电话:
+86 (0512) 65829739
传真:
+86 (010) 6788 5057
电子邮件:
orders@antibodies-online.cn

MMP14 抗体 (N-Term)

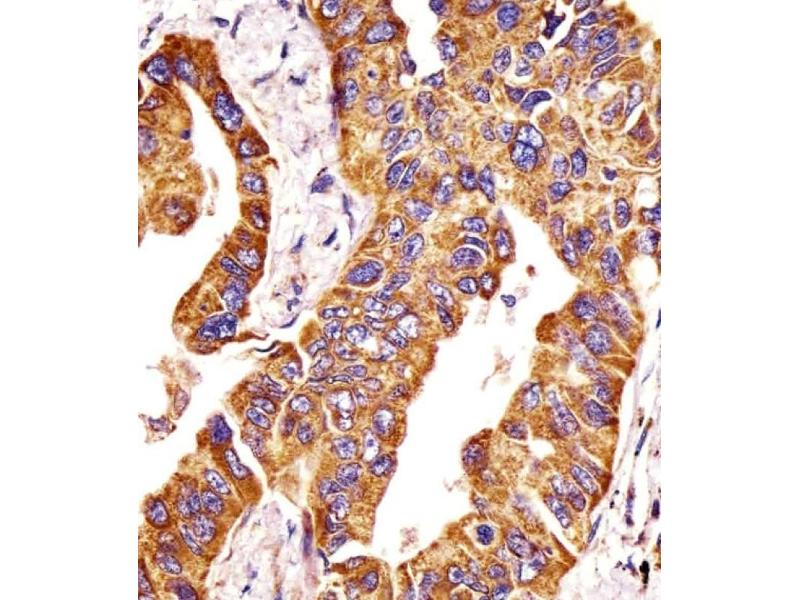
Cited in 2+ publications. The 兔 多克隆 anti-MMP14 antibody (Clone RB02027) (ABIN390138) specifically detects MMP14 in WB, IHC (p) 和 FACS. The antibody is reactive with 人, 小鼠 和 大鼠 samples.
产品编号 ABIN390138
发货至: 中国
Contact our Customer Service for availability and price in your country. Contact Info

Our Local Distributor

中国
北京 101111
No. 88 KeChuang 6th Street
Beijing Economic Technological Development Area
Room 801-803
4A Biotech Co.,Ltd.
Tel +86 (0512) 65829739 传真 +86 (010) 6788 5057

Quick Overview for MMP14 抗体 (N-Term) (ABIN390138)

抗原

See all MMP14 抗体
MMP14 (Matrix Metallopeptidase 14 (Membrane-inserted) (MMP14))

适用

  • 109
  • 56
  • 54
  • 3
  • 2
  • 2
  • 2
  • 1
  • 1
  • 1
  • 1
  • 1
人, 小鼠, 大鼠

宿主

  • 95
  • 13
  • 2
  • 1

克隆类型

  • 65
  • 46
多克隆

标记

  • 58
  • 9
  • 4
  • 4
  • 4
  • 4
  • 4
  • 4
  • 4
  • 4
  • 2
  • 2
  • 2
  • 2
  • 2
  • 2
This MMP14 antibody is un-conjugated

应用范围

  • 77
  • 49
  • 43
  • 21
  • 16
  • 15
  • 11
  • 9
  • 3
  • 1
  • 1
  • 1
  • 1
Western Blotting (WB), Immunohistochemistry (Paraffin-embedded Sections) (IHC (p)), Flow Cytometry (FACS)

克隆位点

RB02027
  • 抗原表位

    • 10
    • 8
    • 7
    • 5
    • 3
    • 2
    • 2
    • 2
    • 2
    • 2
    • 2
    • 2
    • 1
    • 1
    • 1
    • 1
    • 1
    • 1
    • 1
    • 1
    • 1
    • 1
    • 1
    • 1
    • 1
    • 1
    • 1
    • 1
    • 1
    • 1
    • 1
    AA 145-174, N-Term

    预测反应

    B, Pig

    纯化方法

    This antibody is purified through a protein A column, followed by peptide affinity purification.

    免疫原

    This MMP14 antibody is generated from rabbits immunized with a KLH conjugated synthetic peptide between 145-174 amino acids from the N-terminal region of human MMP14.

    亚型

    Ig Fraction
  • 应用备注

    WB: 1:2000. WB: 1:2000. IHC-P: 1:25. FC: 1:10~50

    限制

    仅限研究用
  • 状态

    Liquid

    缓冲液

    Purified polyclonal antibody supplied in PBS with 0.09 % (W/V) sodium azide.

    储存液

    Sodium azide

    注意事项

    This product contains Sodium azide: a POISONOUS AND HAZARDOUS SUBSTANCE which should be handled by trained staff only.

    储存条件

    4 °C,-20 °C

    储存方法

    Maintain refrigerated at 2-8 °C for up to 6 months. For long term storage store at -20 °C in small aliquots to prevent freeze-thaw cycles.

    有效期

    6 months
  • Du, Wang, Tan, Li, Huang, Huang, Yang, Zhang, Wang, Huang, Huang: "Nkx2-5 Is Expressed in Atherosclerotic Plaques and Attenuates Development of Atherosclerosis in Apolipoprotein E-Deficient Mice." in: Journal of the American Heart Association, Vol. 5, Issue 12, (2017) (PubMed).

    Zhu, Hong, Tripathi, Sehdev, Belkhiri, El-Rifai: "Regulation of CXCR4-mediated invasion by DARPP-32 in gastric cancer cells." in: Molecular cancer research : MCR, Vol. 11, Issue 1, pp. 86-94, (2013) (PubMed).

  • 抗原

    MMP14 (Matrix Metallopeptidase 14 (Membrane-inserted) (MMP14))

    别名

    MMP14

    背景

    Proteins of the matrix metalloproteinase (MMP) family are involved in the breakdown of extracellular matrix in normal physiological processes, such as embryonic development, reproduction, and tissue remodeling, as well as in disease processes, such as arthritis and metastasis. Most MMPs are secreted as inactive proproteins which are activated when cleaved by extracellular proteinases. MMP14 seems to specifically activate progelatinase A, and may thus trigger invasion by tumor cells by activating progelatinase A on the tumor cell surface. Expression is significant in stromal cells of colon, breast, and head and neck.

    分子量

    65894

    基因ID

    4323

    NCBI登录号

    NP_004986

    UniProt

    P50281

    途径

    Autophagy
You are here: