电话:
+86 (0512) 65829739
传真:
+86 (010) 6788 5057
电子邮件:
orders@antibodies-online.cn

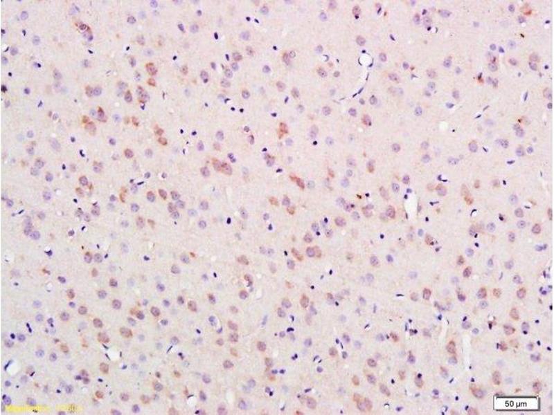
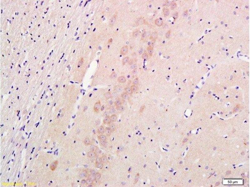
Nestin 抗体 (AA 681-750)

There are 6+ publications for this product available. The 兔 多克隆 anti-Nestin antibody is suitable to detect Nestin in samples from 人, 小鼠 和 大鼠. It has been validated for ELISA, FACS, IHC (p), IHC (fro), IF (p) 和 IF (cc).
产品编号 ABIN723530
发货至: 中国
Contact our Customer Service for availability and price in your country. Contact Info

Our Local Distributor

中国
北京 101111
No. 88 KeChuang 6th Street
Beijing Economic Technological Development Area
Room 801-803
4A Biotech Co.,Ltd.
Tel +86 (0512) 65829739 传真 +86 (010) 6788 5057

Quick Overview for Nestin 抗体 (AA 681-750) (ABIN723530)

抗原

See all Nestin (NES) 抗体
Nestin (NES)

适用

  • 115
  • 37
  • 31
  • 4
  • 3
  • 2
  • 2
  • 2
  • 1
  • 1
  • 1
  • 1
人, 小鼠, 大鼠

宿主

  • 77
  • 46
  • 3
  • 1
  • 1

克隆类型

  • 66
  • 62
多克隆

标记

  • 65
  • 8
  • 6
  • 5
  • 4
  • 3
  • 3
  • 3
  • 3
  • 3
  • 3
  • 2
  • 1
  • 1
  • 1
  • 1
  • 1
  • 1
  • 1
  • 1
  • 1
  • 1
  • 1
  • 1
  • 1
  • 1
  • 1
  • 1
  • 1
  • 1
  • 1
  • 1
This Nestin antibody is un-conjugated

应用范围

  • 64
  • 57
  • 42
  • 35
  • 33
  • 30
  • 19
  • 13
  • 12
  • 12
  • 8
  • 7
  • 5
  • 2
  • 2
  • 1
  • 1
ELISA, Flow Cytometry (FACS), Immunohistochemistry (Paraffin-embedded Sections) (IHC (p)), Immunohistochemistry (Frozen Sections) (IHC (fro)), Immunofluorescence (Paraffin-embedded Sections) (IF (p)), Immunofluorescence (Cultured Cells) (IF (cc))
  • 抗原表位

    • 15
    • 10
    • 7
    • 6
    • 5
    • 5
    • 5
    • 5
    • 4
    • 2
    • 2
    • 2
    • 1
    • 1
    • 1
    • 1
    • 1
    • 1
    • 1
    • 1
    • 1
    • 1
    • 1
    AA 681-750

    交叉反应

    人, 小鼠, 大鼠

    纯化方法

    Purified by Protein A.

    免疫原

    KLH conjugated synthetic peptide derived from rat Nestin

    亚型

    IgG
  • 应用备注

    ELISA 1:500-1000
    FCM 1:20-100
    IHC-P 1:200-400
    IHC-F 1:100-500
    IF(IHC-P) 1:50-200
    IF(IHC-F) 1:50-200
    IF(ICC) 1:50-200

    限制

    仅限研究用
  • 状态

    Liquid

    浓度

    1 μg/μL

    缓冲液

    0.01M TBS( pH 7.4) with 1 % BSA, 0.02 % Proclin300 and 50 % Glycerol.

    储存液

    ProClin

    注意事项

    This product contains ProClin: a POISONOUS AND HAZARDOUS SUBSTANCE, which should be handled by trained staff only.

    储存条件

    4 °C,-20 °C

    储存方法

    Shipped at 4°C. Store at -20°C for one year. Avoid repeated freeze/thaw cycles.

    有效期

    12 months
  • Wang, Zhang, Chen, Xue, Guo, Liu, Zhao: "Formylpeptide Receptors Promote the Migration and Differentiation of Rat Neural Stem Cells." in: Scientific reports, Vol. 6, pp. 25946, (2018) (PubMed).

    Kawashima, Shinkai, Suzuki: "Effect of an experimental adhesive resin containing multi-ion releasing fillers on direct pulp-capping." in: Dental materials journal, Vol. 35, Issue 3, pp. 479-89, (2016) (PubMed).

    Liu, Xue, Li, Zhang, Fu, Feng, Chen, Xu: "Amelioration of stroke-induced neurological deficiency by lyophilized powder of catapol and puerarin." in: International journal of biological sciences, Vol. 10, Issue 4, pp. 448-56, (2014) (PubMed).

    Shan, Zhou, Yang, Yan, Zhang, Fu, Jiang: "Lithium chloride promotes the odontoblast differentiation of hair follicle neural crest cells by activating Wnt/?-catenin signaling." in: Cell biology international, (2014) (PubMed).

    Yamamizu, Fujihara, Tachibana, Katayama, Takahashi, Hara, Imai, Shinkai, Yamashita: "Protein kinase A determines timing of early differentiation through epigenetic regulation with G9a." in: Cell stem cell, Vol. 10, Issue 6, pp. 759-70, (2012) (PubMed).

  • 抗原

    Nestin (NES)

    别名

    Nestin

    背景

    Synonyms: ESTM 46, FLJ 21841, FLJ21841, Intermediate filament protein, Nbla00170, Nes, NEST_RAT, Nestin.

    Background: Required for brain and eye development (By similarity). Promotes the disassembly of phosphorylated vimentin intermediate filaments (IF) during mitosis and may play a role in the trafficking and distribution of IF proteins and other cellular factors to daughter cells during progenitor cell division. Required for survival, renewal and mitogen-stimulated proliferation of neural progenitor cells.

    基因ID

    25491

    UniProt

    P21263
You are here: