电话:
+86 (0512) 65829739
传真:
+86 (010) 6788 5057
电子邮件:
orders@antibodies-online.cn

c-Rel 抗体 (Middle Region)

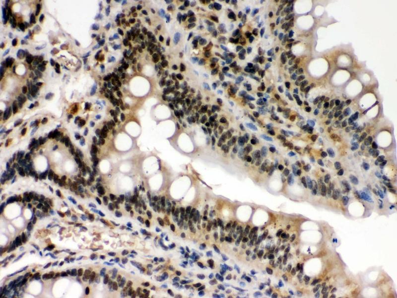
The 兔 多克隆 anti-c-Rel antibody (ABIN3043314) specifically detects c-Rel in WB 和 IHC. The antibody is reactive with 人, 小鼠 和 大鼠 samples.
产品编号 ABIN3043314
发货至: 中国
Contact our Customer Service for availability and price in your country. Contact Info

Our Local Distributor

中国
北京 101111
No. 88 KeChuang 6th Street
Beijing Economic Technological Development Area
Room 801-803
4A Biotech Co.,Ltd.
Tel +86 (0512) 65829739 传真 +86 (010) 6788 5057

Quick Overview for c-Rel 抗体 (Middle Region) (ABIN3043314)

抗原

See all c-Rel 抗体
c-Rel (REL proto-oncogene (c-Rel))

适用

  • 94
  • 22
  • 5
  • 5
  • 5
  • 4
  • 4
  • 4
  • 3
  • 2
  • 2
  • 1
  • 1
人, 小鼠, 大鼠

宿主

  • 88
  • 9
  • 1

克隆类型

  • 68
  • 30
多克隆

标记

  • 43
  • 8
  • 4
  • 4
  • 4
  • 4
  • 4
  • 4
  • 3
  • 3
  • 2
  • 2
  • 1
  • 1
  • 1
  • 1
  • 1
  • 1
  • 1
  • 1
  • 1
  • 1
  • 1
  • 1
  • 1
This c-Rel antibody is un-conjugated

应用范围

  • 71
  • 34
  • 17
  • 13
  • 13
  • 12
  • 9
  • 6
  • 6
  • 4
  • 3
  • 1
Western Blotting (WB), Immunohistochemistry (IHC)
  • 抗原表位

    • 24
    • 9
    • 8
    • 4
    • 2
    • 2
    • 1
    • 1
    • 1
    • 1
    • 1
    • 1
    • 1
    • 1
    • 1
    • 1
    • 1
    AA 268-306, Middle Region

    原理

    Anti-c-Rel Antibody

    序列

    DQEVSESMDF RYLPDEKDAY GNKSKKQKTT LIFQKLLQD

    交叉反应 (详细)

    No cross-reactivity with other proteins.

    产品特性

    Anti-c-Rel Antibody (ABIN3043314). Tested in IHC, WB applications. This antibody reacts with Human, Mouse, Rat. This is a premium antibody that guarantees superior quality, high affinity, and strong signals with minimal background in Western blot applications.

    纯化方法

    Immunogen affinity purified.

    免疫原

    A synthetic peptide corresponding to a sequence in the middle region of mouse c-Rel, different from the related human sequence by four amino acids.

    亚型

    IgG
  • 应用备注

    Western blot, 0.1-0.5 μg/mL, Human, Mouse, Rat
    Immunohistochemistry (Paraffin-embedded Section), 0.5-1 μg/mL, Human, Mouse, Rat

    说明

    Antibody can be supported by chemiluminescence kit ABIN921124 in WB, supported by ABIN921231 in IHC(P).

    限制

    仅限研究用
  • 状态

    Lyophilized

    溶解方式

    Add 0.2 mL of distilled water will yield a concentration of 500 μg/mL.

    浓度

    500 μg/mL

    缓冲液

    Each vial contains 5 mg BSA, 0.9 mg NaCl, 0.2 mg Na2HPO4, 0.05 mg Sodium azide.

    储存液

    Sodium azide

    注意事项

    This product contains Sodium azide: a POISONOUS AND HAZARDOUS SUBSTANCE which should be handled by trained staff only.

    注意事项

    Avoid repeated freezing and thawing.

    储存条件

    4 °C,-20 °C

    储存方法

    Store at -20°C for one year from date of receipt. After reconstitution, at 4°C for one month.
    It can also be aliquotted and stored frozen at -20°C for six months. Avoid repeated freeze-thaw cycles.
  • 抗原

    c-Rel (REL proto-oncogene (c-Rel))

    别名

    Rel

    背景

    Synonyms: Proto-oncogene c-Rel,Rel,

    Tissue Specificity: Ubiquitously expressed, with highest levels in skeletal muscle, heart and thymus. Overexpressed in prostate tumor tissue. .

    Background: The proto-oncogene c-Rel is a protein that in humans is encoded by the REL gene. This gene is mapped to chromosome 2p13-p12. The c-Rel protein is a member of the NF-κB family of transcription factors and contains a Rel homology domain (RHD) at its N-terminus and two C-terminal transactivation domains. c-Rel has an important role in B-cell survival and proliferation. The REL gene is amplified or mutated in several human B-cell lymphomas, including diffuse large B-cell lymphoma and Hodgkin's lymphoma.

    分子量

    69 kDa

    基因ID

    19696

    UniProt

    P15307
You are here: