电话:
+86 (0512) 65829739
传真:
+86 (010) 6788 5057
电子邮件:
orders@antibodies-online.cn

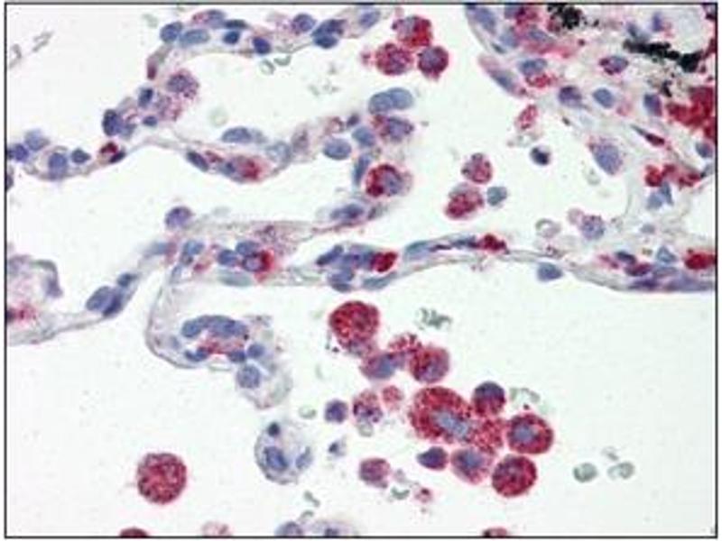
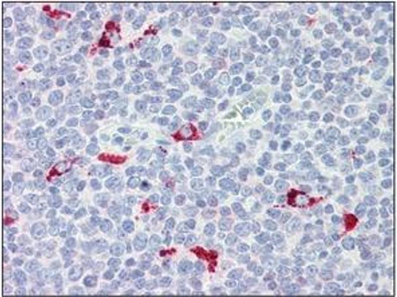
IRF7 抗体 (N-Term)

This 小鼠 单克隆 antibody specifically detects IRF7 in WB, IHC (p) 和 EIA. It exhibits reactivity toward 人.
产品编号 ABIN263914
发货至: 中国
Contact our Customer Service for availability and price in your country. Contact Info

Our Local Distributor

中国
北京 101111
No. 88 KeChuang 6th Street
Beijing Economic Technological Development Area
Room 801-803
4A Biotech Co.,Ltd.
Tel +86 (0512) 65829739 传真 +86 (010) 6788 5057

Quick Overview for IRF7 抗体 (N-Term) (ABIN263914)

抗原

See all IRF7 抗体
IRF7 (Interferon Regulatory Factor 7 (IRF7))

适用

  • 91
  • 76
  • 75
  • 17
  • 8
  • 3
  • 2
  • 2
  • 1

宿主

  • 90
  • 2
小鼠

克隆类型

  • 58
  • 34
单克隆

标记

  • 27
  • 7
  • 4
  • 4
  • 4
  • 4
  • 4
  • 4
  • 4
  • 3
  • 2
  • 2
  • 2
  • 2
  • 2
  • 2
  • 2
  • 2
  • 2
  • 2
  • 2
  • 2
  • 2
  • 1
This IRF7 antibody is un-conjugated

应用范围

  • 71
  • 36
  • 24
  • 23
  • 21
  • 21
  • 21
  • 14
  • 13
  • 13
  • 3
  • 1
Western Blotting (WB), Immunohistochemistry (Paraffin-embedded Sections) (IHC (p)), Enzyme Immunoassay (EIA)

克隆位点

3D9
  • 抗原表位

    • 16
    • 16
    • 15
    • 8
    • 5
    • 2
    • 2
    • 2
    • 1
    • 1
    • 1
    • 1
    • 1
    • 1
    • 1
    • 1
    • 1
    • 1
    AA 1-150, N-Term

    特异性

    This antibody detects Interferon Regulatory Factor 7 (IRF7).

    产品特性

    Synonyms: IRF-7, Interferon regulatory factor 7

    纯化方法

    Protein-G affinity chromatography

    免疫原

    Recombinant human IRF7 (1-150aa) purified from E. coli

    亚型

    IgG1
  • 应用备注

    ELISA. Western blot (1/1000-1/2,000). Immunohistochemistry on Paraffin Sections (20 μg/mL).
    Other applications not tested.
    Optimal dilutions are dependent on conditions and should be determined by the user.

    限制

    仅限研究用
  • 状态

    Liquid

    浓度

    1.0 mg/mL

    缓冲液

    Phosphate-Buffered Saline ( pH 7.4) with 0.09 % Sodium Azide as preservative.

    储存液

    Sodium azide

    注意事项

    This product contains sodium azide: a POISONOUS AND HAZARDOUS SUBSTANCE which should be handled by trained staff only.

    储存条件

    4 °C/-20 °C

    储存方法

    Store the antibody undiluted at 2-8 °C for one month or (in aliquots) at -20 °C for longer. Avoid repeated freezing and thawing.
    Shelf life: one year from despatch.

    有效期

    12 months
  • 抗原

    IRF7 (Interferon Regulatory Factor 7 (IRF7))

    别名

    IRF7

    背景

    Interferon Regulatory Factor 7 (IRF7) is a member of the interferon regulatory transcription factor family. IRF7 plays an essential role in virus-activated transcription of type I interferon alpha genes. Inducible expression of IRF7 is largely restricted to lymphoid tissue. Multiple IRF7 transcript variants have been identified, although the functional consequences of these have not yet been established.Synonyms: IRF-7, Interferon regulatory factor 7

    基因ID

    3665

    UniProt

    Q92985

    途径

    TLR signaling, Activation of Innate immune Response, Hepatitis C, Toll-Like Receptors Cascades, Autophagy
You are here: