电话:
+86 (0512) 65829739
传真:
+86 (010) 6788 5057
电子邮件:
orders@antibodies-online.cn

c-Rel 抗体

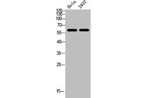
The 兔 多克隆 anti-c-Rel antibody is suitable to detect c-Rel in samples from 人. It has been validated for WB 和 ELISA.
产品编号 ABIN7189505
发货至: 中国
Contact our Customer Service for availability and price in your country. Contact Info

Our Local Distributor

中国
北京 101111
No. 88 KeChuang 6th Street
Beijing Economic Technological Development Area
Room 801-803
4A Biotech Co.,Ltd.
Tel +86 (0512) 65829739 传真 +86 (010) 6788 5057

Quick Overview for c-Rel 抗体 (ABIN7189505)

抗原

See all c-Rel 抗体
c-Rel (REL proto-oncogene (c-Rel))

适用

  • 94
  • 23
  • 6
  • 5
  • 5
  • 4
  • 4
  • 4
  • 3
  • 2
  • 2
  • 1
  • 1

宿主

  • 88
  • 9
  • 1

克隆类型

  • 68
  • 30
多克隆

标记

  • 43
  • 8
  • 4
  • 4
  • 4
  • 4
  • 4
  • 4
  • 3
  • 3
  • 2
  • 2
  • 1
  • 1
  • 1
  • 1
  • 1
  • 1
  • 1
  • 1
  • 1
  • 1
  • 1
  • 1
  • 1
This c-Rel antibody is un-conjugated

应用范围

  • 71
  • 33
  • 17
  • 13
  • 13
  • 13
  • 9
  • 6
  • 6
  • 4
  • 3
  • 1
Western Blotting (WB), ELISA
  • 原理

    REL Antibody

    交叉反应

    小鼠

    纯化方法

    The antibody was affinity-purified from rabbit serum by affinity-chromatography using specific immunogen.

    免疫原

    Synthetic peptide from Human protein at AA range: 491-540

    亚型

    IgG
  • 应用备注

    Optimal working dilution should be determined by the investigator.

    限制

    仅限研究用
  • 状态

    Liquid

    缓冲液

    PBS, pH 7.4, containing 0.02 % sodium azide as Preservative and 50 % Glycerol.

    储存液

    Sodium azide

    注意事项

    This product contains Sodium azide: a POISONOUS AND HAZARDOUS SUBSTANCE which should be handled by trained staff only.

    储存条件

    -20 °C,-80 °C

    储存方法

    Upon receipt, store at -20°C or -80°C. Avoid repeated freeze.
  • 抗原

    c-Rel (REL proto-oncogene (c-Rel))

    别名

    REL

    背景

    Avian reticuloendotheliosis antibody, C REL antibody, C Rel protein antibody, c Rel proto oncogene protein antibody, Oncogene REL antibody, Oncogene REL avian reticuloendotheliosis antibody, Proto-oncogene c-Rel antibody, REL antibody, REL_HUMAN antibody, v rel avian reticuloendotheliosis viral oncogene homolog antibody, v rel reticuloendotheliosis viral oncogene homolog antibody, V rel reticuloendotheliosis viral oncogene homolog (avian) antibody

    UniProt

    Q04864
You are here: