电话:
+86 (0512) 65829739
传真:
+86 (010) 6788 5057
电子邮件:
orders@antibodies-online.cn

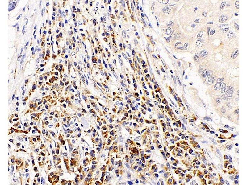
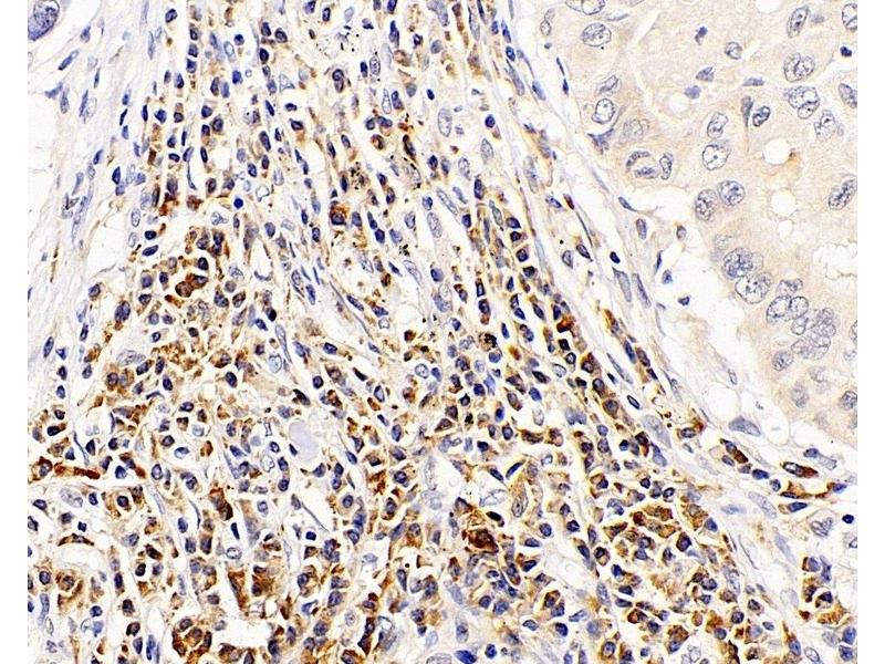
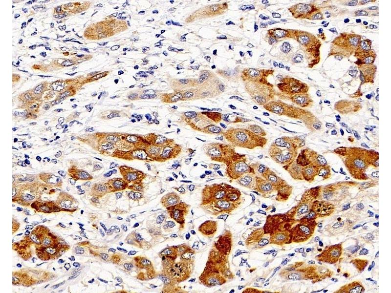
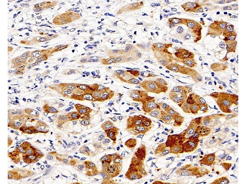
Caspase 1 抗体

The 兔 多克隆 anti-Caspase 1 antibody is suitable to detect Caspase 1 in samples from 人, 小鼠 和 大鼠. It has been validated for WB 和 IHC.
产品编号 ABIN7249876
发货至: 中国
Contact our Customer Service for availability and price in your country. Contact Info

Our Local Distributor

中国
北京 101111
No. 88 KeChuang 6th Street
Beijing Economic Technological Development Area
Room 801-803
4A Biotech Co.,Ltd.
Tel +86 (0512) 65829739 传真 +86 (010) 6788 5057

Quick Overview for Caspase 1 抗体 (ABIN7249876)

抗原

See all Caspase 1 (CASP1) 抗体
Caspase 1 (CASP1)

适用

  • 117
  • 47
  • 46
  • 5
  • 2
  • 2
  • 1
  • 1
  • 1
  • 1
  • 1
人, 小鼠, 大鼠

宿主

  • 132
  • 10
  • 3
  • 1

克隆类型

  • 102
  • 44
多克隆

标记

  • 90
  • 19
  • 7
  • 4
  • 4
  • 4
  • 4
  • 4
  • 4
  • 3
  • 2
  • 2
This Caspase 1 antibody is un-conjugated

应用范围

  • 119
  • 62
  • 44
  • 26
  • 22
  • 18
  • 14
  • 5
  • 4
  • 3
  • 3
  • 1
Western Blotting (WB), Immunohistochemistry (IHC)
  • 产品特性

    Polyclonal Antibody

    纯化方法

    Affinity purification

    免疫原

    Recombinant protein corresponding to Mouse Caspase1

    亚型

    IgG
  • 应用备注

    WB 1:500-1:2000, IHC 1:300-1:800

    限制

    仅限研究用
  • 状态

    Liquid

    浓度

    1.2 mg/mL

    缓冲液

    PBS with 0.02 % sodium azide, 1 % BSA and 50 % glycerol, pH 7.4

    储存液

    Sodium azide

    注意事项

    This product contains Sodium azide: a POISONOUS AND HAZARDOUS SUBSTANCE which should be handled by trained staff only.

    储存条件

    -20 °C

    储存方法

    Store at -20°C. Avoid freeze / thaw cycles.
  • 抗原

    Caspase 1 (CASP1)

    别名

    CASP1

    背景

    This gene encodes a protein which is a member of the cysteine-aspartic acid protease (caspase) family. Sequential activation of caspases plays a central role in the execution-phase of cell apoptosis. Caspases exist as inactive proenzymes which undergo proteolytic processing at conserved aspartic residues to produce 2 subunits, large and small, that dimerize to form the active enzyme. This gene was identified by its ability to proteolytically cleave and activate the inactive precursor of interleukin-1, a cytokine involved in the processes such as inflammation, septic shock, and wound healing. This gene has been shown to induce cell apoptosis and may function in various developmental stages. Studies of a similar gene in mouse suggest a role in the pathogenesis of Huntington disease. Alternative splicing results in transcript variants encoding distinct isoforms.

    分子量

    Observed_MW: 45-47 kDa,30 kDa,35 kDa

    Calculated_MW: 45 kDa

    UniProt

    P29466, P29452, P43527

    途径

    Apoptosis, Interferon-gamma Pathway, Positive Regulation of Endopeptidase Activity, Inflammasome
You are here: