电话:
+86 (0512) 65829739
传真:
+86 (010) 6788 5057
电子邮件:
orders@antibodies-online.cn

Cytochrome C 抗体

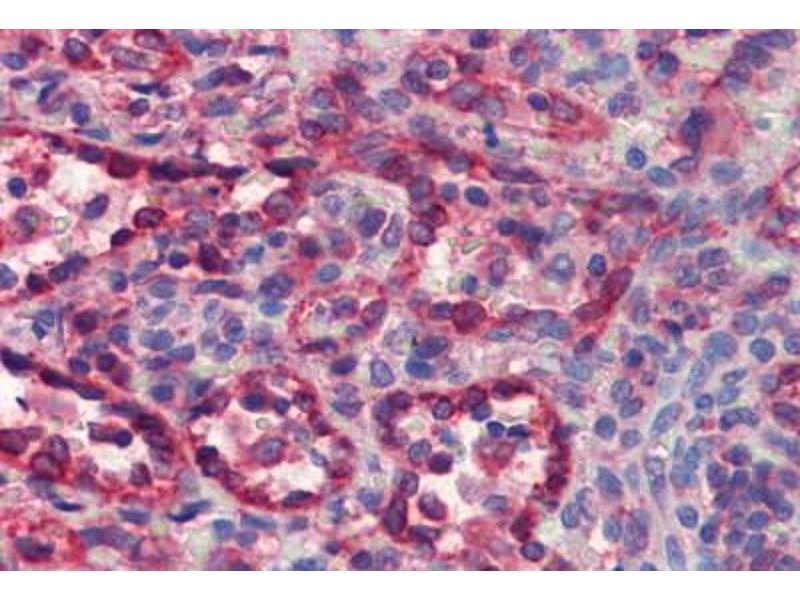
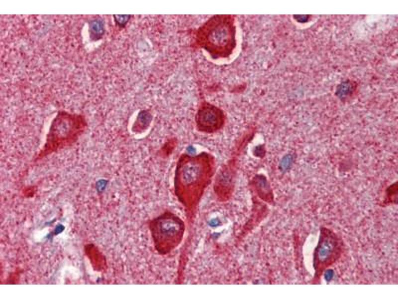
The 小鼠 单克隆 anti-Cytochrome C antibody is suitable to detect Cytochrome C in samples from 人, 大鼠, 小鼠, 马, 兔, Pig, Cow, 绵羊, 猴, Hamster 和 豚鼠. It has been validated for WB, IHC 和 IHC (p).
产品编号 ABIN462359
发货至: 中国
Contact our Customer Service for availability and price in your country. Contact Info

Our Local Distributor

中国
北京 101111
No. 88 KeChuang 6th Street
Beijing Economic Technological Development Area
Room 801-803
4A Biotech Co.,Ltd.
Tel +86 (0512) 65829739 传真 +86 (010) 6788 5057

Quick Overview for Cytochrome C 抗体 (ABIN462359)

抗原

See all Cytochrome C (CYCS) 抗体
Cytochrome C (CYCS) (Cytochrome C, Somatic (CYCS))

适用

  • 223
  • 183
  • 164
  • 60
  • 54
  • 53
  • 49
  • 47
  • 41
  • 20
  • 6
  • 6
  • 4
  • 3
  • 3
  • 1
  • 1
  • 1
  • 1
  • 1
  • 1
  • 1
  • 1
人, 大鼠, 小鼠, 马, 兔, Pig, Cow, 绵羊, 猴, Hamster, 豚鼠

宿主

  • 120
  • 119
  • 5
  • 1
小鼠

克隆类型

  • 162
  • 82
  • 1
单克隆

标记

  • 116
  • 18
  • 7
  • 6
  • 6
  • 6
  • 6
  • 6
  • 6
  • 6
  • 4
  • 4
  • 4
  • 4
  • 4
  • 4
  • 3
  • 2
  • 2
  • 2
  • 2
  • 2
  • 2
  • 2
  • 2
  • 2
  • 2
  • 2
  • 2
  • 2
  • 2
  • 2
  • 2
  • 1
  • 1
  • 1
This Cytochrome C antibody is un-conjugated

应用范围

  • 190
  • 103
  • 89
  • 75
  • 39
  • 38
  • 36
  • 28
  • 27
  • 24
  • 14
  • 12
  • 12
  • 4
  • 3
  • 3
  • 3
  • 2
  • 2
  • 2
  • 1
  • 1
  • 1
  • 1
  • 1
  • 1
  • 1
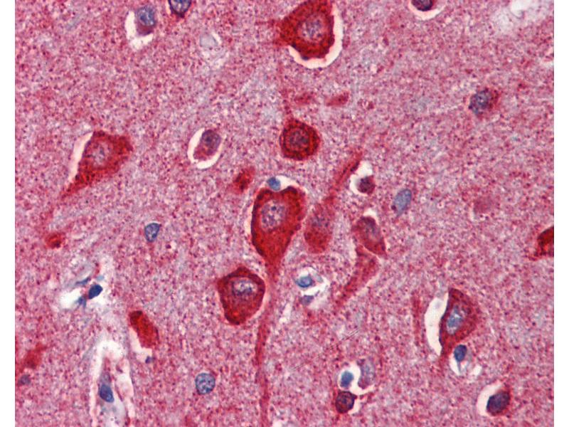
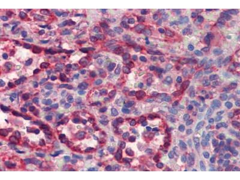
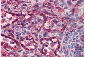
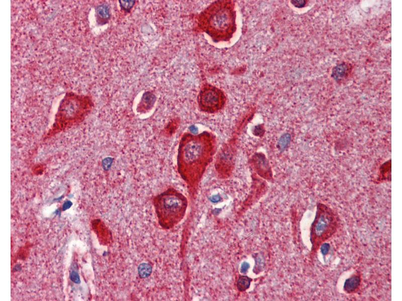
Western Blotting (WB), Immunohistochemistry (IHC), Immunohistochemistry (Paraffin-embedded Sections) (IHC (p))

克隆位点

7H8-2C12
  • 特异性

    Detects an ~14kD protein, corresponding to the apparent molecular mass of Cytochrome c on Western blots with samples from human, mouse, rat, bovine, guinea pig, hamster, monkey, rabbit and sheep origins. This antibody detects denatured Cytochrome c in applications such as Western blot, it does not recognize the native protein. The epitope of this antibody was mapped to a region within amino acids 93-104 of horse Cytochrome.

    纯化方法

    Protein G purified

    免疫原

    Horse cytochrome c.

    Type of Immunogen: Protein

    亚型

    IgG2b
  • 应用备注

    Approved: IHC, IHC-P (5 μg/mL), WB (1 μg/mL)

    Usage: Immunohistochemistry: This antibody was validated for use in immunohistochemistry on a panel of 21 formalin-fixed, paraffin-embedded (FFPE) human tissues after heat induced antigen retrieval in  pH 6.0 citrate buffer. After incubation with the primary antibody, slides were incubated with biotinylated secondary antibody, followed by alkaline phosphatase-streptavidin and chromogen. The stained slides were evaluated by a pathologist to confirm staining specificity. The optimal working concentration for this antibody was determined to be 5 μg/mL.

    说明

    Target Species of Antibody: Horse

    限制

    仅限研究用
  • 状态

    Liquid

    浓度

    Lot specific

    缓冲液

    PBS,  pH 7.2, 50 % glycerol, 0.09 % azide

    储存液

    Sodium azide

    注意事项

    This product contains Sodium azide: a POISONOUS AND HAZARDOUS SUBSTANCE which should be handled by trained staff only.

    注意事项

    avoid freeze thaw cycles.

    储存条件

    4 °C,-20 °C

    储存方法

    Short term 4°C, long term aliquot and store at -20°C, avoid freeze-thaw cycles.
  • 抗原

    Cytochrome C (CYCS) (Cytochrome C, Somatic (CYCS))

    别名

    CYCS / Cytochrome c

    背景

    Name/Gene ID: CYCS

    Synonyms: CYCS, CYC, HCS, THC4, Cytochrome c, Cytochrome c, somatic

    基因ID

    54205

    UniProt

    P99999

    途径

    Apoptosis, Caspase Cascade in Apoptosis, Positive Regulation of Endopeptidase Activity
You are here: