电话:
+86 (0512) 65829739
传真:
+86 (010) 6788 5057
电子邮件:
orders@antibodies-online.cn

Nestin 抗体 (AA 1389-1416)

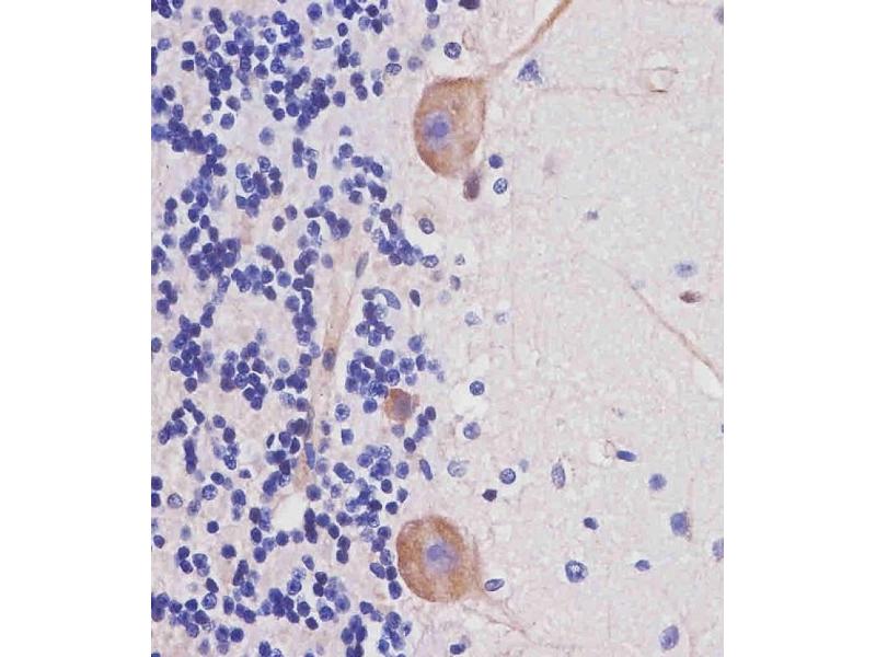
Cited in 1 publication. The 兔 多克隆 anti-Nestin antibody (Clone RB16253) (ABIN388764) specifically detects Nestin in WB, IF, FACS 和 IHC (p). The antibody is reactive with 人 samples.
产品编号 ABIN388764
发货至: 中国
Contact our Customer Service for availability and price in your country. Contact Info

Our Local Distributor

中国
北京 101111
No. 88 KeChuang 6th Street
Beijing Economic Technological Development Area
Room 801-803
4A Biotech Co.,Ltd.
Tel +86 (0512) 65829739 传真 +86 (010) 6788 5057

Quick Overview for Nestin 抗体 (AA 1389-1416) (ABIN388764)

抗原

See all Nestin (NES) 抗体
Nestin (NES)

适用

  • 115
  • 38
  • 32
  • 4
  • 3
  • 2
  • 2
  • 2
  • 1
  • 1
  • 1
  • 1

宿主

  • 77
  • 46
  • 3
  • 1
  • 1

克隆类型

  • 66
  • 62
多克隆

标记

  • 65
  • 8
  • 6
  • 5
  • 4
  • 3
  • 3
  • 3
  • 3
  • 3
  • 3
  • 2
  • 1
  • 1
  • 1
  • 1
  • 1
  • 1
  • 1
  • 1
  • 1
  • 1
  • 1
  • 1
  • 1
  • 1
  • 1
  • 1
  • 1
  • 1
  • 1
  • 1
This Nestin antibody is un-conjugated

应用范围

  • 64
  • 56
  • 41
  • 35
  • 33
  • 31
  • 19
  • 14
  • 13
  • 13
  • 8
  • 7
  • 5
  • 2
  • 2
  • 1
  • 1
Western Blotting (WB), Immunofluorescence (IF), Flow Cytometry (FACS), Immunohistochemistry (Paraffin-embedded Sections) (IHC (p))

克隆位点

RB16253
  • 抗原表位

    • 16
    • 10
    • 7
    • 6
    • 5
    • 5
    • 5
    • 5
    • 4
    • 2
    • 2
    • 1
    • 1
    • 1
    • 1
    • 1
    • 1
    • 1
    • 1
    • 1
    • 1
    • 1
    • 1
    AA 1389-1416

    纯化方法

    This antibody is purified through a protein A column, followed by peptide affinity purification.

    免疫原

    This Nestin antibody is generated from rabbits immunized with a KLH conjugated synthetic peptide between 1389-1416 amino acids from human Nestin.

    亚型

    Ig Fraction
  • 应用备注

    IF: 1:200. IF: 1:25. WB: 1:2000. WB: 1:2000. IHC-P: 1:25. IHC-P: 1:25. IHC-P: 1:25

    限制

    仅限研究用
  • 状态

    Liquid

    缓冲液

    Purified polyclonal antibody supplied in PBS with 0.09 % (W/V) sodium azide.

    储存液

    Sodium azide

    注意事项

    This product contains Sodium azide: a POISONOUS AND HAZARDOUS SUBSTANCE which should be handled by trained staff only.

    储存条件

    4 °C,-20 °C

    储存方法

    Maintain refrigerated at 2-8 °C for up to 6 months. For long term storage store at -20 °C in small aliquots to prevent freeze-thaw cycles.

    有效期

    6 months
  • He, Qiu, Wang, Gui, Wang, Hu, Xia, Qi, Wu, Ma: "Multivoxel magnetic resonance spectroscopy identifies enriched foci of cancer stem-like cells in high-grade gliomas." in: OncoTargets and therapy, Vol. 10, pp. 195-203, (2017) (PubMed).

  • 抗原

    Nestin (NES)

    别名

    Nestin

    背景

    Nestin is a class VI intermediate filament protein expressed predominantly in stem cells of the neural tube but absent from virtually all differentiated CNS cells. In the CNS, nestin is downregulated upon differentiation and replaced by neurofilaments. Transient expression of nestin has been postulated as a key step committing cells to the neural differentiation pathway. Nestin expression has also been observed in pancreatic hematopoietic stem cell populations.

    分子量

    177439

    基因ID

    10763

    NCBI登录号

    NP_006608

    UniProt

    P48681
You are here: