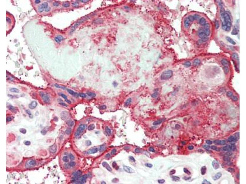
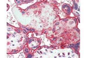
Presenilin 2 抗体 (AA 32-65)
Our Local Distributor
北京 101111
Quick Overview for Presenilin 2 抗体 (AA 32-65) (ABIN2577343)
抗原
See all Presenilin 2 (PSEN2) 抗体适用
宿主
克隆类型
标记
应用范围
-
-
抗原表位
- AA 32-65
-
特异性
- This PSEN2 antibody is generated from a rabbit immunized with a KLH conjugated synthetic peptide between 32-65 amino acids from the N-terminal region of human PSEN2(Presenilin-2 NTF subunit).
-
纯化方法
- Protein A purified
-
-
-
-
应用备注
- Approved: Flo (1:25), IHC, IHC-P (1:100), WB (1:1000)
-
说明
-
Target Species of Antibody: Human
-
限制
- 仅限研究用
-
-
-
状态
- Liquid
-
浓度
- Lot specific
-
缓冲液
- PBS, 0.09 % sodium azide.
-
储存液
- Sodium azide
-
注意事项
- This product contains Sodium azide: a POISONOUS AND HAZARDOUS SUBSTANCE which should be handled by trained staff only.
-
储存条件
- 4 °C,-20 °C
-
储存方法
- Maintain refrigerated at 2-8°C for up to 6 months. For long term storage store at -20°C.
-
有效期
- 6 months
-
-
- Presenilin 2 (PSEN2) (Presenilin 2 (Alzheimer Disease 4) (PSEN2))
-
别名
- PSEN2 / Presenilin 2
-
背景
-
Name/Gene ID: PSEN2
Subfamily: Aspartic A22A
Family: Protease
Synonyms: PSEN2, AD3LP, AD4, AD5, AD3L, CMD1V, PS-2, PSNL2, PS2, STM2, Presenilin 2, STM-2, E5-1, Presenilin-2 -
基因ID
- 5664
-
途径
- Notch Signaling, EGFR Signaling Pathway, Neurotrophin Signaling Pathway
抗原
-