电话:
+86 (0512) 65829739
传真:
+86 (010) 6788 5057
电子邮件:
orders@antibodies-online.cn

c-Rel 抗体

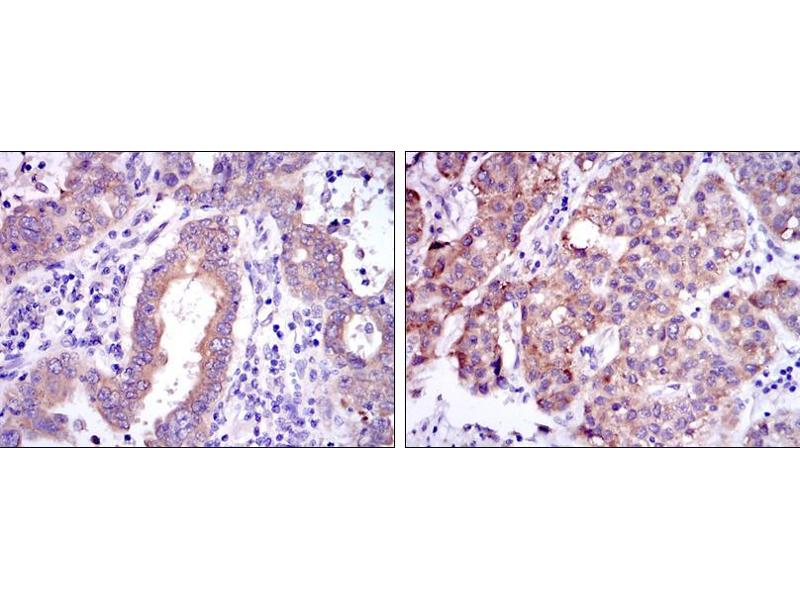
Cited in 2+ publications. The 小鼠 单克隆 anti-c-Rel antibody (Clone 1E7) (ABIN968997) specifically detects c-Rel in WB, ELISA, IHC 和 ICC. The antibody is reactive with 人 和 小鼠 samples.
产品编号 ABIN968997
发货至: 中国
Contact our Customer Service for availability and price in your country. Contact Info

Our Local Distributor

中国
北京 101111
No. 88 KeChuang 6th Street
Beijing Economic Technological Development Area
Room 801-803
4A Biotech Co.,Ltd.
Tel +86 (0512) 65829739 传真 +86 (010) 6788 5057

Quick Overview for c-Rel 抗体 (ABIN968997)

抗原

See all c-Rel 抗体
c-Rel (REL proto-oncogene (c-Rel))

适用

  • 94
  • 22
  • 6
  • 5
  • 5
  • 4
  • 4
  • 4
  • 3
  • 2
  • 2
  • 1
  • 1
人, 小鼠

宿主

  • 89
  • 8
  • 1
小鼠

克隆类型

  • 69
  • 29
单克隆

标记

  • 43
  • 8
  • 4
  • 4
  • 4
  • 4
  • 4
  • 4
  • 3
  • 3
  • 2
  • 2
  • 1
  • 1
  • 1
  • 1
  • 1
  • 1
  • 1
  • 1
  • 1
  • 1
  • 1
  • 1
  • 1
This c-Rel antibody is un-conjugated

应用范围

  • 71
  • 33
  • 17
  • 13
  • 13
  • 12
  • 9
  • 6
  • 5
  • 4
  • 3
  • 1
Western Blotting (WB), ELISA, Immunohistochemistry (IHC), Immunocytochemistry (ICC)

克隆位点

1E7
  • 原理

    c-Rel Antibody

    纯化方法

    Ascitic fluid

    免疫原

    Purified recombinant fragment of human c-Rel expressed in E. Coli.

    亚型

    IgG1
  • 应用备注

    ELISA: 1/10000

    ICC: 1/200 - 1/1000

    限制

    仅限研究用
  • 状态

    Liquid

    缓冲液

    Ascitic fluid containing 0.03 % sodium azide.

    储存液

    Sodium azide

    注意事项

    This product contains Sodium azide: a POISONOUS AND HAZARDOUS SUBSTANCE which should be handled by trained staff only.

    储存条件

    4 °C,-20 °C

    储存方法

    Store at 4°C short term. Aliquot and store at -20°C long term. Avoid freeze/thaw cycles.
  • Trynka, Zhernakova, Romanos, Franke, Hunt, Turner, Bruinenberg, Heap, Platteel, Ryan, de Kovel, Holmes, Howdle, Walters, Sanders, Mulder, Mearin, Verbeek, Trimble, Stevens, Kelleher, Barisani et al.: "Coeliac disease-associated risk variants in TNFAIP3 and REL implicate altered NF-kappaB signalling. ..." in: Gut, Vol. 58, Issue 8, pp. 1078-83, (2009) (PubMed).

    Garbati, Gilmore: "Ser484 and Ser494 in REL are the major sites of IKK phosphorylation in vitro: evidence that IKK does not directly enhance GAL4-REL transactivation." in: Gene expression, Vol. 14, Issue 4, pp. 195-205, (2008) (PubMed).

  • 抗原

    c-Rel (REL proto-oncogene (c-Rel))

    别名

    c-Rel

    背景

    The REL gene encodes c-Rel, a transcription factor that is a member of the Rel/NFKB family, which also includes RELA (MIM 164014), RELB (604758), NFKB1 (MIM 164011), and NFKB2 (MIM 164012). These proteins are related through a highly conserved N-terminal region termed the 'Rel domain,' which is responsible for DNA binding, dimerization, nuclear localization, and binding to the NFKB inhibitor.

    分子量

    68.5 kDa

    基因ID

    5966

    UniProt

    Q04864
You are here: