电话:
+86 (0512) 65829739
传真:
+86 (010) 6788 5057
电子邮件:
orders@antibodies-online.cn

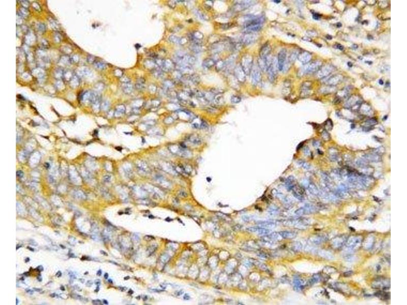
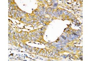
Caspase 1 抗体 (Large Subunit, N-Term)

The 兔 多克隆 anti-Caspase 1 antibody is suitable to detect Caspase 1 in samples from 人. It has been validated for WB 和 IHC (p).
产品编号 ABIN3028535
发货至: 中国
Contact our Customer Service for availability and price in your country. Contact Info

Our Local Distributor

中国
北京 101111
No. 88 KeChuang 6th Street
Beijing Economic Technological Development Area
Room 801-803
4A Biotech Co.,Ltd.
Tel +86 (0512) 65829739 传真 +86 (010) 6788 5057

Quick Overview for Caspase 1 抗体 (Large Subunit, N-Term) (ABIN3028535)

抗原

See all Caspase 1 (CASP1) 抗体
Caspase 1 (CASP1)

适用

  • 116
  • 48
  • 46
  • 5
  • 2
  • 2
  • 1
  • 1
  • 1
  • 1
  • 1

宿主

  • 130
  • 10
  • 3
  • 1

克隆类型

  • 100
  • 44
多克隆

标记

  • 88
  • 19
  • 7
  • 4
  • 4
  • 4
  • 4
  • 4
  • 4
  • 3
  • 2
  • 2
This Caspase 1 antibody is un-conjugated

应用范围

  • 118
  • 63
  • 42
  • 26
  • 20
  • 18
  • 13
  • 5
  • 4
  • 3
  • 3
  • 1
Western Blotting (WB), Immunohistochemistry (Paraffin-embedded Sections) (IHC (p))
  • 抗原表位

    • 9
    • 8
    • 8
    • 7
    • 5
    • 4
    • 4
    • 3
    • 3
    • 3
    • 3
    • 2
    • 2
    • 2
    • 2
    • 1
    • 1
    • 1
    • 1
    • 1
    • 1
    • 1
    • 1
    • 1
    • 1
    • 1
    • 1
    • 1
    • 1
    • 1
    • 1
    • 1
    • 1
    • 1
    • 1
    • 1
    • 1
    • 1
    • 1
    • 1
    • 1
    • 1
    • 1
    • 1
    Large Subunit, N-Term

    纯化方法

    Antigen affinity

    免疫原

    An amino acid sequence from the N-terminus of human CASP1 (CSLEEAQRIWKQKSAEIY) was used as the immunogen for this Caspase-1 antibody. The sequence is from the large subunit.

    亚型

    IgG
  • 应用备注

    Titration of the Caspase-1 antibody may be required due to differences in protocols and secondary/substrate sensitivity.\. Western blot: 0.5-1 μg/mL,IHC (Paraffin): 0.5-1 μg/mL

    限制

    仅限研究用
  • 缓冲液

    0.5 mg/mL if reconstituted with 0.2 mL sterile DI water

    储存条件

    -20 °C

    储存方法

    The lyophilized Caspase-1 antibody can be stored at 4°C. After reconstitution, aliquot and store at -20°C. Repeated freeze/thaw steps should be avoided.
  • 抗原

    Caspase 1 (CASP1)

    别名

    Caspase-1

    背景

    Caspase-1 is a cysteine protease that regulates inflammatory processes through its capacity to process and activate the interleukin-1-beta, interleukin 18, and interleukin 33 precursor proteins. The Caspase-1 gene consists of 10 exons spanning at least 10.6 kb and is mapped to 11q23, a site frequently involved in rearrangement in human cancers, including a number of leukemias and lymphomas.

    UniProt

    P29466

    途径

    Apoptosis, Interferon-gamma Pathway, Positive Regulation of Endopeptidase Activity, Inflammasome
You are here: