IKK alpha 抗体 (AA 411-745)
Our Local Distributor
北京 101111
Quick Overview for IKK alpha 抗体 (AA 411-745) (ABIN3030568)
抗原
See all IKK alpha (CHUK) 抗体适用
宿主
克隆类型
标记
应用范围
-
-
抗原表位
- AA 411-745
-
纯化方法
- Antigen affinity
-
免疫原
- Human partial recombinant protein (AA 411-745) was used as the immunogen for this IKK alpha antibody.
-
亚型
- IgG
-
-
-
-
应用备注
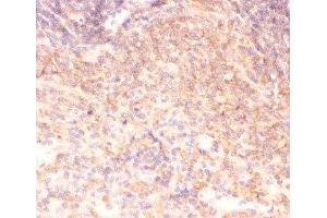
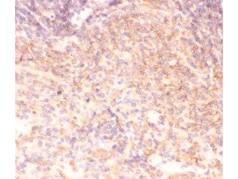
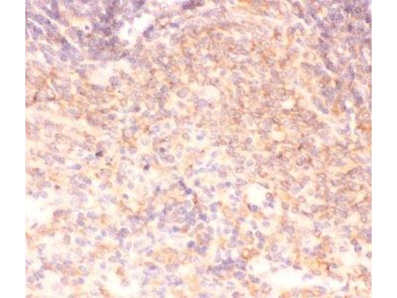
- The stated application concentrations are suggested starting amounts. Titration of the IKK alpha antibody may be required due to differences in protocols and secondary/substrate sensitivity.\. Western blot: 0.5-1 μg/mL,IHC (Paraffin): 0.5-1 μg/mL
-
限制
- 仅限研究用
-
-
-
缓冲液
- 0.5 mg/mL if reconstituted with 0.2 mL sterile DI water
-
储存条件
- -20 °C
-
储存方法
- After reconstitution, the IKK alpha antibody can be stored for up to one month at 4°C. For long-term, aliquot and store at -20°C. Avoid repeated freezing and thawing.
-
-
- IKK alpha (CHUK) (conserved Helix-Loop-Helix Ubiquitous Kinase (CHUK))
-
别名
- IKK alpha
-
背景
- Inhibitor of nuclear factor kappa-B kinase subunit alpha, also known as conserved helix-loop-helix ubiquitous kinase (CHUK) or IKBKA, is a protein kinase that in humans is encoded by the CHUK gene. It is mapped to 10q24.31. This gene encodes a member of the serine/threonine protein kinase family. The encoded protein, a component of a cytokine-activated protein complex that is an inhibitor of the essential transcription factor NF-kappa-B complex, phosphorylates sites that trigger the degradation of the inhibitor via the ubiquination pathway, thereby activating the transcription factor. IKK alpha is part of the IkB kinase complex that plays an important role in regulating the NF-kB transcription factor. IKK alpha also has many additional cellular targets, and is thought to function independently of the NF-kB pathway to regulate epidermal differentiation.
-
基因ID
- 1147
-
途径
- PI3K-Akt Signaling, NF-kappaB Signaling, RTK signaling, TCR Signaling, TLR signaling, Fc-epsilon Receptor Signaling Pathway, EGFR Signaling Pathway, Neurotrophin Signaling Pathway, Activation of Innate immune Response, Hepatitis C, Toll-Like Receptors Cascades, BCR Signaling, Ubiquitin Proteasome Pathway, S100 Proteins
抗原
-