电话:
+86 (0512) 65829739
传真:
+86 (010) 6788 5057
电子邮件:
orders@antibodies-online.cn

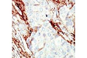
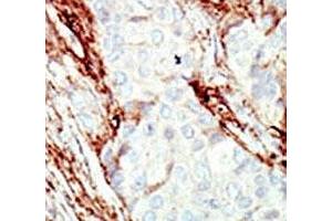
FGFR1 抗体 (AA 19-48)

The 兔 多克隆 anti-FGFR1 antibody (ABIN3030945) specifically detects FGFR1 in WB, ELISA, IHC, IF 和 FACS. The antibody is reactive with 人 和 小鼠 samples.
产品编号 ABIN3030945
发货至: 中国
Contact our Customer Service for availability and price in your country. Contact Info

Our Local Distributor

中国
北京 101111
No. 88 KeChuang 6th Street
Beijing Economic Technological Development Area
Room 801-803
4A Biotech Co.,Ltd.
Tel +86 (0512) 65829739 传真 +86 (010) 6788 5057

Quick Overview for FGFR1 抗体 (AA 19-48) (ABIN3030945)

抗原

See all FGFR1 抗体
FGFR1 (Fibroblast Growth Factor Receptor 1 (FGFR1))

适用

  • 246
  • 97
  • 94
  • 23
  • 21
  • 15
  • 7
  • 6
  • 5
  • 2
  • 2
  • 1
人, 小鼠

宿主

  • 231
  • 47
  • 1
  • 1

克隆类型

  • 210
  • 70
多克隆

标记

  • 129
  • 23
  • 19
  • 15
  • 12
  • 11
  • 5
  • 5
  • 5
  • 5
  • 5
  • 5
  • 5
  • 5
  • 5
  • 4
  • 4
  • 2
  • 2
  • 2
  • 2
  • 2
  • 2
  • 1
  • 1
  • 1
  • 1
  • 1
  • 1
This FGFR1 antibody is un-conjugated

应用范围

  • 235
  • 111
  • 63
  • 61
  • 52
  • 36
  • 34
  • 26
  • 24
  • 24
  • 14
  • 9
  • 7
  • 5
  • 2
  • 1
Western Blotting (WB), ELISA, Immunohistochemistry (IHC), Immunofluorescence (IF), Flow Cytometry (FACS)
  • 抗原表位

    • 29
    • 26
    • 19
    • 17
    • 17
    • 16
    • 12
    • 9
    • 8
    • 8
    • 8
    • 8
    • 8
    • 7
    • 5
    • 4
    • 4
    • 3
    • 3
    • 2
    • 2
    • 2
    • 2
    • 2
    • 2
    • 2
    • 2
    • 2
    • 2
    • 2
    • 2
    • 2
    • 2
    • 2
    • 1
    • 1
    • 1
    • 1
    • 1
    • 1
    • 1
    • 1
    • 1
    • 1
    • 1
    • 1
    • 1
    • 1
    • 1
    • 1
    AA 19-48

    纯化方法

    Purified

    免疫原

    A portion of amino acids 19-48 from the human protein was used as the immunogen for this FGFR1 antibody.

    亚型

    Ig Fraction
  • 应用备注

    Titration of the FGFR1 antibody may be required due to differences in protocols and secondary/substrate sensitivity.\. Flow Cytometry: 1:10-1:50,Western blot: 1:1000,IHC (Paraffin): 1:50-1:100,Immunofluorescence: 1:50-1:100

    限制

    仅限研究用
  • 状态

    Liquid

    缓冲液

    In 1X PBS, pH 7.4, with 0.09 % sodium azide

    储存液

    Sodium azide

    注意事项

    This product contains Sodium azide: a POISONOUS AND HAZARDOUS SUBSTANCE which should be handled by trained staff only.

    储存条件

    -20 °C

    储存方法

    Aliquot the FGFR1 antibody and store frozen at -20°C or colder. Avoid repeated freeze-thaw cycles.
  • 抗原

    FGFR1 (Fibroblast Growth Factor Receptor 1 (FGFR1))

    别名

    FGFR1

    背景

    FGFR family members differ from one another in their ligand affinities and tissue distribution. A full-length representative protein consists of an extracellular region, composed of three immunoglobulin-like domains, a single hydrophobic membrane-spanning segment and a cytoplasmic tyrosine kinase domain. The extracellular portion of the protein interacts with fibroblast growth factors, setting in motion a cascade of downstream signals, ultimately influencing mitogenesis and differentiation. This particular family member binds both acidic and basic fibroblast growth factors and is involved in limb induction. Mutations in this gene can lead to Pfeiffer syndrome and Jackson-Weiss syndrome. The genomic organization of the gene is very similar to family members 2-4, encompassing 19 exons that are subject to complex alternative splicing, which allows for structural, tissue expression and ligand affinity variations among the isoforms.

    UniProt

    P11362

    途径

    RTK signaling, Fc-epsilon Receptor Signaling Pathway, EGFR Signaling Pathway, Neurotrophin Signaling Pathway, Sensory Perception of Sound, Stem Cell Maintenance, S100 Proteins
You are here: