MEK1 抗体 (N-Term)
Our Local Distributor
北京 101111
Quick Overview for MEK1 抗体 (N-Term) (ABIN461964)
抗原
See all MEK1 (MAP2K1) 抗体适用
宿主
克隆类型
标记
应用范围
-
-
抗原表位
- N-Term
-
纯化方法
- Protein A purified
-
免疫原
-
Synthetic peptide derived from sequence near the amino-terminus of human MEK1, conjugated to KLH.
Type of Immunogen: Synthetic peptide - KLH conjugated
-
-
-
-
应用备注
-
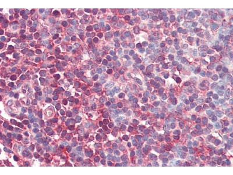
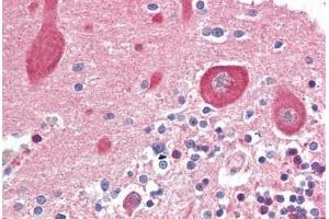
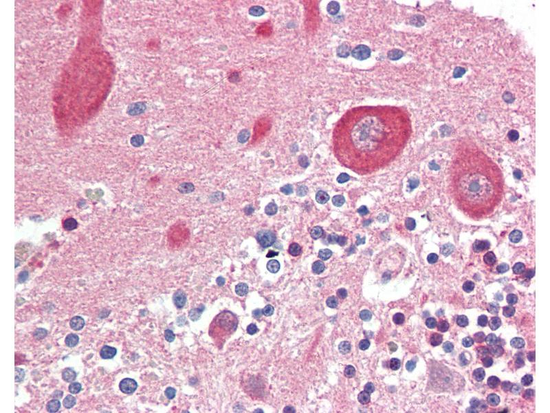
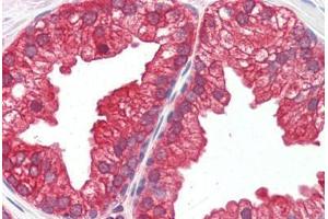
Approved: IF, IHC, IHC-P (10 μg/mL), WB (1 μg/mL)
Usage: Immunohistochemistry: This antibody was validated for use in immunohistochemistry on a panel of 21 formalin-fixed, paraffin-embedded (FFPE) human tissues after heat induced antigen retrieval in pH 6.0 citrate buffer. After incubation with the primary antibody, slides were incubated with biotinylated secondary antibody, followed by alkaline phosphatase-streptavidin and chromogen. The stained slides were evaluated by a pathologist to confirm staining specificity. The optimal working concentration for this antibody was determined to be 10 μg/mL. -
说明
-
Target Species of Antibody: Human
-
限制
- 仅限研究用
-
-
-
状态
- Liquid
-
浓度
- Lot specific
-
缓冲液
- PBS, pH 7.2, 50 % glycerol, 0.09 % azide.
-
储存液
- Sodium azide
-
注意事项
- This product contains Sodium azide: a POISONOUS AND HAZARDOUS SUBSTANCE which should be handled by trained staff only.
-
注意事项
- Avoid repeat freeze-thaw cycles.
-
储存条件
- 4 °C,-20 °C
-
储存方法
- Short term: 4°C. Long term: Store at -20°C. Avoid freeze-thaw cycles.
-
-
- MEK1 (MAP2K1) (Mitogen-Activated Protein Kinase Kinase 1 (MAP2K1))
-
别名
- MAP2K1 / MEK1
-
背景
-
Name/Gene ID: MAP2K1
Subfamily: MAP2K
Family: Protein Kinase
Synonyms: MAP2K1, ERK activator kinase 1, MAPK/ERK kinase 1, MAPKK 1, MKK1, PRKMK1, MEK 1, MAP kinase kinase 1, MAPKK1, MEK1 -
基因ID
- 5604
-
UniProt
- Q02750
-
途径
- MAPK Pathway, RTK signaling, Interferon-gamma Pathway, Fc-epsilon Receptor Signaling Pathway, Neurotrophin Signaling Pathway, Activation of Innate immune Response, Toll-Like Receptors Cascades, Autophagy, Signaling of Hepatocyte Growth Factor Receptor, BCR Signaling
抗原
-