电话:
+86 (0512) 65829739
传真:
+86 (010) 6788 5057
电子邮件:
orders@antibodies-online.cn

Presenilin 2 抗体 (N-Term)

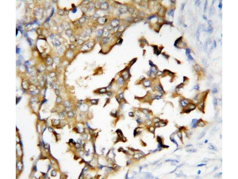
This 兔 多克隆 antibody specifically detects Presenilin 2 in WB 和 IHC. It exhibits reactivity toward 人, 大鼠 和 小鼠.
产品编号 ABIN3044383
发货至: 中国
Contact our Customer Service for availability and price in your country. Contact Info

Our Local Distributor

中国
北京 101111
No. 88 KeChuang 6th Street
Beijing Economic Technological Development Area
Room 801-803
4A Biotech Co.,Ltd.
Tel +86 (0512) 65829739 传真 +86 (010) 6788 5057

Quick Overview for Presenilin 2 抗体 (N-Term) (ABIN3044383)

抗原

See all Presenilin 2 (PSEN2) 抗体
Presenilin 2 (PSEN2) (Presenilin 2 (Alzheimer Disease 4) (PSEN2))

适用

  • 60
  • 42
  • 33
  • 6
  • 6
  • 5
  • 5
  • 5
  • 5
  • 3
  • 2
  • 2
  • 2
  • 1
  • 1
  • 1
人, 大鼠, 小鼠

宿主

  • 52
  • 4
  • 3
  • 2
  • 2

克隆类型

  • 58
  • 5
多克隆

标记

  • 39
  • 4
  • 3
  • 2
  • 2
  • 2
  • 1
  • 1
  • 1
  • 1
  • 1
  • 1
  • 1
  • 1
  • 1
  • 1
  • 1
This Presenilin 2 antibody is un-conjugated

应用范围

  • 50
  • 21
  • 17
  • 13
  • 11
  • 9
  • 4
  • 3
  • 2
  • 2
  • 1
Western Blotting (WB), Immunohistochemistry (IHC)
  • 抗原表位

    • 15
    • 7
    • 6
    • 4
    • 4
    • 3
    • 2
    • 2
    • 2
    • 1
    • 1
    • 1
    • 1
    • 1
    • 1
    • 1
    • 1
    • 1
    • 1
    • 1
    AA 39-51, N-Term

    原理

    Anti-Presenilin 2/PSEN2 Antibody

    序列

    EDGENTAQWR SQE

    交叉反应 (详细)

    No cross-reactivity with other proteins

    产品特性

    Anti-Presenilin 2/PSEN2 Antibody (ABIN3044383). Tested in IHC, WB applications. This antibody reacts with Human, Mouse, Rat. This is a premium antibody that guarantees superior quality, high affinity, and strong signals with minimal background in Western blot applications.

    纯化方法

    Immunogen affinity purified.

    免疫原

    A synthetic peptide corresponding to a sequence at the N-terminus of human Presenilin 2, different from the related mouse and rat sequences by two amino acids.

    亚型

    IgG
  • 应用备注

    Immunohistochemistry (Paraffin-embedded Section), 0.5-1 μg/mL, Human, Rat, Mouse
    Western blot, 0.1-0.5 μg/mL, Human, Rat, Mouse

    说明

    Antibody can be supported by chemiluminescence kit ABIN921124 in WB, supported by ABIN921231 in IHC(P).

    限制

    仅限研究用
  • 状态

    Lyophilized

    溶解方式

    Add 0.2 mL of distilled water will yield a concentration of 500 μg/mL.

    浓度

    500 μg/mL

    缓冲液

    Each vial contains 5 mg BSA, 0.9 mg NaCl, 0.2 mg Na2HPO4, 0.05 mg Thimerosal, 0.05 mg Sodium azide.

    储存液

    Thimerosal (Merthiolate), Sodium azide

    注意事项

    This product contains Thimerosal (Merthiolate) and Sodium azide: POISONOUS AND HAZARDOUS SUBSTANCES which should be handled by trained staff only.

    注意事项

    Avoid repeated freezing and thawing.

    储存条件

    4 °C,-20 °C

    储存方法

    Store at -20°C for one year from date of receipt. After reconstitution, at 4°C for one month.
    It can also be aliquotted and stored frozen at -20°C for six months. Avoid repeated freeze-thaw cycles.

    有效期

    12 months
  • 抗原

    Presenilin 2 (PSEN2) (Presenilin 2 (Alzheimer Disease 4) (PSEN2))

    别名

    PSEN2

    背景

    Synonyms: Presenilin-2,PS-2,3.4.23.-,AD3LP,AD5,E5-1,STM-2,Presenilin-2 NTF subunit,Presenilin-2 CTF subunit,PSEN2,AD4, PS2, PSNL2, STM2,

    Tissue Specificity: Isoform 1 is seen in the placenta, skeletal muscle and heart while isoform 2 is seen in the heart, brain, placenta, liver, skeletal muscle and kidney. .

    Background: Presenilin-2 is a protein that in humans is encoded by the PSEN2 gene. Kovacs et al. (1996) demonstrated that the expression patterns of PS1 and PS2 in the brain are extremely similar to each other and that messages for both are primarily detectable in neuronal populations. Immunochemical analyses indicated that PS1 and PS2 are similar in size and localize to similar intracellular compartments (endoplasmic reticulum and Golgi complex). Li et al. (1997) demonstrated that wildtype PS1 and PS2 are localized to the nuclear membrane, its associated interphase kinetochores, and the centrosomes.In melanocytic cells PSEN2 gene expression may be regulated by MITF.

    Sequence Similarities: Belongs to the peptidase A22A family.

    分子量

    60 kDa

    UniProt

    P49810

    途径

    Notch Signaling, EGFR Signaling Pathway, Neurotrophin Signaling Pathway
You are here: