    Expected species reactivity: Rat, Xenopus

    纯化方法

    Antigen affinity purified

    免疫原

    A portion of amino acids 124-152 from the mouse protein was used as the immunogen for this PAK3 antibody.

    亚型

    Ig Fraction
  • 应用备注

    Titration of the PAK3 antibody may be required due to differences in protocols and secondary/substrate sensitivity.\. Western blot: 1:1000,IHC (Paraffin): 1:10-1:50

    限制

    仅限研究用
  • 状态

    Liquid

    缓冲液

    In 1X PBS, pH 7.4, with 0.09 % sodium azide

    储存液

    Sodium azide

    注意事项

    This product contains Sodium azide: a POISONOUS AND HAZARDOUS SUBSTANCE which should be handled by trained staff only.

    储存条件

    -20 °C

    储存方法

    Aliquot the PAK3 antibody and store frozen at -20°C or colder. Avoid repeated freeze-thaw cycles.
  • 抗原

    PAK3

    别名

    PAK3

    背景

    Key regulator of synapse formation and plasticity in the hippocampus.

    UniProt

    Q61036
You are here: