电话:
+86 (0512) 65829739
传真:
+86 (010) 6788 5057
电子邮件:
orders@antibodies-online.cn

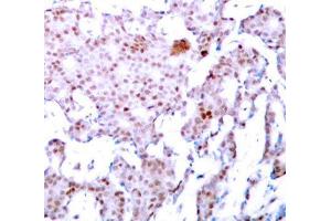
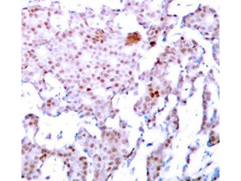
NF-kB p65 抗体 (pSer536)

The 兔 多克隆 anti-NF-kB p65 antibody is suitable to detect NF-kB p65 in samples from 人, 小鼠 和 大鼠. It has been validated for WB, IHC 和 IF/ICC.
产品编号 ABIN2987367
发货至: 中国
Contact our Customer Service for availability and price in your country. Contact Info

Our Local Distributor

中国
北京 101111
No. 88 KeChuang 6th Street
Beijing Economic Technological Development Area
Room 801-803
4A Biotech Co.,Ltd.
Tel +86 (0512) 65829739 传真 +86 (010) 6788 5057

Quick Overview for NF-kB p65 抗体 (pSer536) (ABIN2987367)

抗原

See all NF-kB p65 (NFkBP65) 抗体
NF-kB p65 (NFkBP65) (Nuclear Factor-kB p65 (NFkBP65))

适用

  • 513
  • 355
  • 274
  • 40
  • 33
  • 28
  • 23
  • 20
  • 19
  • 14
  • 14
  • 10
  • 5
  • 2
  • 1
  • 1
  • 1
人, 小鼠, 大鼠

宿主

  • 477
  • 45
  • 3
  • 2
  • 1

克隆类型

  • 423
  • 105
多克隆

标记

  • 276
  • 28
  • 18
  • 13
  • 12
  • 11
  • 11
  • 11
  • 11
  • 11
  • 10
  • 9
  • 9
  • 9
  • 9
  • 9
  • 9
  • 9
  • 9
  • 9
  • 9
  • 9
  • 5
  • 4
  • 4
  • 2
  • 2
This NF-kB p65 antibody is un-conjugated

应用范围

  • 421
  • 182
  • 158
  • 114
  • 106
  • 95
  • 92
  • 83
  • 81
  • 53
  • 22
  • 9
  • 7
  • 7
  • 7
  • 6
  • 4
  • 3
  • 2
  • 2
  • 1
Western Blotting (WB), Immunohistochemistry (IHC), Immunofluorescence (fixed cells) (IF/ICC)
You are here: